万千商家帮你免费找货
0 人在求购买到急需产品
- 详细信息
- 文献和实验
- 技术资料
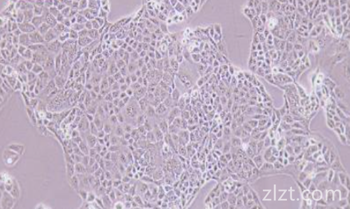
- 细胞类型:
细胞系
- 供应商:
智立中特(武汉)生物科技有限公司
- 库存:
100
- 英文名:
MKN-7
- 年限:
长期
- 器官来源:
人
- 细胞形态:
上皮细胞样贴壁生长
- 物种来源:
人胃癌
- 组织来源:
食管、胃、肠、肝、胆
- 规格:
1×10⁶cells/T25培养瓶
细胞介绍
MKN-7/人胃癌细胞和MKN28遗传背景相似
细胞特性
1)来源:人胃癌
2)形态:上皮细胞样贴壁生长
3)含量:>1x106细胞数
4)规格:T25瓶或者1mL冻存管包装
5)用途:仅供科研使用。
运输和保存
干冰运输及复苏好存活细胞
(1)1mL冻存管包装干冰运输,收到后-80度冰箱保存过夜后转入液氮或直接复苏,若发现干冰已挥发干净、冻存管瓶盖脱落、破损及细胞有污染,请立即与我们联系。
(2)T25瓶复苏的存活细胞常温发货,收到后按照细胞接收后的处理方法操作。
细胞接收后的处理
1)收到细胞后,75%酒精消毒瓶壁将T25瓶置于37℃培养箱放置约2-3h,若发现培养瓶破损、有液溢出及细胞有污染,请拍照后及时联系我们。
2)请在4或5X显微镜下确认细胞状态,同时给刚收到的细胞拍照(10×,20×)各2-3张以及培养瓶外观照片一张留存,作为售后时收到时细胞状态的依据。
3)贴壁细胞:细胞在37℃培养箱中放置2-3h,显微镜下观察细胞的生长和贴壁情况,有些贴壁细胞在快递运送过程中会因振动脱落和脱落后成团的情况。若镜下观察细胞的生长密度若在60%以下,可去除培养瓶中灌液培养基(若有未贴壁的细胞需要离心回收,重悬打入到原培养瓶中),加入新配制的完全培养基6-8mL,放到细胞培养箱中继续培养。若细胞生长密度达70%-80%以上,可以对细胞进行传代处理。传代过程中,若因运输振动脱落的细胞需要离心回收。
4)备注:运输用的培养基(灌液培养基)不能再用来培养细胞,请换用按照说明书细胞培养条件新配制的完全培养基来培养细胞。收到细胞后第一次传代建议T25培养瓶1:2传代。
细胞冻存及复苏的基本原则是“慢冻快融”,这样可以最大限度的保存细胞活力。目前细胞冻存多用甘油或二甲基亚砜(DMSO)作为保护剂,这两种物质能提高细胞膜对水的通透性;缓慢冷冻可使细胞内的水分渗出细胞外,减少细胞内冰晶的形成,从而减少冰晶对细胞的物理损伤。复苏细胞采用快速融化的方法可以保证细胞外结晶在很短的时间内融化,避免由于缓慢融化使水分渗入细胞内形成胞内再结晶对细胞造成损伤。请按照智立中特(武汉)生物科技有限公司提供方法操作避免不必要的麻烦!
