Cell Metab项目文章 | Lip-MS+转录组拿下代谢顶刊!同济大学团队发现新型抗炎代谢物——同康酸!
2025-12-11 13:51点击次数:21
关键词:代谢组学、Lip-MS、转录组
当身体遭遇感染或损伤,免疫系统会拉起警报,引发炎症。这本是一场保护战,但若失控,便会反噬自身,酿成脓毒症、代谢疾病等多种重症。科学家们一直想知道,在这场激烈的“炎症风暴”中,我们的身体是否也暗藏着自我刹车的“冷静”信号?
近日,同济大学附属杨浦医院一项发表于顶刊Cell Metabolism(IF 30.9)的题为“Homocysitaconate controls inflammation through reshaping methionine metabolism and N-homocysteinylation”研究,揭开了这个谜题的关键一角。研究者们在发炎的巨噬细胞中,捕捉到一个神秘代谢物的身影——它在炎症中飙升上百倍!通过代谢组学、Lip-MS和转录组等技术,这个信号分子的身份被成功破译:它是由两种已知分子——“促炎”的同型半胱氨酸 与“抗炎”的衣康酸,在特定酶催化下巧妙结合而成的新物质,被命名为同康酸。它究竟是谁?它从何而来?又将去向何方,行使怎样的“维稳”使命?让我们一起走进这个细胞内部上演的精彩“无间道”故事。中科新生命为该研究提供了 Lip-MS 检测和转录组检测服务。
研究内容 内容1:发现与鉴定炎症新代谢物——同康酸(Hci); 内容2:验证Hci的强效抗炎功能; 内容3:锁定MARS为Hci的关键作用靶点; 内容4:阐明MARS通过N-同型半胱氨酸化激活NLRP3; 内容5:揭示同康酸作为MARS抑制剂的分子机制; 内容6:证明Hci的治疗潜力及NLRP3靶向性; 内容7:发现AHCY是合成同康酸的NAD+依赖酶。
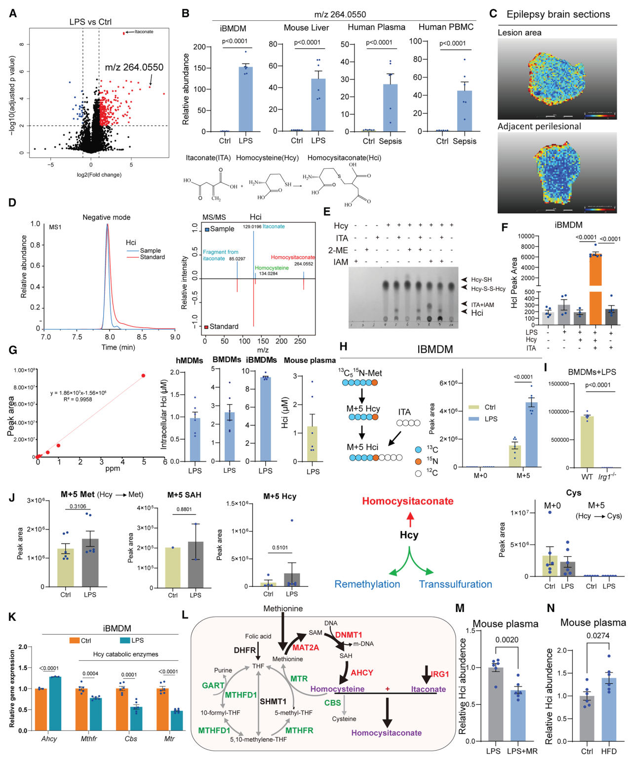
研究结果 1. 发现与鉴定炎症新代谢物——同康酸 研究人员通过代谢组学技术对比了静息和炎症状态下的巨噬细胞,发现一个质荷比m/z=264.0550的未知分子在炎症刺激后急剧升高。为了揭开其身份,运用高分辨质谱分析了其碎片模式,推测它可能是抗炎的衣康酸与促炎的同型半胱氨酸的加成产物。随后,在体外将两种分子混合,通过薄层色谱和硫醇检测实验证实了两者能自发反应。最终,通过与该化合物的化学合成标准品进行比对,确凿地鉴定出该炎症响应分子为同康酸(Hci)。后续实验表明,其合成依赖于甲硫氨酸代谢通路,并在缺乏衣康酸合成关键基因Irg1的细胞中无法生成,揭示了其来源和炎症特异性。
