万千商家帮你免费找货
0 人在求购买到急需产品
- 详细信息
- 询价记录
- 文献和实验
- 技术资料
- 提供商:
北京永欣康泰科技发展有限公司
- 服务名称:
Vevo® 2100 超声成像系统
仪器的用途
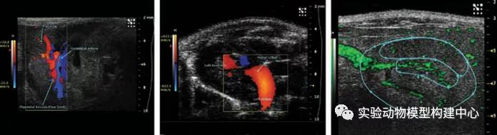
活体成像作为一种技术手段在生物医学特别是转化医学中具有重要的功能并得到越来越广泛的应用。Vevo® 2100 成像系统是第一个带有线性阵列技术和彩色多普勒功能的高频率、高分辨率数字成像平台。Vevo® 2100 成像系统集多项技术突破于一身,其中最突出的是用于小动物成像技术的高频线性阵列技术的开发。
Vevo® 2100 特别在如下领域具有广泛的应用:
心脏成像
血管成像
肿瘤成像
分子成像
Vevo® 2100 可以对36mm的深度进行成像并对33mm深度的范围进行观察(依赖于所使用的阵列/探头),Vevo® 2100所研究的对象主要包括:
小鼠 大鼠 家兔

超声成像:
•优质B-Mode成像:帧频至多可达1000fps,多中心区加强图象的均一性,M型评价运动,应用于心血管系统
•脉冲多普勒量化血流量
•能量多普勒相对量化血流量
•同步模式和指导,使研究更方便和更快
•彩色多普勒显示血流方向,平均速度,确定B型超声无法看到的小血管
•MicroMarker对比成像——用于获得相对灌注&靶向分子数据
•三维成像,回放,重建与体积分析
分析与测量软件:
•随附的心脏分析软件包:
•心电图触发/呼吸门控
•VevoStrain 分析评估全心&节段性心肌功能
•三维体积分析
•数据处理:通过一个灵活的开放式系统,分析,注释和存档图像及研究。追踪成像和测量数据,同时比较研究。Vevo工作站和软件支持业界DICOM标准3.0 ,提供快速的分析和产生研究数据
实验室可构建的动物模型 :
| 构建动物模型名称 | 适用范围 |
| 1、裸鼠肿瘤(皮下、原位)动物实验 | 胰腺、肝、胃原位接种、皮下接种 |
| 2、兔 腹主动脉、颈动脉硬化(球囊法)模型 | 稳定制备 颈动脉、腹主动脉硬化模型 |
| 3、心肌缺血、大、小鼠、兔、小型猪心电图、心脏超声、病理评价 | 心肌缺血及再灌注、心梗、血压测定(麻醉及清醒状态下)等 |
| 4、Ⅰ、Ⅱ型糖尿病大小鼠、兔动物模型 | 高脂诱导+STZ制备糖尿病模型及糖尿病并发症研究,药效评价 |
| 5、骨质疏松大鼠、小鼠实验(去势) | 老年性骨质疏松相关疾病临床前药效评价 |
| 6、股骨头坏死、骨缺损、鼠、兔模型 | 镇静、镇痛动物模型,行为学模型制作及药物筛选 |
| 7、Apoe小鼠动脉粥样硬化整体实验 | 高脂饲养、取材、病理实验、大体染色等 |
| 8、急性粒细胞白血病动物实验 | |
| 9、肾结石快速成模大鼠模型 | 乙二醇致大鼠肾脏草酸钙结石模型 |
| 10、眼科大小鼠模型、视网膜铺片、 玻璃体腔内注射 |
眼科疾病模型及相关检测方法 |
| 11、脑缺血、帕金森、脑出血动物模型 | 脑病实验、颅内注射、技术成熟稳定 |
| 12、肾脏缺血、肾移植、肾衰动物模型 | 肾脏缺血、肾移植、肾衰竭实验及检测平台 |
检测平台
| 服务项目 | 服务承诺 | 服务周期 | 样本种类 |
| 病理切片、免疫组化 | 染色结果照片 | 2-3周 | 组织 |
| Western blotting | 胶片 | 1-2周 | 蛋白样本或组织 |
| 流式细胞服务 | 散点图、分析数据、设备信息等 | 1-2周 | 血样、骨髓等 |
| 细胞凋亡检测 | 凋亡图、数据分析 | 细胞 | |
| RT-PCR | 扩增图 | 1-2周 | RNA或组织 |
| 血压监测(无创式) | 实时血压数据 | 大、小鼠 |
备注:以上只是常规制备的动物模型种类,如果有其他动物模型制备的需求,也可以按照方案进行定制
永欣康泰坚持:
上门取样、客服专人跟进项目进度、随时汇报实验进展、为您有效降低科研成本、缩短实验周期。
<-----扫码关注我们秉承工匠精神 保持严谨态度、专业技术
拓宽思路和眼界 积极探索新的模型构建方法
不断积累经验 完成客户的每一项托付
风险提示:丁香通仅作为第三方平台,为商家信息发布提供平台空间。用户咨询产品时请注意保护个人信息及财产安全,合理判断,谨慎选购商品,商家和用户对交易行为负责。对于医疗器械类产品,请先查证核实企业经营资质和医疗器械产品注册证情况。
- 作者
- 内容
- 询问日期
文献和实验









