相关产品推荐更多 >
万千商家帮你免费找货
0 人在求购买到急需产品
- 详细信息
- 询价记录
- 文献和实验
- 技术资料
- 服务名称:
基因编辑/药物药效评价模型
- 提供商:
赛业生物
产品编号:C001393
品系背景:C57BL/6J
传代方案:杂合与杂合互配
品系描述:
尿酸氧化酶(Urate Oxidase,Uox)基因编码的尿酸酶(Uricase)在嘌呤代谢途径中有重要的作用,大多数哺乳动物体内含有UOX,可将嘌呤核苷酸的代谢产物尿酸分解成溶解度比尿酸高的尿囊素;而人体内缺乏UOX,嘌呤分解代谢只能生成尿酸,随后尿酸经肾脏排泄,导致人体内血尿酸的浓度高于其他哺乳动物。当尿酸生成速度超过肾脏的排泄能力时,血清尿酸水平会显著升高,造成高尿酸血症。UOX可以显著降低血清中的尿酸水平,并可以治疗由高尿酸血症继发引起的痛风和肾脏疾病等[1]。本模型为Uox基因敲除(Uox KO)小鼠,小鼠体内尿酸酶合成受阻,自发出现高尿酸血症表型。该品系杂合小鼠是可存活且可育的,纯合小鼠在出生后几周内可能出现部分死亡的情况,需要利用别嘌呤醇(Allopurinol)等药物维持其生存率。
构建方式:
Uox基因位于小鼠3号染色体上,利用CRISPR/Cas9打靶技术构建,敲除了该基因的3~4号外显子。
研究应用:
1、高尿酸血症研究;
2、痛风及其相关疾病研究;
3、其它代谢及肾脏疾病研究。
注意事项:
据文献报道Uox纯合缺失小鼠在出生后可能会出现陆续死亡的现象,Uox KO小鼠在出生后需用别嘌呤醇(Allopurinol)维持其生存[2]。
验证数据:
(1)生长曲线
图1. Uox KO小鼠与野生型小鼠体重检测。小鼠分组后每周测量小鼠体重,结果显示,Uox KO小鼠与野生型对照组(Control)小鼠的体重无明显差异,别嘌呤醇(Allopurinol)处理对Uox KO小鼠的体重无明显影响。
(2)生存曲线
图2. Uox KO小鼠与野生型小鼠的生存曲线对比。小鼠分组后每周监测小鼠生存状态,结果显示,与野生型对照组(Control)小鼠相比,Uox KO小鼠存活率在第5周降低至75%后保持不变;而别嘌呤醇(Allopurinol)处理的Uox KO小鼠存活率仅在第18周开始降低,第22周时存活率降低至66.67%。该结果表明,给予Uox KO小鼠别嘌呤醇可提高18周前的存活率。
(3)血生化指标
图3. Uox KO小鼠与野生型小鼠血生化分析。结果显示,与野生型对照组(Control)小鼠相比,Uox KO小鼠的尿素氮(BUN)、肌酐(CREA)和尿酸(UA)含量均有不同程度的升高,呈现高尿酸血症特征。别嘌呤醇(Allopurinol)处理的Uox KO小鼠组尿素氮、肌酐、尿酸含量与未处理的Uox KO小鼠的总体变化趋势一致,表明别嘌呤醇在维持Uox KO小鼠存活率的同时并不会显著影响其尿素氮、肌酐和尿酸含量的变化。
(4)肾脏总体病理情况
图4. Uox KO小鼠与野生型小鼠肾脏外观形态变化。与野生型对照组(Control)小鼠相比,Uox KO小鼠的肾脏发生病变,存在明显的肾积水,别嘌呤醇(Allopurinol)处理的Uox KO小鼠同样也存在肾积水的表型。
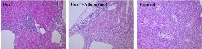
(5)肾脏H&E染色
图5. Uox KO小鼠与野生型小鼠肾脏H&E染色结果。与野生型对照组(Control)小鼠相比,Uox KO小鼠的肾脏发生病变,外皮质存在蓝色病灶,别嘌呤醇(Allopurinol)处理的Uox KO小鼠也存在同样的病变表型。
