相关产品推荐更多 >
万千商家帮你免费找货
0 人在求购买到急需产品
- 详细信息
- 文献和实验
- 技术资料
- 免疫原:
KLH conjugated purified pig ganglioside GM1.
- 亚型:
IgG
- 形态:
Liquid
- 保存条件:
Store as concentrated solution. Centrifuge briefly prior to opening vial. For short-term storage (1-2 weeks), store at 4ºC. For long-term storage, aliquot and store at -20ºC or below. Avoid multiple freeze-thaw cycles.
- 克隆性:
Polyclonal
- 标记物:
Unconjugated
- 适应物种:
Human, Rat
- 保质期:
12 months from the shipping date of the product.
- 抗原来源:
Pig
- 目录编号:
GTX50971
- 级别:
Primary Antibodies
- 库存:
Available
- 供应商:
GeneTex
- 宿主:
Rabbit
- 应用范围:
IHC-P
- 浓度:
1 mg/ml (Please refer to the vial label for the specific concentration.)
- 靶点:
ganglioside GM1
- 抗体英文名:
ganglioside GM1 antibody
- 抗体名:
ganglioside GM1 抗体
- 规格:
100 μl
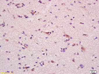
IHC-P analysis of rat brain tissue using GTX50971 ganglioside GM1 antibody.
Dilution : 1:200
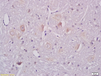
IHC-P analysis of rat brain tissue using GTX50971 ganglioside GM1 antibody.
Dilution : 1:200
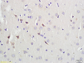
IHC-P analysis of human glioma tissue using GTX50971 ganglioside GM1 antibody.
Dilution : 1:200
风险提示:丁香通仅作为第三方平台,为商家信息发布提供平台空间。用户咨询产品时请注意保护个人信息及财产安全,合理判断,谨慎选购商品,商家和用户对交易行为负责。对于医疗器械类产品,请先查证核实企业经营资质和医疗器械产品注册证情况。
文献和实验cell destruction by effector cells with Fc receptors such as natural killer (NK) cells and macrophages. These cells recognize the mAb binding to the tumor cells and mediate antibody-dependent cellular cytotoxicity (ADCC). Enhanced ADCC is mediated
Immunohistochemistry using Anti-Ganglioside Antibodies
, T., Terashima,T., and Tai, T.(1993) Generation of a monoclonal antibody specific for ganglioside GM4: evidence for GM4 expression on astrocytes in chicken cerebellum. J. Biochem.(Tokyo), 114 :5-8 3) Kotani, M., Kawashima, I., Ozawa, H., Ogura
人抗神经节苷脂抗体(GM1 IgG)ELISA试剂盒 说明书
上海西唐生物科技有限公司 021-55229872, 65333639 www.westang.com 人抗神经节苷脂抗体 (GM1 IgG)ELISA 试剂盒 ( 用于血清、血浆、细胞培养上清液和生物体液内 ) 原理 本实验采用双抗体夹心 ABC-ELISA 法。用抗人 GM1 IgG单抗包被于酶标板上,标准品和样品中的 GM1 IgG与单抗结合,加入生物素化的抗人
技术资料暂无技术资料 索取技术资料





![M13 antibody [05] (PE)](https://img1.dxycdn.com/2023/0711/451/6106825198874858761-14.jpg!wh200)