图1 发现衣康酸与同型半胱氨酸的加合物(m/z=264.0550)为炎症反应性代谢物
2. 验证Hci的强效抗炎功能
在鉴定出Hci后,一个核心问题随之而来:它有何功能?研究人员通过RNA-seq转录组学发现,该分子能显著抑制一系列促炎基因的表达。在多种巨噬细胞和小鼠脓毒症模型中,他们证实,仅需微摩尔浓度的外源性Hci就能强力抑制IL-1β、IL-6和TNF-α等关键炎症因子的产生,并显著提高脓毒症小鼠的生存率。尤为重要的是,他们发现其抗炎作用不依赖于衣康酸经典的KEAP1-NRF2通路,且起效更快、所需浓度更低,这强烈暗示Hci 拥有一个独特且全新的作用机制,使其成为一个极具潜力的抗炎治疗候选分子。
图2 确认Hci是强效抗炎代谢物
3. 锁定MARS为Hci的关键作用靶点
为了揭示Hci的作用靶点,研究人员采用了Lip-MS靶点挖掘蛋白组技术。该技术能像“分子雷达”一样,探测到小分子结合后引起的蛋白质构象变化。在众多候选蛋白中,甲硫氨酰-tRNA合成酶(MARS) 脱颖而出,因为它是与同型半胱氨酸代谢直接相关的酶。功能实验证实,只有当MARS被敲低时,Hci的抗炎效果才会消失。随后,通过生物物理方法(如BLI和MST)直接证明了二者之间的高亲和力结合。此外,还发现MARS本身在炎症中被显著诱导表达,其过表达会加剧炎症,而敲除则能缓解炎症,从而确立了MARS是一个此前未被认识的促炎蛋白。
图3 基于Lip-SMAP识别MARS为促炎蛋白,并且是Hci的真正靶点
4. 阐明MARS通过N-同型半胱氨酸化激活NLRP3
接下来,研究深入探索了MARS的促炎机制。MARS的一个“副业”是利用同型半胱氨酸生成同型半胱氨酸硫内酯(HTL)。通过稳定同位素示踪,证实炎症确实促进了MARS驱动的HTL合成。HTL是一种高反应性代谢物,能对蛋白质进行N-同型半胱氨酸化修饰。利用特异性的抗体,研究人员发现这种修饰在炎症条件下普遍增加。进一步的修饰组学分析惊人地发现,炎症小体的核心传感器NLRP3是该修饰的关键靶点。他们证实,N-同型半胱氨酸化会阻碍NLRP3的泛素化,从而稳定其蛋白水平并促进其激活。通过构建位点特异性突变体,他们最终锁定了NLRP3上负责其活化的关键修饰位点。
图4 MARS诱导的N-同型半胱氨酸化激活了NLRP3
5. 揭示Hci作为MARS抑制剂的分子机制
