万千商家帮你免费找货
0 人在求购买到急需产品
- 详细信息
- 询价记录
- 文献和实验
- 技术资料
- 形态:
Liquit
- 保存条件:
-20℃
- 克隆性:
单克隆
- 适应物种:
Human,(predicted:Mouse,Rat,)
- 保质期:
1年
- 抗原来源:
peptiede
- 目录编号:
TDCCM-0550
- 级别:
科研级
- 库存:
88
- 供应商:
武汉天德
- 宿主:
鼠
- 浓度:
1mg/ml
- 抗体英文名:
CD34 (Endothelial CEll Marker)
- 抗体名:
CD34 (Endothelial CEll Marker)
- 规格:
1ml工作液

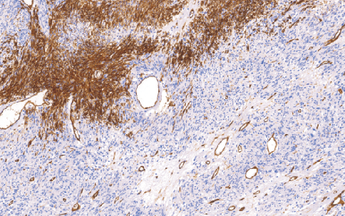
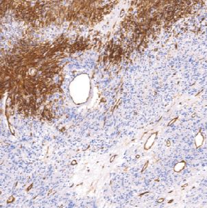
CD34鼠抗人CD34(内皮细胞标记物)单克隆抗体
CD34抗原是分子量为110KD的单链跨膜糖蛋白。CD34蛋白选择性的表达在人的淋巴和骨髓造血祖细胞中,还表达在血管内皮中。
- 货号:TDCCM-0550
- 克隆号:QBEnd/10
- 阳性部位:胞膜
- 适用组织:石蜡切片
- 预处理:热修复
风险提示:丁香通仅作为第三方平台,为商家信息发布提供平台空间。用户咨询产品时请注意保护个人信息及财产安全,合理判断,谨慎选购商品,商家和用户对交易行为负责。对于医疗器械类产品,请先查证核实企业经营资质和医疗器械产品注册证情况。
- 作者
- 内容
- 询问日期
文献和实验来源的各种肿瘤,同时也用来检测骨髓标本中巨核细胞的增殖。该抗体使用前须做抗原修复。注意抗体有单抗 及多抗之分。 ⒊CD34 该抗体被认为是一种稳定的,可靠的血管内皮细胞及其来源的肿瘤的标记物。它对毛细血管,小血管内皮细胞显示强阳性,对中至大血管内皮细胞量选择性阳性,对软组织肿瘤,肿瘤 毛细血管,血管管和血管肉瘤的内皮细胞呈阳性,对淋巴管内皮阴性。使用时须做 抗原修复。 ⒋CD31 该抗体与CD34的标记范围基本一样。 (三)肌组织及其相关肿瘤的常用
R&D Systems:如何提高MSC的扩增且不损失其分化潜能
羊抗小鼠FABP-4多克隆抗体,PE非连接的小鼠抗人骨钙蛋白单克隆抗体,PE非连接的山羊抗人聚蛋白多糖多克隆抗体,PE连接和非连接的同型对照,NorthernLights-557连接的驴抗山羊和驴抗小鼠的二抗都采购于R&D Systems。PE连接的小鼠抗人CD34单克隆抗体源于BD Pharmingen(BD Biosciences,San Jose)。 流式细胞术。hMSCs的收集如上所述。细胞用2×冷FACS缓冲液冲洗(含有2%FBS和叠氮
CD105单克隆抗体(NeoMarkers),兔抗人CD34、CD31多克隆抗体(Antibody Diagnostica Inc),兔抗人vW因子多克隆抗体(华美公司),抗兔及抗鼠ABC试剂盒、DAB显色试剂盒为华美公司产品,其他试剂均为国产分析纯以上级别。 3、方法: 植块法原代细胞培养: 细胞培养瓶的处理:选用50ml玻璃培养瓶,高压蒸汽灭菌,瓶底铺自制鼠尾胶(制作方法参见2),移入80℃烤箱烤干,临用前用消毒D-Hanks平衡盐缓冲液冲洗3次
技术资料暂无技术资料 索取技术资料









