万千商家帮你免费找货
0 人在求购买到急需产品
- 详细信息
- 技术资料
- 提供商:
嘉兴硕玺生物有限公司
- 服务名称:
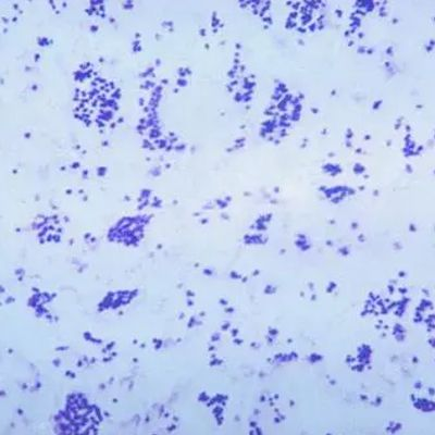
亚甲基蓝染色
亚甲基蓝(Methylene blue)又称美蓝、次甲基蓝、次甲蓝等,主要由美蓝、酒精、氢氧化甲等组成,含水亚甲基蓝的分子式 为C16H24ClN3O3S,分子量为373.9,CAS号为7220-79-3。亚甲基蓝染色液常用于丝绸、纸张、细菌、细胞等染色。因其 容易氧化,染色结果不宜长久保存。
实验方法:
- 样品处理
- 对于石蜡切片:常规脱蜡复水。
- 对于冰冻切片:蒸馏水 2min。
- 对于培养细胞:先用 4%多聚贾醛固定,然后蒸馏水洗涤 2min,*后换用新鲜的蒸馏水,再洗涤 2min。
2、 美蓝染色
(1) Methylene blue Stain(1%)染色。
(2) 用蒸馏水或自来水充分洗涤,进行观察和拍照。

欢迎咨询详谈,我们会根据您的方案及需求制定详细的服务协议。
更多实验技术服务请浏览网站其他内容,或来电咨询!
做实验,找硕玺!您的科研生涯,我们一路相伴!
【平台项目开展范围】慢病毒,腺病毒,RNAi类,分子生物实验,病理实验,免疫学实验,细胞实验,动物实验,蛋白组学实验,芯片类实验,并为广大客户朋友们提供课题设计指导、基金申请指导等服务。
【硕玺生物】已开展了数千个实验外包项目。我们专注于医学课题研究,已从课题申请、方案设计、试剂采购、模型构造、 标本检测、数据分析,各个环节积累了数千个成功案例经验,为数千个来自临床的科研工作者解决了大量的科研问题。更多相关实验服务信息请咨询硕玺生物。


风险提示:丁香通仅作为第三方平台,为商家信息发布提供平台空间。用户咨询产品时请注意保护个人信息及财产安全,合理判断,谨慎选购商品,商家和用户对交易行为负责。对于医疗器械类产品,请先查证核实企业经营资质和医疗器械产品注册证情况。
技术资料暂无技术资料 索取技术资料
亚甲基蓝染色
¥25 - 100









