相关产品推荐更多 >
万千商家帮你免费找货
0 人在求购买到急需产品
- 详细信息
- 文献和实验
- 技术资料
- 免疫原:
Synthetic peptide of human Hemoglobin epsilon.
- 亚型:
IgG
- 形态:
Liquid
- 保存条件:
Store as concentrated solution. Centrifuge briefly prior to opening vial. For short-term storage (1-2 weeks), store at 4ºC. For long-term storage, aliquot and store at -20ºC or below. Avoid multiple freeze-thaw cycles.
- 克隆性:
Monoclonal
- 标记物:
Unconjugated
- 保质期:
12 months from the shipping date of the product.
- 抗原来源:
Human
- 目录编号:
GTX638775
- 级别:
Primary Antibodies
- 库存:
Available
- 供应商:
GeneTex
- 宿主:
Rabbit
- 应用范围:
WB, ICC/IF, IHC-P
- 浓度:
1 mg/ml (Please refer to the vial label for the specific concentration.)
- 抗体英文名:
Hemoglobin epsilon antibody [HL2457]
- 抗体名:
Hemoglobin epsilon 抗体 [HL2457]
- 规格:
100 μl/25 μl
| 规格: | 100 μl | 产品价格: | ¥4000.0 |
|---|---|---|---|
| 规格: | 25 μl | 产品价格: | ¥1700.0 |
Hemoglobin epsilon antibody [HL2457] detects Hemoglobin epsilon protein at cell membrane and cytoplasm by immunofluorescent analysis.
Sample: K562 cells were fixed in 4% paraformaldehyde at RT for 15 min.
Green: Hemoglobin epsilon stained by Hemoglobin epsilon antibody [HL2457] (GTX638775) diluted at 1:500.
Blue: Fluoroshield with DAPI (GTX30920).
Hemoglobin epsilon antibody [HL2457] detects secreted Hemoglobin epsilon protein by immunohistochemical analysis.
Sample: Paraffin-embedded rat spleen.
Hemoglobin epsilon stained by Hemoglobin epsilon antibody [HL2457] (GTX638775) diluted at 1:100.
Antigen Retrieval: Citrate buffer, pH 6.0, 15 min
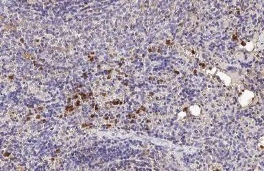
Hemoglobin epsilon antibody [HL2457] detects secreted Hemoglobin epsilon protein by immunohistochemical analysis.
Sample: Paraffin-embedded mouse spleen.
Hemoglobin epsilon stained by Hemoglobin epsilon antibody [HL2457] (GTX638775) diluted at 1:100.
Antigen Retrieval: Citrate buffer, pH 6.0, 15 min
Various whole cell extracts (30 μg) were separated by 15% SDS-PAGE, and the membrane was blotted with Hemoglobin epsilon antibody [HL2457] (GTX638775) diluted at 1:1000. The HRP-conjugated anti-rabbit IgG antibody (GTX213110-01) was used to detect the primary antibody. Corresponding RNA expression data for the same cell lines are based on Human Protein Atlas program.
风险提示:丁香通仅作为第三方平台,为商家信息发布提供平台空间。用户咨询产品时请注意保护个人信息及财产安全,合理判断,谨慎选购商品,商家和用户对交易行为负责。对于医疗器械类产品,请先查证核实企业经营资质和医疗器械产品注册证情况。
文献和实验glycoproteins assembled as a complex; has long cylasmic tail with antigen recognition activation motif; complex is then down regulated Also subdivided into delta, epsilon, gamma subtypes Cylasmic expression at early T cell differentiation
antiserum specific for the C terminus of epsilon isoform, protease digestion of intact 14-3-3 showed that the N-terminal half of 14-3-3 (a 16 kDa fragment) was an intact, dimeric domain of the protein. Two isoforms of 14-3-3, tau and epsilon, were expressed
-6 Casein Kinase I epsilon and delta (CKI-epsilon and CKI-delta) (17) 520-538 AACUGGGGAAGAAGGGCAACC HEK
技术资料暂无技术资料 索取技术资料








![ID2 antibody [4E12G5]](https://img1.dxycdn.com/2022/0328/273/4868236701213500453-14.jpg!wh200)


