万千商家帮你免费找货
0 人在求购买到急需产品
- 详细信息
- 询价记录
- 文献和实验
- 技术资料
- 英文名:
Human Umbilical Vein Endothelial Cells
- 库存:
999
- 供应商:
亿泽丰
- 细胞类型:
人脐静脉内皮
- 品系:
原代细胞
- 组织来源:
人脐带静脉组织
- 物种来源:
人
- 器官来源:
脐带
- 运输方式:
干冰
- 年限:
咨询销售
- 生长状态:
贴壁
- 规格:
5 x 10^5 cells/vial
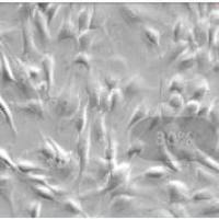
人脐静脉内皮细胞说明:血管内皮细胞对维持血管动态平衡起着重要作用。它们合成、分泌凝血和纤溶系统的激活因子和抑制因子、影响血小板粘附和聚集的调节因子。内皮细胞还释放控制细胞增殖和调节血管壁紧张度的分子。这些过程都可以用培养的细胞进行体外研究,人脐静脉和动脉内皮细胞是这类研究中最常用的细胞类型。除了普通的内皮细胞特征例如“鹅卵石状”,VIII因子阳性着色,能摄取乙酰基化低密度脂蛋白,人脐血管内皮细CD31染色阳性。用IL-1或TNF-α预先处理过的细胞也能选择性地表达E-selectin和VCAM。
人脐静脉内皮细胞(HUVEC)提取于人脐带静脉组织,原代冻存。每管含有细胞数>5×10^5 cells/ml,此细胞通过vWF/Factor VIII 和CD31 (P-CAM)免疫荧光染色验证,经测试不含有HIV-1、HBV、HCV、支原体、细菌、酵母和真菌。细胞可以达到15倍增。
配套培养基:内皮细胞培养基(Cat.No.1001)。产品使用说明:仅供科研研究使用!
产品引用文献
1. Yan, X., Cao, J., Liang, L., Wang, L., Gao, F., Yang, Z., Duan, J., Chang, T., Deng, S., Liu, Y., Dou, G., Zhang, J., Zheng, Q., Zhang, P. & Han, H. (2016) miR-342-5p Is a Notch Downstream Molecule and Regulates Multiple Angiogenic Pathways Including Notch, Vascular Endothelial Growth Factor and Transforming Growth Factor ? SignalingJ Am Heart Assoc. 5
2. He, Y., Luan, Z., Fu, X. & Xu, X. (2016) Overexpression of uncoupling protein 2 inhibits the high glucose-induced apoptosis of human umbilical vein endothelial cells Int J Mol Med. 37
3. Ye, X., Qian, Y., Wang, Q., Yuan, W., Mo, X., Li, Y., Jiang, Z., Xu, W., Deng, Y., Wan, Y., Fan, X., Wu, X. & Wang, Y. (2016) SMYD1, an SRF-Interacting Partner, Is Involved in Angiogenesis PLoS One. 11
4. Zhou, Y., Zhang, H., Zheng, B., Ye, L., Zhu, S., Johnson, N.R., Wang, Z., Wei, X., Chen, D., Cao, G., Fu, X., Li, X., Xu, H.Z. & Xiao, J. (2016) Retinoic Acid Induced-Autophagic Flux Inhibits ER-Stress Dependent Apoptosis and Prevents Disruption of Blood-Spinal Cord Barrier after Spinal Cord Injury Int J Biol Sci. 12
5. Wang, Y., Wang, B., Guerram, M., Sun, L., Shi, W., Tian, C., Zhu, X., Jiang, Z. & Zhang, L. (2015) Deoxypodophyllotoxin suppresses tumor vasculature in HUVECs by promoting cytoskeleton remodeling through LKB1-AMPK dependent Rho A activation Oncotarget. 6
6. Wang, K., Chen, X., Pan, Y., Cui, Y., Zhou, X., Kong, D. & Zhao, Q. (2015) Enhanced Vascularization in Hybrid PCL/Gelatin Fibrous Scaffolds with Sustained Release of VEGF Biomed Res Int. 2015
7. Li, J., Zhou, J., Zhang, D., Song, Y., She, J. & Bai, C. (2015) Bone marrow-derived mesenchymal stem cells enhance autophagy via PI3K/AKT signalling to reduce the severity of ischaemia/reperfusion-induced lung injury J Cell Mol Med. 19
8. Lau, Y.S., Ling, W.C., Murugan, D., Kwan, C.Y. & Mustafa, M.R. (2015) Endothelium-Dependent Relaxation Effect of Apocynum venetum Leaf Extract via Src/PI3K/Akt Signalling Pathway Nutrients. 7
9. Jiang, Y.H., Sun, W., Li, W., Hu, H.Z., Zhou, L., Jiang, H.H. & Xu, J.X. (2015) Calycosin-7-O-?-D-glucoside promotes oxidative stress-induced cytoskeleton reorganization through integrin-linked kinase signaling pathway in vascular endothelial cells BMC Complement Altern Med. 15
10. Dissanayaka, W.L., Hargreaves, K.M., Jin, L., Samaranayake, L.P. & Zhang, C. (2015) The Interplay of Dental Pulp Stem Cells and Endothelial Cells in an Injectable Peptide Hydrogel on Angiogenesis and Pulp Regeneration In Vivo Tissue Eng Part A. 21
