相关产品推荐更多 >
万千商家帮你免费找货
0 人在求购买到急需产品
- 详细信息
- 文献和实验
- 技术资料
- 形态:
Liquit
- 保存条件:
-20℃
- 克隆性:
单克隆
- 适应物种:
Human,(predicted:Mouse,Rat,)
- 保质期:
1年
- 抗原来源:
peptiede
- 目录编号:
TDCCM-0771
- 级别:
科研级
- 库存:
88
- 供应商:
武汉天德
- 宿主:
鼠
- 浓度:
1mg/ml
- 抗体英文名:
CD123
- 抗体名:
CD123
- 规格:
1ml工作液
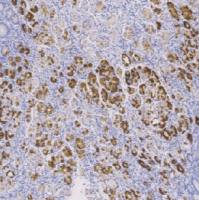
CD123鼠抗人CD123单克隆抗体
CD123抗原也称为人白介素-3受体的a亚基。它是I型跨膜糖蛋白是细胞因子受体超家族的成员之一。CD123与CD131(白介素-3受体的B亚基)形成异二聚体,构成白介素-3受体,a亚基提供细胞因子特异性,而B亚基提供信号转导功能。据报道,白介素-3受体表达在单核细胞、中性粒细胞、嗜碱性粒细胞、嗜酸性粒细胞、巨核细胞以及这些细胞的增殖和分化细胞中。除造血系统外,CD123表达在睾丸的Levdia细胞、一些内皮细胞以及胎盘和脑细胞中。
- 货号:TDCCM-0771
- 克隆号:6H6
- 阳性部位:胞质,胞膜
- 适用组织:石蜡切片
- 预处理:热修复
风险提示:丁香通仅作为第三方平台,为商家信息发布提供平台空间。用户咨询产品时请注意保护个人信息及财产安全,合理判断,谨慎选购商品,商家和用户对交易行为负责。对于医疗器械类产品,请先查证核实企业经营资质和医疗器械产品注册证情况。
文献和实验这种水果将助力癌症治疗?增强免疫治疗效果,有望克服 PD-1 耐药难题!
8+ T 细胞介导的,研究者在 MCA-205 小鼠中,施用抗 CD8+单克隆抗体以消耗 CD8+ T 细胞亚群,同时结合 CC 口服灌胃。结果显示,与 CC/IsoCD8+(对照)相比,使用 CC 和抗 CD8+单克隆抗体的小鼠肿瘤生长增加,表明 CC 的微生物组介导的作用是具有 CD8+ T 细胞依赖性的。 题图来源:Cancer Discovery 卡姆果中的多酚物质 Castalagin,具有抗肿瘤作用 接下来,研究了卡姆果的微生物组依赖性抗肿瘤活性的生物活性分子。使用高效液相色谱(HPLC
107 的 PBMC 细胞用 100μl 的 Buffer 稀释(Buffer CI:含 0.5% BSA 的 PBS 缓冲液,1 mM EDTA) · 加入多种生物素化抗体,室温下孵育 5 分钟。生物素化的抗体包含以下几种,每种抗体 0.5 μg:CD235a (erythrocytes), CD14 (monocytes), CD3 (T cells), CD15 (granulocytes), CD19 (B cells), CD36 (thrombocytes), CD123
群。用相应的单克隆抗体与其结合,再用FACS进行分离,就能得到纯度很高CD4+CD25+T淋巴细胞细胞群。而其他分离方法不仅分离过程烦琐,也很难控制无菌条件及保证细胞纯度。应用举例1. 小鼠胸腺细胞CD4及CD8分子表达的检测(1)简要说明①细胞为小鼠胸腺细胞。②抗体为PE标记的抗CD4抗体和FITC标记的抗CD8抗体。(2)结果以点状二维图(dotplot)表示。横坐标为CD8分子,纵坐标为CD4分子。所以右上代表双阳性细胞群,左下代表双阴性细胞群,左上代表CD4+CD8-的单阳性细胞群,右下代表CD
技术资料暂无技术资料 索取技术资料









