相关产品推荐更多 >
万千商家帮你免费找货
0 人在求购买到急需产品
- 详细信息
- 文献和实验
- 技术资料
- 免疫原:
synthetic peptide derived from PTEN at 320-400 aa.
- 亚型:
IgG1
- 形态:
Liquid
- 保存条件:
Store as concentrated solution. Centrifuge briefly prior to opening vial. For short-term storage (1-2 weeks), store at 4ºC. For long-term storage, aliquot and store at -20ºC or below. Avoid multiple freeze-thaw cycles.
- 克隆性:
Monoclonal
- 标记物:
Unconjugated
- 适应物种:
Human
- 保质期:
12 months from the shipping date of the product.
- 抗原来源:
Human
- 目录编号:
GTX34151
- 级别:
Primary Antibodies
- 库存:
Available
- 供应商:
GeneTex
- 宿主:
Mouse
- 应用范围:
IHC-P
- 浓度:
1 mg/ml (Please refer to the vial label for the specific concentration.)
- 靶点:
PTEN
- 抗体英文名:
PTEN antibody [9E8]
- 抗体名:
PTEN 抗体 [9E8]
- 规格:
100 μl
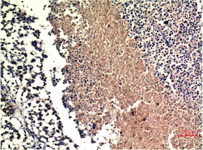
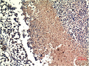
IHC-P analysis of human lung carcinoma tissue using GTX34151 PTEN antibody [9E8].
Dilution : 1:200
风险提示:丁香通仅作为第三方平台,为商家信息发布提供平台空间。用户咨询产品时请注意保护个人信息及财产安全,合理判断,谨慎选购商品,商家和用户对交易行为负责。对于医疗器械类产品,请先查证核实企业经营资质和医疗器械产品注册证情况。
文献和实验Measurement of PTEN Activity in vivo by Imaging Phosphorylated Akt
-dependent activation and phosphorylation of the survival kinase Akt can be used as readout for cellular PTEN activity. Here we have outlined a detailed procedure employing a phosphoserine-specific anti-Akt antibody to examine the content of phosphorylated
祝贺〖雅裕睿安〗成为Signalway Antibody(SAB)独家
祝贺〖上海雅裕 〗成为 Signalway Antibody 品牌 (SAB) 的独家总代理。 促销【 ABCD 】细则如下: 【 A 】 买两支 SAB 抗体免费获得 8G 优盘 活动时间:即日起,至 2011 年
-term Antibody AP8432b PTEN C-term Antibody AP8443a DUSP13 N-term Antibody AP8410a PEST Center Antibody AP8432a PTEN N-term Antibody AP8444b DUSP14 C-term Antibody AP8410b PEST C-term Antibody AP8411b PTP1B C-term Antibody AP8444a DUSP
技术资料暂无技术资料 索取技术资料





![Alkyl-DHAP synthase antibody [AGPS-03]](https://img1.dxycdn.com/2022/0328/072/1265577220396700453-14.jpg!wh200)



![Melan A antibody [MLANA/1761R]](https://img1.dxycdn.com/2022/0328/266/1565524872280700453-14.jpg!wh200)
