相关产品推荐更多 >
万千商家帮你免费找货
0 人在求购买到急需产品
- 详细信息
- 文献和实验
- 技术资料
- 免疫原:
Carrier-protein conjugated synthetic peptide encompassing a sequence within the N-terminus region of human Bax. The exact sequence is proprietary.
- 亚型:
IgG
- 形态:
Liquid
- 保存条件:
Store as concentrated solution. Centrifuge briefly prior to opening vial. For short-term storage (1-2 weeks), store at 4ºC. For long-term storage, aliquot and store at -20ºC or below. Avoid multiple freeze-thaw cycles.
- 克隆性:
Monoclonal
- 标记物:
Unconjugated
- 适应物种:
Human, Mouse, Rat
- 保质期:
12 months from the shipping date of the product.
- 抗原来源:
Human
- 目录编号:
GTX635715
- 级别:
Primary Antibodies
- 库存:
Available
- 供应商:
GeneTex
- 宿主:
Rabbit
- 应用范围:
WB, IHC-P
- 浓度:
1 mg/ml (Please refer to the vial label for the specific concentration.)
- 靶点:
Bax
- 抗体英文名:
Bax antibody [HL236]
- 抗体名:
Bax 抗体 [HL236]
- 规格:
100 μl/25 μl
| 规格: | 100 μl | 产品价格: | ¥4000.0 |
|---|---|---|---|
| 规格: | 25 μl | 产品价格: | ¥1700.0 |
Wild-type (WT) and Bax knockout (KO) Expi293 cell extracts (30 μg) were separated by 15% SDS-PAGE, and the membrane was blotted with Bax antibody [HL236] (GTX635715) diluted at 1:1000. The HRP-conjugated anti-rabbit IgG antibody (GTX213110-01) was used to detect the primary antibody.
Wild-type (WT) and NME4 knockout (KO) HeLa cell extracts (30 μg) were separated by 15% SDS-PAGE, and the membrane was blotted with Bax antibody [HL236] (GTX635715) diluted at 1:1000. The HRP-conjugated anti-rabbit IgG antibody (GTX213110-01) was used to detect the primary antibody.
Various tissue extracts (50 μg) were separated by 12% SDS-PAGE, and the membrane was blotted with Bax antibody [HL236] (GTX635715) diluted at 1:1000. The HRP-conjugated anti-rabbit IgG antibody (GTX213110-01) was used to detect the primary antibody.
Various whole cell extracts (30 μg) were separated by 15% SDS-PAGE, and the membrane was blotted with Bax antibody [HL236] (GTX635715) diluted at 1:1000. The HRP-conjugated anti-rabbit IgG antibody (GTX213110-01) was used to detect the primary antibody. Corresponding RNA expression data for the same cell lines are based on Human Protein Atlas program.
Bax antibody [HL236] detects Bax protein at cytoplasm by immunohistochemical analysis.
Sample: Paraffin-embedded mouse kidney.
Bax stained by Bax antibody [HL236] (GTX635715) diluted at 1:50.
Antigen Retrieval: Citrate buffer, pH 6.0, 15 min
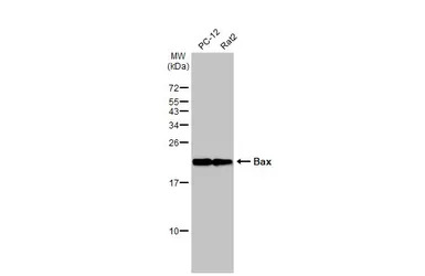
Various whole cell extracts (30 μg) were separated by 15% SDS-PAGE, and the membrane was blotted with Bax antibody [HL236] (GTX635715) diluted at 1:1000. The HRP-conjugated anti-rabbit IgG antibody (GTX213110-01) was used to detect the primary antibody.
Raw264.7 whole cell extract (30 μg) was separated by 12% SDS-PAGE, and the membrane was blotted with Bax antibody [HL236] (GTX635715) diluted at 1:1000. The HRP-conjugated anti-rabbit IgG antibody (GTX213110-01) was used to detect the primary antibody.
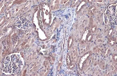
Bax antibody [HL236] detects Bax protein by immunohistochemical analysis.
Sample: Paraffin-embedded rat tissues.
Bax stained by Bax antibody [HL236] (GTX635715) diluted at 1:100.
Antigen Retrieval: Citrate buffer, pH 6.0, 15 min
Bax antibody [HL236] detects Bax protein by immunohistochemical analysis.
Sample: Paraffin-embedded mouse tissues.
Bax stained by Bax antibody [HL236] (GTX635715) diluted at 1:100.
Antigen Retrieval: Citrate buffer, pH 6.0, 15 min
风险提示:丁香通仅作为第三方平台,为商家信息发布提供平台空间。用户咨询产品时请注意保护个人信息及财产安全,合理判断,谨慎选购商品,商家和用户对交易行为负责。对于医疗器械类产品,请先查证核实企业经营资质和医疗器械产品注册证情况。
文献和实验Huang YY et al., BMC Vet Res 2020 (PMID:32532319)
Li Y et al., Transl Lung Cancer Res 2021 (PMID:34012797)
Qi Y et al., Cancer Cell Int 2021 (PMID:33494783)
人凋亡因子BAX ( BAX )ELISA 试剂盒 ( 用于血清、血浆、细胞培养上清液和尿液生物体液内 ) 原理 本实验采用双抗体夹心 ABC-ELISA 法。用抗人 BAX 单抗包被于酶标板上,标准品和样品中的 BAX与单抗结合,加入生物素化的抗人 BAX ,形成免疫复合物连接在板上,辣根过氧化物酶标记的 Streptavidin 与生物素结合,加入底物工作液显蓝色,最后加终止液硫酸
上海西唐生物科技有限公司 021-55229872, 65333639 www.westang.com 大鼠凋亡因子 BAX(BAX)ELISA 试剂盒 ( 用于血清、血浆、细胞培养上清液和尿液生物体液内 ) 原理 本实验采用双抗体夹心 ABC-ELISA 法。用抗大鼠 BAX 单抗包被于酶标板上,标准品和样品中的 BAX 与单抗结合,加入生物素化的抗大鼠 BAX ,形成免疫复合物连接在板上,辣根
上海西唐生物科技有限公司 021-55229872, 65333639 www.westang.com 豚鼠凋亡因子BAX ( BAX )ELISA 试剂盒 ( 用于血清、血浆、细胞培养上清液和尿液生物体液内 ) 原理 本实验采用双抗体夹心 ABC-ELISA 法。用抗豚鼠 BAX 单抗包被于酶标板上,标准品和样品中的 BAX与单抗结合,加入生物素化的抗豚鼠





![Daxx antibody [DAXX-01]](https://img1.dxycdn.com/2022/0328/943/5542020520740400453-14.jpg!wh200)


![Estrogen Receptor alpha antibody [8H9A10]](https://img1.dxycdn.com/2022/0328/328/5725425331557500453-14.jpg!wh200)



