相关产品推荐更多 >
万千商家帮你免费找货
0 人在求购买到急需产品
- 详细信息
- 技术资料
- 免疫原:
peptide
- 亚型:
IgG1
- 形态:
Liquid
- 保存条件:
-20℃
- 克隆性:
mAb
- 适应物种:
Human
- 保质期:
1年
- 目录编号:
TD-30239
- 级别:
科研级
- 库存:
88
- 供应商:
武汉天德
- 宿主:
Mouse
- 应用范围:
IHC、ICC、ELISA
- 靶点:
详询
- 抗体英文名:
Mouse Monoclonal Antibody to CD15
- 抗体名:
CD15
- 规格:
100ul/50ul
| 规格: | 100ul | 产品价格: | ¥2180.0 |
|---|---|---|---|
| 规格: | 50ul | 产品价格: | ¥1280.0 |
Mouse Monoclonal Antibody to CD15
Description |
|
| The product of this gene transfers fucose to N-acetyllactosamine polysaccharides to generate fucosylated carbohydrate structures. It catalyzes the synthesis of the non-sialylated antigen, Lewis x (CD15). | |
Specification |
|
| Aliases | LeX; CD15; ELFT; FCT3A; FUTIV; SSEA-1; FUC-TIV |
| Entrez GeneID | 2526 |
| Swissprot | P22083 |
| clone | 4.00E+10 |
| WB Predicted band size | 59kDa |
| Host/Isotype | Mouse IgG1 |
| Antibody Type | Primary antibody |
| Storage | Store at 4°C short term. Aliquot and store at -20°C long term. Avoid freeze/thaw cycles. |
| Species Reactivity | Human |
| Immunogen | Synthesized peptide of human CD15. |
| Formulation | Ascitic fluid containing 0.03% sodium azide. |
Application |
|
| IHC | 1/200 - 1/1000 |
| FCM | 1/200 - 1/400 |
| ELISA | 1/10000 |
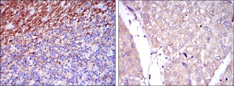
Product Image |
|
|
|
|
风险提示:丁香通仅作为第三方平台,为商家信息发布提供平台空间。用户咨询产品时请注意保护个人信息及财产安全,合理判断,谨慎选购商品,商家和用户对交易行为负责。对于医疗器械类产品,请先查证核实企业经营资质和医疗器械产品注册证情况。
技术资料暂无技术资料 索取技术资料
Mouse Monoclonal Antibody to CD15
¥1280 - 2180









