- 详细信息
- 技术资料
- 提供商:
嘉兴硕玺生物有限公司
- 服务名称:
免疫组化
免疫组化 应用免疫学基本原理,通过标记的特异性抗体(或抗原)对组织内抗原(或抗体)的分别进行组织和细胞原位检测,从而进 行定位、定性及相对定量的研究。
实验意义 1. 免疫组织化学可应用于恶性肿瘤的病理诊断和科研工作。
2. 可与组织化学染色方法的形态学诊断相结合,提高疑难肿瘤的鉴别诊断的准确率,并为肿瘤进行进一步的病理分型。
3. 指导和提供临床治疗方案的选择。
实验步骤:
1. 石蜡切片免疫组化:
①67℃烘箱烘片2小时,常规脱蜡至水,用pH 7.4的PBS冲洗三次,每次3 min;
②将切片置于沸腾的柠檬酸盐缓冲液中中档微波处理10 min,蒸馏水冲洗三次,PBS冲洗三次,每次3 min;
③3%H2O2室温孵育10 min阻断内源性过氧化物酶的活性,PBS冲洗三次,每次3 min;
④5~10%正常山羊血清(PBS稀释)封闭,室温孵育10 min,吸去血清后滴加稀释至适当比例的一抗,37℃孵育1-2 h或者 4℃孵育过夜;
⑤PBS冲洗三次,每次3 min;滴加稀释至适当比例的带标记二抗,37℃孵育10~30 min,PBS冲洗三次,每次3 min;
⑥滴加适当比例稀释的辣根酶标记物工作液,37℃孵育10~30 min,PBS冲洗三次,每次3 min;
⑦显色剂显色,自来水充分冲洗,复染细胞核,酒精脱水、二甲苯透明、中性树胶封固。
2. 冰冻切片免疫组化:
①新鲜组织立即在恒冷冰冻切片机内切片,厚度为5~6 μm;
②载玻片可不打底,裱片后立刻用电吹风吹干;
③染色前需用冷丙.酮4℃固定10~20 min;
④PBS洗2次,每次5 min;
⑤3%H2O2灭活内源性过氧化物酶20 min,需避光处理;
⑥后续血清封闭与抗体孵育步骤与石蜡切片相似,最后脱水透明封片进行观察。
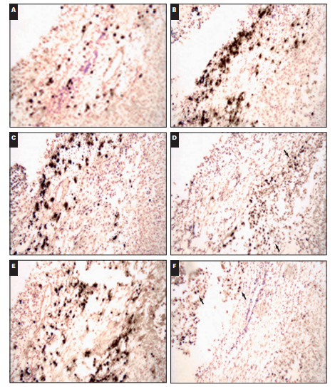
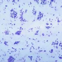
结果展示:
石蜡切片免疫组化(1)
冰冻切片免疫组化(2)
实验完成周期及交付标准
- 实验周期:1-2周
- 交付标准:蜡块、切片、染色图片、灰度值分析、柱状图、实验报告(实验步骤、试剂、仪器等)
需确认的信息
- 样本的种属?
- 样本类型(固定的组织or蜡块or切片)
- 检测的目的蛋白
- 是否提供一抗,公司可代购
- 阳性率或者半定量分析要求
- 拍照要求
欢迎咨询详谈,我们会根据您的方案及需求制定详细的服务协议。
更多实验技术服务请浏览网站其他内容,或来电咨询!
做实验,找硕玺!您的科研生涯,我们一路相伴!


风险提示:丁香通仅作为第三方平台,为商家信息发布提供平台空间。用户咨询产品时请注意保护个人信息及财产安全,合理判断,谨慎选购商品,商家和用户对交易行为负责。对于医疗器械类产品,请先查证核实企业经营资质和医疗器械产品注册证情况。
技术资料暂无技术资料 索取技术资料