风险提示:丁香通仅作为第三方平台,为商家信息发布提供平台空间。用户咨询产品时请注意保护个人信息及财产安全,合理判断,谨慎选购商品,商家和用户对交易行为负责。对于医疗器械类产品,请先查证核实企业经营资质和医疗器械产品注册证情况。
- 作者
- 内容
- 询问日期
文献和实验1. Yan, X., Cao, J., Liang, L., Wang, L., Gao, F., Yang, Z., Duan, J., Chang, T., Deng, S., Liu, Y., Dou, G., Zhang, J., Zheng, Q., Zhang, P. & Han, H. (2016) miR-342-5p Is a Notch Downstream Molecule and Regulates Multiple Angiogenic Pathways Including Notch, Vascular Endothelial Growth Factor and Transforming Growth Factor ? SignalingJ Am Heart Assoc. 5
2. He, Y., Luan, Z., Fu, X. & Xu, X. (2016) Overexpression of uncoupling protein 2 inhibits the high glucose-induced apoptosis of human umbilical vein endothelial cells Int J Mol Med. 37
3. Ye, X., Qian, Y., Wang, Q., Yuan, W., Mo, X., Li, Y., Jiang, Z., Xu, W., Deng, Y., Wan, Y., Fan, X., Wu, X. & Wang, Y. (2016) SMYD1, an SRF-Interacting Partner, Is Involved in Angiogenesis PLoS One. 11
4. Zhou, Y., Zhang, H., Zheng, B., Ye, L., Zhu, S., Johnson, N.R., Wang, Z., Wei, X., Chen, D., Cao, G., Fu, X., Li, X., Xu, H.Z. & Xiao, J. (2016) Retinoic Acid Induced-Autophagic Flux Inhibits ER-Stress Dependent Apoptosis and Prevents Disruption of Blood-Spinal Cord Barrier after Spinal Cord Injury Int J Biol Sci. 12
5. Wang, Y., Wang, B., Guerram, M., Sun, L., Shi, W., Tian, C., Zhu, X., Jiang, Z. & Zhang, L. (2015) Deoxypodophyllotoxin suppresses tumor vasculature in HUVECs by promoting cytoskeleton remodeling through LKB1-AMPK dependent Rho A activation Oncotarget. 6
6. Wang, K., Chen, X., Pan, Y., Cui, Y., Zhou, X., Kong, D. & Zhao, Q. (2015) Enhanced Vascularization in Hybrid PCL/Gelatin Fibrous Scaffolds with Sustained Release of VEGF Biomed Res Int. 2015
7. Li, J., Zhou, J., Zhang, D., Song, Y., She, J. & Bai, C. (2015) Bone marrow-derived mesenchymal stem cells enhance autophagy via PI3K/AKT signalling to reduce the severity of ischaemia/reperfusion-induced lung injury J Cell Mol Med. 19
8. Lau, Y.S., Ling, W.C., Murugan, D., Kwan, C.Y. & Mustafa, M.R. (2015) Endothelium-Dependent Relaxation Effect of Apocynum venetum Leaf Extract via Src/PI3K/Akt Signalling Pathway Nutrients. 7
9. Jiang, Y.H., Sun, W., Li, W., Hu, H.Z., Zhou, L., Jiang, H.H. & Xu, J.X. (2015) Calycosin-7-O-?-D-glucoside promotes oxidative stress-induced cytoskeleton reorganization through integrin-linked kinase signaling pathway in vascular endothelial cells BMC Complement Altern Med. 15
10. Dissanayaka, W.L., Hargreaves, K.M., Jin, L., Samaranayake, L.P. & Zhang, C. (2015) The Interplay of Dental Pulp Stem Cells and Endothelial Cells in an Injectable Peptide Hydrogel on Angiogenesis and Pulp Regeneration In Vivo Tissue Eng Part A. 21
Life最好的血清也需一个月细胞密度才能达到80% Confluence,而若用AdvCell哺乳细胞快速扩增培养基,1个星期细胞就能达到80% confluence, 而且扩增出来的细胞核型一点问题都没有,因为我们成功地通过核移植获得了转基因小型猪。 总体来讲,国内血清假货很多,在没有优质进口血清的情况下,选择合适的低血清细胞培养基的确是一种较好的选择方案。生产低血清的培养基的厂家国内不是很多,笔者发现ScienCell以及佰通生物AdvCell系列都有4-5%FBS 含量的低血清相关培养
不占优势,会因为平滑肌细胞大量爬出、增殖而漂起来,换液可洗掉,另外传代可纯化平滑肌细胞。5、培液Gibco的DMEM(高糖4500mg/L)加四季清新生牛血清20%。建议用1次性培养瓶,成功机会大于玻璃瓶。成功后再小心过度成玻璃瓶。块愈小愈好。用新刀,快,损伤小。全过程越短越好。组织块的边缘不齐整也不是什么很关键的问题,最重要的是组织块要尽量小,尽量能剪成小米粒大小;另外就是组织块要贴牢,其关键就是培养液可以在6小时后翻瓶的时间再加,这样就可以避免组织块贴不牢而悬浮起来的尴尬了。人脐静脉内皮细胞