(6)结果讨论
通过对Uox基因进行敲除,构建高尿酸血症疾病模型小鼠,并在饲喂别嘌呤醇后通过体重监测、生存监测、血生化检测和H&E染色对小鼠存活率、体征变化和病理表型进行分析与统计对比。表型检测结果显示,与野生型小鼠相比,Uox KO小鼠的存活率降低,尿素氮、肌酐和尿酸含量均有不同程度的升高。在Uox KO小鼠出生后一周内的饮水中添加100mg/L的别嘌呤醇后能够显著增加其在18周龄前的存活率,并保证其血生化指标与与未处理组大致维持在同一水平。该模型小鼠可用于后续的高尿酸血症疾病模型研究,为代谢疾病的研究提供强有效的工具。
风险提示:丁香通仅作为第三方平台,为商家信息发布提供平台空间。用户咨询产品时请注意保护个人信息及财产安全,合理判断,谨慎选购商品,商家和用户对交易行为负责。对于医疗器械类产品,请先查证核实企业经营资质和医疗器械产品注册证情况。
- 作者
- 内容
- 询问日期
文献和实验[2]Wu X, Wakamiya M, Vaishnav S, Geske R, Montgomery C Jr, Jones P, Bradley A, Caskey CT. Hyperuricemia and urate nephropathy in urate oxidase-deficient mice. Proc Natl Acad Sci U S A. 1994 Jan 18;91(2):742-6.
年高翔回到母校南京大学担任教授。2001 年,高翔带领南京大学团队创建了南京大学模式动物研究所和教育部 「模式动物和疾病研究」实验室。在项目建设期间,高翔建立了国内的第一个条件性基因剔除小鼠。 图片来源:南京大学 当时,在国内模式动物资源仍然比较稀缺,高翔认为成立一家模式动物公司对推动这一领域发展非常重要。于是,2017年他成立了药康生物,担任董事长。 2018 年高翔推出「斑点鼠计划」,对小鼠基因组中可设计策略的所有蛋白编码和非编码基因逐一进行 CKO/KO 模型制作,目前已经建成全球最大
Uox-KO 小鼠可自发出现高尿酸血症表型,适用于高尿酸血症、痛风、尿酸肾病研究。 高尿酸血症(hyperuricemia,HUA)由嘌呤代谢紊乱使血尿酸(UA)生成过多或 UA 排泄减少所致,是痛风的生化基础。研究表明,HUA 与肥胖、高血压、糖尿病和心血管疾病等有着密切的关系。近年来,随着人们生活水平的提高,饮食结构和生活习惯的改变,高尿酸血症的患病率逐年增高,重视对高尿酸血症的治疗已引起临床的关注。 目前对于高尿酸血症的治疗,临床上常用的药物包括别嘌呤醇和苯溴马隆等,但这些药物均有一定
熬夜不睡,心脏遭罪!生物钟到底如何影响心脏健康,中国科学家给出了新的解释
和 Rev-erbβ 在昼夜节律中具有高度序列同源性。因此,研究者构建了心肌细胞特异性 Rev-erbα/β 双基因敲除小鼠。 超声心动图显示 KO 小鼠在 2.5 月龄时左心室大小、壁厚和收缩功能正常;然而,在 4.5 月龄时,KO 小鼠显示出收缩功能受损,左心室直径增大,但心室壁没有明显增厚;到 6 个月大时,射血分数下降到 20-30%,左心室进一步扩张;雌性 KO 小鼠在 6 个月时也出现类似的收缩功能障碍和心脏扩张。 KO 小鼠的收缩功能障碍与心钠素(ANP)和 B 型利钠肽(BNP
技术资料暂无技术资料 索取技术资料






