相关产品推荐更多 >

Rabbit anti-Histone H3(Mono Methyl K36) Recombinant Monoclonal Antibody(S-R211)
¥900
PerCP-Cy5.5 Rat anti-Mouse IgD Antibody(11-26c)
¥2900
Rabbit anti-Phospho-WIPI2(Ser413) Polyclonal Antibody
¥2300
Rabbit anti-CD40 Recombinant Monoclonal Antibody(145-45)
¥2100
Invivo anti-Mouse CTLA-4 (CD152) Monoclonal Antibody (S-R534)
¥1200
万千商家帮你免费找货
0 人在求购买到急需产品
- 详细信息
- 文献和实验
- 技术资料
- 免疫原:
KLH-conjugated synthetic peptide encompassing a sequence within the C-term region of human Ki67. The exact sequence is proprietary.
- 亚型:
-
- 形态:
液态
- 保存条件:
Shipped at 4°C. Upon delivery aliquot and store at -20°C for one year. Avoid freeze/thaw cycles.
- 克隆性:
-
- 标记物:
-
- 适应物种:
Human
- 保质期:
Shipped at 4°C. Upon delivery aliquot and store at -20°C for one year. Avoid freeze/thaw cycles
- 抗原来源:
-
- 目录编号:
-
- 级别:
-
- 库存:
现货
- 供应商:
爱必信(上海)生物科技有限公司
- 宿主:
Rabbit
- 应用范围:
WB 1:500 - 1:1000, IHC 1:50 - 1:100, IHC 1:50 - 1:200
- 浓度:
-
- 靶点:
-
- 抗体英文名:
,Antigen KI-67
- 抗体名:
Ki67抗体
- 规格:
50ul/100ul
| 规格: | 50ul | 产品价格: | ¥1500.0 |
|---|---|---|---|
| 规格: | 100ul | 产品价格: | ¥2300.0 |
| 概述 | |
| 描述 | Rabbit polyclonal antibody to Ki67 |
| 别名 | Ki67抗体;Antigen KI-67 |
| 宿主 | Rabbit |
| 特异性 | Recognizes endogenous levels of Ki67 protein. |
| 反应种属 | Human |
| 应用 | WB 1:500 - 1:1000, IHC 1:50 - 1:100, IHC 1:50 - 1:200 |
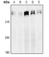
| 分子量 | Detects a band of approximately 358kD Disclaimer note: The observed molecular weight of the protein may vary from the listed predicted molecular weight due to post translational modifications, post translation cleavages, relative charges, and other experimental factors. |
| 免疫原 | KLH-conjugated synthetic peptide encompassing a sequence within the C-term region of human Ki67. The exact sequence is proprietary. |
| 性能 | |
| 纯化方法 | The antibody was purified by immunogen affinity chromatography. |
| 类型 | Polyclonal Antibody |
| 储存/保存方法 | Shipped at 4°C. Upon delivery aliquot and store at -20°C for one year. Avoid freeze/thaw cycles. |
| 靶标 | |
| UniProt | P46013 |
实验结果图:
Western blot analysis of Ki67 expression in HCT116 (A), U87MG (B), HepG2 (C), LO2 (D), SKOVCAR3 (E) whole cell lysates.
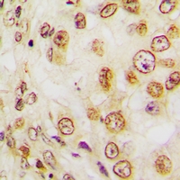
Immunohistochemical analysis of Ki67 staining in human lung cancer formalin fixed paraffin embedded tissue section. The section was pre-treated using heat mediated antigen retrieval with sodium citrate buffer (pH 6.0). The section was then incubated with the antibody at room temperature and detected using an HRP conjugated compact polymer system. DAB was used as the chromogen. The section was then counterstained with haematoxylin and mounted with DPX.
风险提示:丁香通仅作为第三方平台,为商家信息发布提供平台空间。用户咨询产品时请注意保护个人信息及财产安全,合理判断,谨慎选购商品,商家和用户对交易行为负责。对于医疗器械类产品,请先查证核实企业经营资质和医疗器械产品注册证情况。
文献和实验该产品被引用文献
- Metabolic Responses and Pathway Changes of Vero Cells under High-Vitamin B MediumShouzhi Yu, Junyu Yan, Zhaona Yang, Yuxiu Zhao, Hui Wang, Xiaoming Yang
Vaccines. 2022 Oct 25 .
影响因子: 4.961
技术资料暂无技术资料 索取技术资料
文献支持
Rabbit Anti-Ki67 Polyclonal Antibody,Ki67抗体
¥1500 - 2300




