万千商家帮你免费找货
0 人在求购买到急需产品
- 详细信息
- 文献和实验
- 技术资料
- 英文名:
Human Brain Vascular Pericytes
- 库存:
999
- 品系:
原代细胞
- 组织来源:
人
- 物种来源:
人
- 免疫类型:
/
- 器官来源:
脑
- 运输方式:
干冰
- 规格:
5 x 10^5 cells/vial
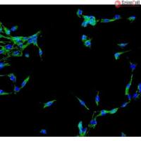
人脑血管周细胞描述:
周细胞是具伸缩性的类似平滑肌细胞的一类细胞,它们覆盖在微脉管的基底面。周细胞是小静脉的主要成分,并普遍存在于毛细血管中。在不同的组织和器官中,周细胞的数量和功能呈现很大的差异。周细胞的三种主要功能是(1)参与中枢神经系统微血管收缩性,(2)内皮细胞活性及(3)巨噬细胞活性的调节。也有证据表明周细胞与血脑屏障的物质转运及血管渗透性的调节有关。病理学研究显示,周细胞与高血压、糖尿病视网膜病变、阿尔海默氏病、多发性硬化和中枢神经系统肿瘤的形成有关。
人脑血管周细胞 (HBVP)提取于人脑组织,原代冻存。每管含有细胞数 >5×10^5 cells/ml,此细胞通过对alpha-SMA抗体荧光免疫方法验证,经测试不含有HIV-1、HBV、HCV、支原体、细菌、酵母和真菌。细胞可以达到15倍增。推荐培养基:周细胞培养基(PM, Cat. No. 1201)。
风险提示:丁香通仅作为第三方平台,为商家信息发布提供平台空间。用户咨询产品时请注意保护个人信息及财产安全,合理判断,谨慎选购商品,商家和用户对交易行为负责。对于医疗器械类产品,请先查证核实企业经营资质和医疗器械产品注册证情况。
文献和实验1. Zhou, Y., Zhang, H., Zheng, B., Ye, L., Zhu, S., Johnson, N.R., Wang, Z., Wei, X., Chen, D., Cao, G., Fu, X., Li, X., Xu, H.Z. & Xiao, J. (2016) Retinoic Acid Induced-Autophagic Flux Inhibits ER-Stress Dependent Apoptosis and Prevents Disruption of Blood-Spinal Cord Barrier after Spinal Cord Injury Int J Biol Sci. 12
2. Navarro, R., Delgado-Wicke, P., Nunez-Prado, N., Compte, M., Blanco-Toribio, A., Nunez, G., Alvarez-Vallina, L. & Sanz, L. (2016) Role of nucleotide-binding oligomerization domain 1 (NOD1) in pericyte-mediated vascular inflammation J Cell Mol Med. 20
3. Gurnik, S., Devraj, K., Macas, J., Yamaji, M., Starke, J., Scholz, A., Sommer, K., Di Tacchio, M., Vutukuri, R., Beck, H., Mittelbronn, M., Foerch, C., Pfeilschifter, W., Liebner, S., Peters, K.G., Plate, K.H. & Reiss, Y. (2016) Angiopoietin-2-induced blood-brain barrier compromise and increased stroke size are rescued by VE-PTP-dependent restoration of Tie2 signaling Acta Neuropathol. 131
4. Yuan, K., Orcholski, M.E., Panaroni, C., Shuffle, E.M., Huang, N.F., Jiang, X., Tian, W., Vladar, E.K., Wang, L., Nicolls, M.R., Wu, J.Y. & de Jesus Perez, V.A. (2015) Activation of the Wnt/Planar Cell Polarity Pathway Is Required for Pericyte Recruitment during Pulmonary Angiogenesis Am J Pathol. 185
5. Yang, W.J., Hu, J., Uemura, A., Tetzlaff, F., Augustin, H.G. & Fischer, A. (2015) Semaphorin-3C signals through Neuropilin-1 and PlexinD1 receptors to inhibit pathological angiogenesis EMBO Mol Med. 7
6. Vanlandewijck, M., Lebouvier, T., Andaloussi Mae, M., Nahar, K., Hornemann, S., Kenkel, D., Cunha, S.I., Lennartsson, J., Boss, A., Heldin, C.H., Keller, A. & Betsholtz, C. (2015) Functional Characterization of Germline Mutations in PDGFB and PDGFRB in Primary Familial Brain Calcification PLoS One. 10
7. Schweller, R.M. & West, J.L. (2015) Encoding Hydrogel Mechanics via Network Cross-Linking Structure ACS Biomater Sci Eng. 1
8. Li, J., Zhou, J., Zhang, D., Song, Y., She, J. & Bai, C. (2015) Bone marrow-derived mesenchymal stem cells enhance autophagy via PI3K/AKT signalling to reduce the severity of ischaemia/reperfusion-induced lung injury J Cell Mol Med. 19
9. Bai, Y., Zhu, X., Chao, J., Zhang, Y., Qian, C., Li, P., Liu, D., Han, B., Zhao, L., Zhang, J., Buch, S., Teng, G., Hu, G. & Yao, H. (2015) Pericytes Contribute to the Disruption of the Cerebral Endothelial Barrier via Increasing VEGF Expression: Implications for Stroke PLoS One. 10
10. Hypoxia-enhanced blood-brain barrier chip recapitulates human barrier function and shuttling of drugs and antibodies,Nat Commun. 2019; 10: 2621.Published online 2019 Jun 13. doi: 10.1038/s41467-019-10588-0
11. Pericyte-like spreading by disseminated cancer cells activates YAP and MRTF for metastatic colonization,Nat Cell Biol. 2018 Aug; 20(8): 966–978.Published online 2018 Jul 23. doi: 10.1038/s41556-018-0138-8











