万千商家帮你免费找货
0 人在求购买到急需产品
- 详细信息
- 文献和实验
- 技术资料
- 提供商:
XSL
- 服务名称:
脑缺血及再灌注模型动物实验
脑缺血在临床上具有较高的发病率和死亡率,严重危害中老年患者健康,寻找有明确疗效且作用机制清晰 的预防和治疗脑梗死的药物是当前研究的前沿课题和热点领域。因此,脑缺血动物模型的制备在科学研究中具有重要意义。
MCAO 模型制备:
术前准备见左图,选择 220-250g 的 SD 大鼠,10% 水合氯醛(300uL/100g)麻醉保定,仰卧位,颈部正中剃毛消毒备用
剪开颈部皮肤,钝性分离颈部肌肉,暴露并游离单侧颈动脉,穿线备用
动脉夹暂时夹闭主动脉,并结扎颈外动脉。主动脉用注射器针头挑开小口,插入自制线栓到颈内动脉,大约 2.5-3cm。结扎颈内动脉,结扎主动脉近心端,松开动脉夹。
逐层缝合,根据实验的需要的缺血时间进行拔栓手术(再灌注),拔栓时动物要完全麻醉,把出线栓的长度约为 0.5cm。
模型成功的评判方法
神经功能缺损(NDS)评分
0 分:活动基本正常,无明显神经病学症状;
1 分:左侧前爪无法完全伸展;
2 分:爬行时向左侧转圈;
3 分:行走时向偏瘫侧倾倒;
4 分:不能自动行走,有意识障碍
5 分:死亡
水迷宫实验 Morris 水迷宫(Morris water maze, MWM)实验是一种强迫实验动物(大鼠、小鼠)游泳,学习寻找 隐藏在水中平台的一种实验,主要用于测试实验动物对空间位置感和方向感(空间定位)的学习记忆能力。(左图正常,右图模型)
TTC 染色 TTC 染色是常用来评价脑缺血损伤的指标,缺血区域会呈白色。
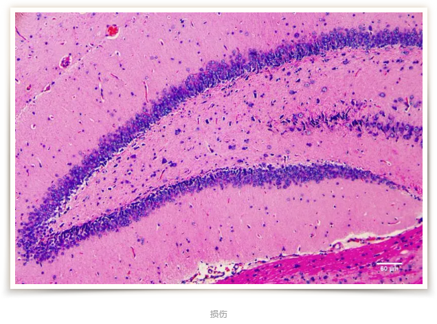
HE 染色 一般发生缺血损伤的脑组织的神经元细胞会受到明显损伤(上侧正常,下侧损伤)
TUNEL 染色发生损伤的脑组织,TUNEL 染色的细胞会明显增多。
收费标准/服务周期/提供结果:
欢迎咨询详谈,我们会根据您的方案及需求制定详细的服务协议。
更多实验技术服务请浏览网站其他内容,或来电咨询!
MCAO 模型制备:
术前准备见左图,选择 220-250g 的 SD 大鼠,10% 水合氯醛(300uL/100g)麻醉保定,仰卧位,颈部正中剃毛消毒备用
剪开颈部皮肤,钝性分离颈部肌肉,暴露并游离单侧颈动脉,穿线备用
动脉夹暂时夹闭主动脉,并结扎颈外动脉。主动脉用注射器针头挑开小口,插入自制线栓到颈内动脉,大约 2.5-3cm。结扎颈内动脉,结扎主动脉近心端,松开动脉夹。
逐层缝合,根据实验的需要的缺血时间进行拔栓手术(再灌注),拔栓时动物要完全麻醉,把出线栓的长度约为 0.5cm。
模型成功的评判方法
神经功能缺损(NDS)评分
0 分:活动基本正常,无明显神经病学症状;
1 分:左侧前爪无法完全伸展;
2 分:爬行时向左侧转圈;
3 分:行走时向偏瘫侧倾倒;
4 分:不能自动行走,有意识障碍
5 分:死亡
水迷宫实验 Morris 水迷宫(Morris water maze, MWM)实验是一种强迫实验动物(大鼠、小鼠)游泳,学习寻找 隐藏在水中平台的一种实验,主要用于测试实验动物对空间位置感和方向感(空间定位)的学习记忆能力。(左图正常,右图模型)
TTC 染色 TTC 染色是常用来评价脑缺血损伤的指标,缺血区域会呈白色。
HE 染色 一般发生缺血损伤的脑组织的神经元细胞会受到明显损伤(上侧正常,下侧损伤)
TUNEL 染色发生损伤的脑组织,TUNEL 染色的细胞会明显增多。
收费标准/服务周期/提供结果:
欢迎咨询详谈,我们会根据您的方案及需求制定详细的服务协议。
更多实验技术服务请浏览网站其他内容,或来电咨询!
风险提示:丁香通仅作为第三方平台,为商家信息发布提供平台空间。用户咨询产品时请注意保护个人信息及财产安全,合理判断,谨慎选购商品,商家和用户对交易行为负责。对于医疗器械类产品,请先查证核实企业经营资质和医疗器械产品注册证情况。
文献和实验相关实验
讲师介绍: 焦成 武汉华联科生物技术导师,负责动物中心技术带教及模型研发与应用, 累计受理13项实用新型专利,5项发明专利。发表多篇动物实验相关中文核心期刊。
一、技术简介: 脑出血(cerebral hemorrhage)是指非外伤性脑实质内血管破裂引起的出血,占全部脑卒中的20%~30%,急性期病死率为30%~40%。目前实验造模的方法主要有脑立体定位注射自体血或者胶原酶,我公司有多年脑出血造模经验,可以满足实验要求。 脑缺血再灌注损伤(cerebral ischemia-reperfusion injury)是指脑缺血致脑细胞损伤,恢复血液再灌注后,其缺血性损伤反而进一步加重的现象。建立理想的脑缺血再灌注损伤动物模型是脑血管病研究的基础
佚名 脑是一个对缺氧最敏感的器官,它的活动主要依靠葡萄糖有氧氧化提供能量,因此一旦缺血时间较长即可引起严重的不可逆性损伤。脑缺血时生物电发生改变,出现病理性慢波,缺血一定时间后再灌注,慢波持续并加重。 脑缺血后短时间内ATP,CP、葡萄糖、糖原等均减少,乳酸明显增加。环腺苷酸(cAMP)在缺血(结扎砂鼠两侧颈总动脉)30分钟时增加2.2倍,环鸟苷酸
技术资料暂无技术资料 索取技术资料
脑缺血及再灌注模型动物实验
询价