此部分揭示了整个调控回路的核心环节:Hci如何“刹车”。分子对接模拟显示,Hci在结构上完美模拟了MARS的天然底物(同型半胱氨酸和甲硫氨酸),并直接结合在其催化结构域的D312位点上。体外酶活实验证明,它能以竞争性抑制的方式,剂量依赖性地抑制MARS生成HTL的活性。在细胞和小鼠模型中,Hci处理有效降低了HTL水平和全局性的蛋白质N-同型半胱氨酸化。特别有趣的是,研究人员观察到一个“代谢钟”现象:在炎症早期,MARS活性和N-同型半胱氨酸化水平升高,驱动炎症;而在后期,Hci逐渐积累,反馈性地抑制MARS,促使炎症消退,从而精细地维持了免疫稳态。
图5 Hci是一种MARS的抑制剂,可以抑制其N-同型半胱氨酸化
6. 证明Hci的治疗潜力及NLRP3靶向性
在明确了分子机制后,研究进入转化医学阶段。研究人员系统评估了Hci的药代动力学特性,并在三种不同的炎症疾病模型中验证其疗效。在LPS诱导的脓毒症、高脂饮食诱导的代谢炎症和DSS诱导的结肠炎模型中,Hci治疗均能显著减轻组织损伤、降低炎症因子水平,并伴随者NLRP3的N-同型半胱氨酸化水平下降和泛素化水平上升。更重要的是,在构建的基因修饰细胞模型中,也可证实Hci的抑制作用完全依赖于其靶点MARS的D312位点以及NLRP3上的特定修饰位点,为其作用的特异性提供了最终证据。
图6 多种炎症模型下证明Hci通过抑制NLRP3去泛素化从而获得治疗效果
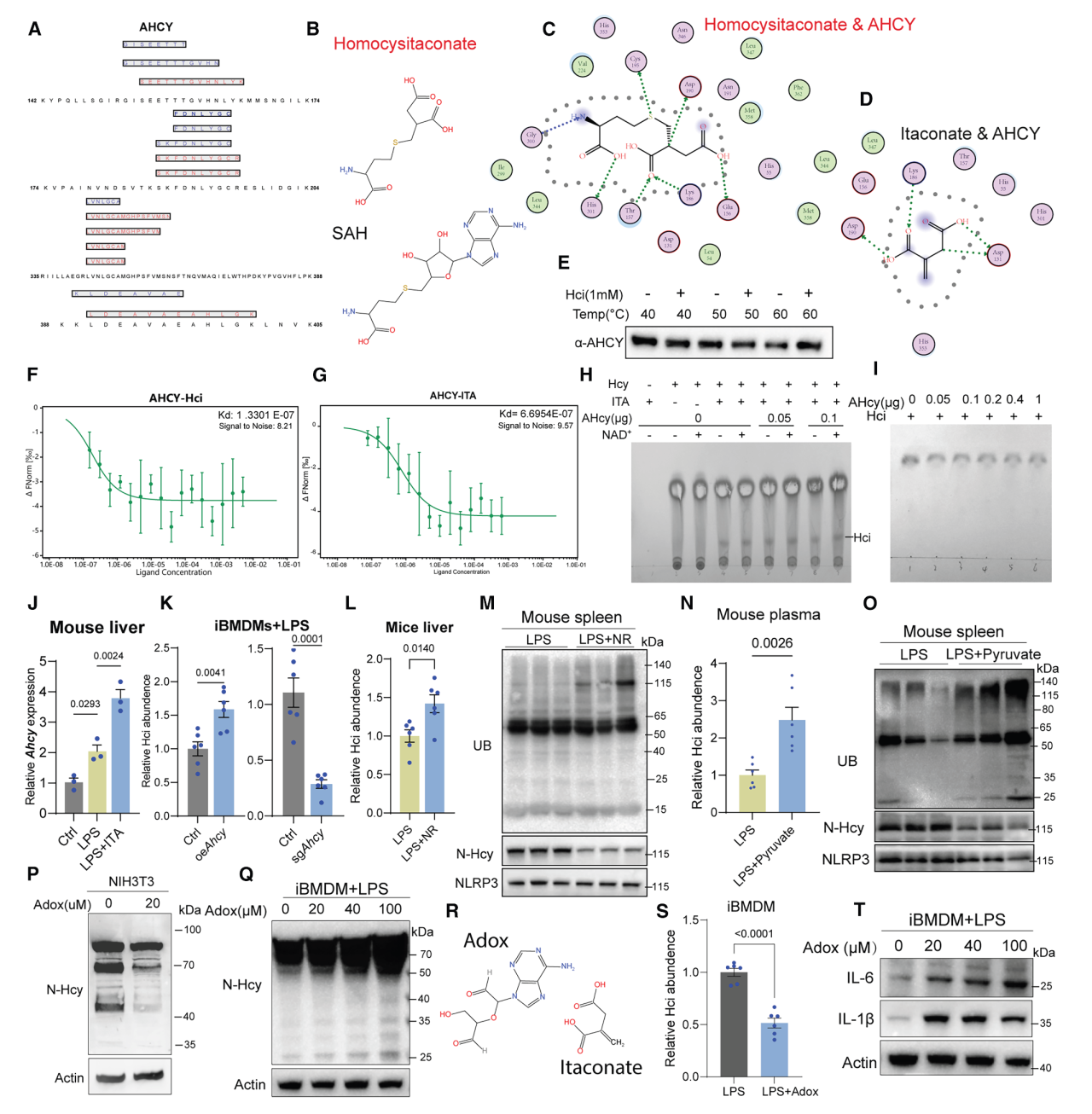
7. 发现AHCY是合成Hci的NAD+依赖酶
最后一个关键问题是:细胞如何精准地合成Hci?对LiP-SMap数据的再次挖掘指出,代谢同型半胱氨酸的酶AHCY可能与Hci存在互作。体外实验证实,纯化的AHCY蛋白能够在NAD+存在的条件下,高效催化同型半胱氨酸与衣康酸结合生成Hci,反之也能催化其分解。遗传学实验也证明,操纵AHCY的表达水平可直接调控细胞内Hci的丰度。基于此,研究人员尝试通过补充NAD+前体(烟酰胺核糖,维生素B3衍生物)或丙酮酸来“助推”内源性合成,成功地在小鼠体内提升了Hci水平,并实现了抗炎效果。这一发现不仅解释了该代谢物的合成路径,更开辟了通过营养干预或代谢调控来治疗炎症性疾病的新途径。
图7 AHCY作为NAD+依赖性Hci催化酶的鉴定
总结
该研究通过代谢组学在炎症巨噬中发现并鉴定了一个由衣康酸与同型半胱氨酸加成而成的新代谢物——同康酸。功能实验证实其具有显著抗炎活性。利用Lip-MS靶点挖掘蛋白组技术等方法,锁定甲硫氨酰-tRNA合成酶为其直接作用靶点。机制上,它通过抑制MARS酶活,阻断其催化的N-同型半胱氨酸化修饰,从而促进NLRP3炎症小体泛素化降解。研究者进一步揭示了其合成酶为AHCY,并在脓毒症、结肠炎等多种小鼠模型中验证了其治疗潜力,为代谢干预炎症提供了新靶点。
研究思路图
