相关产品推荐更多 >
万千商家帮你免费找货
0 人在求购买到急需产品
- 详细信息
- 文献和实验
- 技术资料
- 免疫原:
Recombinant fusion protein containing a sequence corresponding to amino acids 27-240 of human HSPD1 (NP_002147.2).
- 亚型:
IgG
- 形态:
Liquid
- 保存条件:
Store as concentrated solution. Centrifuge briefly prior to opening vial. For short-term storage (1-2 weeks), store at 4ºC. For long-term storage, aliquot and store at -20ºC or below. Avoid multiple freeze-thaw cycles.
- 克隆性:
Polyclonal
- 标记物:
Unconjugated
- 适应物种:
Human, Mouse, Rat
- 保质期:
12 months from the shipping date of the product.
- 抗原来源:
Human
- 目录编号:
GTX32661
- 级别:
Primary Antibodies
- 库存:
Available
- 供应商:
GeneTex
- 宿主:
Rabbit
- 应用范围:
WB, ICC/IF, IHC-P, IP
- 浓度:
Batch dependent (Please refer to the vial label for the specific concentration.)
- 靶点:
HSP60
- 抗体英文名:
HSP60 antibody
- 抗体名:
HSP60 抗体
- 规格:
100 μl
ICC/IF analysis of U2OS cells using GTX32661 HSP60 antibody.
Blue : DAPI
Dilution : 1:100
IHC-P analysis of human colon tissue using GTX32661 HSP60 antibody.
Dilution : 1:100
IP analysis of HeLa cell lysate using GTX32661 HSP60 antibody.
Antibody amount : 1μg / 200μg lysate
Dilution : 1:1000
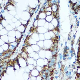
IHC-P analysis of mouse testis tissue using GTX32661 HSP60 antibody.
Dilution : 1:100
ICC/IF analysis of HeLa cells using GTX32661 HSP60 antibody.
Blue : DAPI
Dilution : 1:400
WB analysis of various sample lysates using GTX32661 HSP60 antibody.
Dilution : 1:1000
Loading : 25μg per lane
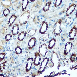
IHC-P analysis of rat kidney tissue using GTX32661 HSP60 antibody.
Dilution : 1:100
ICC/IF analysis of HeLa cells using GTX32661 HSP60 antibody.
Blue : DAPI
风险提示:丁香通仅作为第三方平台,为商家信息发布提供平台空间。用户咨询产品时请注意保护个人信息及财产安全,合理判断,谨慎选购商品,商家和用户对交易行为负责。对于医疗器械类产品,请先查证核实企业经营资质和医疗器械产品注册证情况。
文献和实验Immunohistochemistry of Human Hsp60 in Health and Disease: From Autoimmunity to Cancer
Hsp60 (also called Cpn60) is a chaperonin with essential functions for cell physiology and survival. Additionally, its involvement in the pathogenesis of a number of diseases (e.g., some autoimmune disorders and cancer) is becoming evident
RT-PCR Quantitation of HSP60 mRNA Expression
Heat shock protein 60 (HSP60, HSPD1) is a “chaperonin” that facilitates folding of nascent proteins into proper conformations (1 ). It is thought to play a critical role in the assembly, folding, and transport of proteins in the mitochondria
Generation of Antibody Molecules Through Antibody Engineering
been overcome to a large extent using genetic-engineering techniques to produce chimeric mouse/human and completely human antibodies. Such an approach is particularly suitable because of the domain structure of the antibody molecule ( 2 ), where functional
技术资料暂无技术资料 索取技术资料