细胞冻存操作要点:
1、细胞冻存前12~24h,换新鲜培养基,使细胞一直处于对数生长期。
2、待细胞长至80%汇合时胰酶消化,用新鲜培养基吹打后制成细胞悬液,1000rpm离心10min。悬浮细胞则直接离心。
3、弃上清,加入冻存液重悬细胞沉淀,调整细胞浓度为3×106~1×107cells/mL。将细胞悬液分至冻存管内,每管1~1.5mL,拧紧盖子。在管壁上做好标记,标明细胞名称、冻存日期等。(细胞冻存液配方可为胎牛血清:培养基:DMSO=4:6:1或胎牛血清:培养基:DMSO=1:9:1或胎牛血清:DMSO=9:1,可根据各实验室实际条件调整)
4、按下列顺序依次降温:室温→4℃20min→-20℃30min→-80℃过夜→液氮保存。也可使用程序降温盒更为方便,细胞冻存管放入程序降温盒内可直接放入-80℃过夜,再转至液氮罐内。注意程序降温盒内异丙醇的量必须高于最低刻度线;冻存5次后异丙醇需要跟换一次,以免影响冻存效果。
5、细胞冻存后应取出一管复苏,检测细胞的存活率。理论上细胞可在液氮内长期保存,为稳妥起见可在细胞冻存半年后复苏培养,观察细胞生长情况,再继续冻存。
细胞复苏操作要点:
1、将培养基在37℃水浴锅预热;准备一个15mL无菌的离心管,加入8mL预热培养基。
2、将冻存细胞从液氮罐中取出,快速放入37℃水浴锅中复温(可准备一洁净的烧杯,装满37℃的水,细胞冻存管取出后迅速放入烧杯内,再逐步转移到水浴锅中)。轻轻晃动冻存管,使细胞能在1~2min内完全解冻,使细胞能尽快通过最易受损的温度段(-5~0℃)。注意冻存管管口不能没入水中,避免引起污染。
3、用75%酒精擦拭冻存管后再置于超净台内,将管内细胞转移至准备好的离心管内,轻轻吹打液体,使细胞均匀分散,降低DMSO浓度,吹打时避免产生气泡。用新鲜培养基洗管壁2次,均转移至离心管内。
4、800rpm离心5min,弃上清,加入新鲜的培养基,吹打制成细胞悬液。
5、将细胞悬液转移至T25细胞瓶内,补加适量的培养基,轻轻晃动细胞瓶使细胞分布均匀,放入温箱内培养。
6、第二天观察细胞贴壁生长情况,换新鲜培养基以去除死细胞。继续培养,待细胞长至80~90%汇合时正常传代。一般刚复苏的细胞需经过2~3次传代,细胞活力恢复后才能进行后续的实验。
对DMSO不敏感的细胞在复苏时也可不离心,减少操作步骤,也可降低污染的几率。将解冻的细胞悬液直接转移至T25细胞瓶内,补加新鲜培养基,放入温箱内培养。但培养12~20h后必须换新鲜的培养基,移除死细胞。
风险提示:丁香通仅作为第三方平台,为商家信息发布提供平台空间。用户咨询产品时请注意保护个人信息及财产安全,合理判断,谨慎选购商品,商家和用户对交易行为负责。对于医疗器械类产品,请先查证核实企业经营资质和医疗器械产品注册证情况。
文献和实验细胞所需的时间就比夏天要长的多。SGC-7901胃癌细胞的消化传代大致步骤同上,但胰酶作用的时候应放在培养箱中,夏天0.1%的胰酶消化2分钟左右就够了,但冬天差不多要8分钟左右MDA-MB-231乳腺癌细胞消化传代基本同MKN-28,只是消化时间可稍长一点,1分钟左右。
成纤维细胞迁移 图三 肝癌细胞分泌的外泌体促进肺部转移 大连医科大学宋波课题组和关宏伟课题组等在《Cancer Letters》上发表文章[2],阐述了阿霉素耐药的胃癌细胞可以通过外泌体向不耐药的胃癌细胞传递 miR-501,引起胃癌细胞中 BLID 基因下调和使下游 caspase 通路失活,从而促进胃癌细胞增殖、迁移和侵袭,同时抑制细胞凋亡和增强胃癌细胞的耐药性。 图四 耐药株将外泌体 miR-501 传递给非耐药株 图五 耐药株外泌体能促进非耐药株增殖、迁移和侵袭 二、神经系统细胞来源外泌
a look from the following website just by clicking "Tyrosine Phosphorylation and Dimerization" http://www.sciencedirect.com/science?_ob=ArticleURL&_udi=B6WSN-43F85YV-2&_user=1111158&_coverDate=06%2F29%2F2001&_rdoc=1&_fmt=full&_orig=search
技术资料暂无技术资料 索取技术资料










