万千商家帮你免费找货
0 人在求购买到急需产品
- 详细信息
- 技术资料
- 提供商:
嘉兴硕玺生物有限公司
- 服务名称:
EVG染色
EVG染色实验简介:
EVG染色方法能显示黑色弹性纤维与红色胶原纤维,一些弹性组织萎缩的肺气肿病例、动脉粥样硬化的弹性纤维变薄和缺失 及其他血管疾病均可使用此方法进行鉴别。
EVG染色实验意义:
- 可用于区别正常的动脉和静脉以及观察动脉有病变时血管壁各层的情况,如动脉粥样硬化时的各类变化。
- 可用于区别观察各种疾病对弹性纤维的影响及变化,如原发性或继发性高血压可见主动脉弹力纤维增生,老年弹力纤 维增多症。心内膜弹力纤维增生症常都可见到弹力纤维断裂,梅毒性主动脉炎和皮肤的环状肉芽肿,动脉粥样硬化均可见到 裂解,崩解的弹力纤维。
- 可用于弹力纤维性瘤的诊断,弹力纤维染色可见瘤样病变内有大量弹力纤维增生,非真性肿瘤。
EVG染色实验步骤:
- 组织固定于4%多.聚.甲.醛溶液,Bouin氏液或Zenker氏液,流水冲洗过一夜,常规脱水包埋。
- 切片脱蜡至水。
- 用配好的Verhoeff's染液温室染1-3 min,至颜色呈深黑色。
- 自来水冲洗,2%三.氯.化.铁溶液分化10-20s,显微镜观察弹性纤维呈黑色,背景呈灰色。
- 自来水洗,蒸馏水稍洗;Van Gieson's液复染10-15 s,无水乙醇洗。
- 无水乙醇脱水,二甲苯透明,中性树胶封固。
EVG染色实验结果:
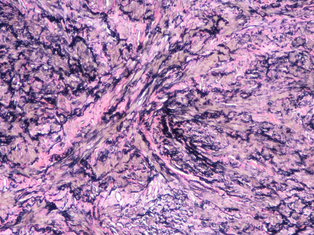
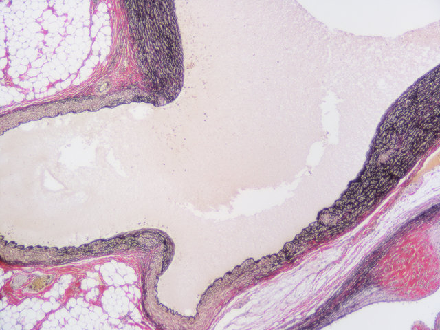
弹性纤维呈蓝黑色;胶原纤维呈红色;背景呈淡黄色。
EVG染色实验技巧:
1、10%的三.氯.化.铁时间长了容易有沉淀产生,使用前请混匀后再配制。
2、Verhoeff's染液和Van Gieson's染液要使用前新鲜配制,如用不完请弃掉。
3、2%三.氯.化.铁溶液分化时要在显微镜下控制分化程度。
4、Vn Gieson's染液复染时间不能过长,无水乙醇分化的时间不能过长。
EVG染色样片参考:

风险提示:丁香通仅作为第三方平台,为商家信息发布提供平台空间。用户咨询产品时请注意保护个人信息及财产安全,合理判断,谨慎选购商品,商家和用户对交易行为负责。对于医疗器械类产品,请先查证核实企业经营资质和医疗器械产品注册证情况。
技术资料暂无技术资料 索取技术资料
EVG染色
询价