左图(早期促炎阶段):同型半胱氨酸(烈日炎炎)被MARS(日晷晷针)感知,将N-同型半胱氨酸化修饰(投影)投射至NLRP3(日晷盘面)从而激活炎症。右图(晚期抗炎阶段):由同型半胱氨酸(日光)与衣康酸(水面)经AHCY(冷空气)催化合成的同康酸(雨滴)逐渐累积,同康酸通过竞争性反馈抑制MARS,使投影(N-同型半胱氨酸化)逐渐消隐,抑制NLRP3活化——最终发挥抗炎效应。
通讯作者研究经验心得分享
梅馨予老师指出:“同康酸的发现为炎症及高血同相关疾病的管理带来了代谢时序调控思路与临床诊疗新策略。本研究还革新了对同型半胱氨酸病理生理功能的传统认知。同型半胱氨酸不仅是传统意义上的“有害”代谢物,还具有重要的“有益”生理功能。作为合成具有抗炎功能的同康酸所必需的前体物质,其介导的早期N-同型半胱氨酸化与后期生成的同康酸在时序上协同作用,共同构成一个精细的“免疫代谢时钟”,动态维持着机体的免疫稳态。”
中科优品推荐 【中科新生命】以蛋白质组、修饰组、代谢及脂质组等质谱服务为核心,并延伸打造微生物、转录组、时空多组学服务,已搭建完整的创新型多组学平台,为您的研究保驾护航!
关于中科新生命
上海中科新生命生物科技有限公司(APTBIO)创立于 2004 年,由原中国科学院上海生命科学研究院蛋白质组研究中心孵化而来,是国内质谱多组学应用领域的开拓者。公司以 “AI + 质谱多组学” 双核驱动创新,构建智能化组学生态。拥有自主知识产权的质谱检测平台与 AI 大数据分析系统,聚焦科技服务、生物医药及大健康消费三大领域,为全球科研机构、医院、药企提供从基础研究到临床转化的一站式解决方案。融合多组学技术与人工智能,围绕生物标志物发掘、药物靶点筛选及个性化诊疗等方向,构建具有国际竞争力的组学数据库与算法模型,推动转化医学进程,加速创新药物研发,成为推动生命科学数字化升级的核心引领者。

本周
本月
本年
LetPub发布最新SCI影响因子查询及期刊投稿分析系统
ELISpot试剂盒限时特惠!一口价低至500元,加赠免费读板服务
草甘膦(glyphosate)酶联免疫分析(ELISA)试剂盒使用说明书
应用gentleMACS™灌流技术从脂肪肝小鼠模型高效分离肝细胞与非实质细胞
单个细胞也能提取核酸?超全干货教你微量样本发高分(含完整电子版宝典资料))
链脲佐菌素 (Streptozotocin,STZ)-糖尿病动物模型造模
LetPub完整SCI影响因子、期刊分区查询系统
研究思路 | 多组学专题——如何进行转录组+蛋白组关联分析?
Elabscience® 从原料到标记,打造属于中国自己的流式抗体品牌
淋巴细胞百分比偏低原因解析
- 促销公告
- 更多 ›


