疾病模型|一文了解2型糖尿病(T2DM)动物模型的常用造模方法!
导语:
2型糖尿病以持续高血糖、高胰岛素血症及胰岛素抵抗为特征,临床表现典型“三多一少”症状,但其病因病机却至今尚未完全阐明,因此建立可靠的、能较好地模拟2型糖尿病的动物模型对其发病机制、防治及药物开发具有重要意义。
2型糖尿病(type 2 diabetes mellitus,T2DM)是最常见的糖尿病类型,由于多发于成年,又称成人发病型糖尿病。该病由多种病因导致体内胰岛素分泌不足或者人体不能有效利用胰岛素,从而出现血糖水平持续升高,在高血糖的体内环境中,大血管、微血管、神经等都会发生病变,进而危害心脏、肾脏、眼睛等器官。

图片来源于【1】
基础研究中应用的2型DCM动物模型多样,其中诱发性模型、自发性模型最为常见。
诱发性模型
目前,在高糖高脂饲料喂养的基础上进行链脲佐菌素(STZ)腹腔注射是建立2型糖尿病动物模型常见而成熟的方法,具有操作简单、短周期、性价比高等优点。 造模原理:先给动物喂饲高糖高脂食物,诱发胰岛素抵抗,再腹腔注射小剂量STZ,造成胰岛β细胞轻度损伤,诱发胰岛素代偿性分泌障碍,使动物产生高血糖。
造模方法:
01 6周龄C57小鼠喂饲高糖高脂饲料4-8w。

普通饲料饲养(A)和高糖高脂饲养(B)小鼠在体表特征上的比较;图片来源于艾菱菲生物
02 4-8w后,小鼠体重出现明显上升,再腹腔注射STZ连续低剂量注射5天。

注射不同剂量STZ对T2D小鼠成模率(A)和死亡率(B)的影响;图片来源于【2】
03 注射完成后,每隔3天检测一次血糖,当空腹血糖≥11moL/L,证明模型成功。(如果血糖没有达到标准空腹血糖,可以再连续低剂量注射STZ。)

图片来源于艾菱菲

小鼠的脂肪组织和肝脏组织HE染色;图片来源于【2】
注意事项:STZ多次低剂量注射比单次高剂量更安全,死亡率低,成模率更高。自发性模型
Ⅱ型糖尿病(T2D)的小鼠模型众多,但是没有某种单一的糖尿病小鼠模型能够概括人类糖尿病的所有特征或并发症。纯合的Lep ob突变小鼠(ob/ob)和Lepr db突变小鼠(db/db)是最早的糖尿病小鼠模型,目前仍然是糖尿病研究的热门选择。
db/db小鼠:
db/db小鼠携带有Leptin基因的突变, 从而表现出Ⅱ型糖尿病的症状。小鼠大约在3-4周龄时肉眼可见肥胖明显,10-14日龄血浆胰岛素开始升高,4-8周龄血糖升高,小鼠日常出现为多食、烦渴和多尿症状。 通常用的db/db小鼠有两种遗传背景选择。一种是 C57BL/6J (简称B6), 一种是C57BLKS/J(简称BKS)。两种背景的小鼠都在4周开始出现高血糖和高胰岛素。但B6背景的突变小鼠会随后产生胰岛β细胞的代偿性增生, 并且在18至20个月的寿命期间存在持续的高胰岛素血症。伤口愈合延迟,代谢效率增加。而在BKS背景下, 小鼠的高血糖表型不能恢复, 所以在检测降血糖药物时, 使用 BKS背景的db/db更为合适。
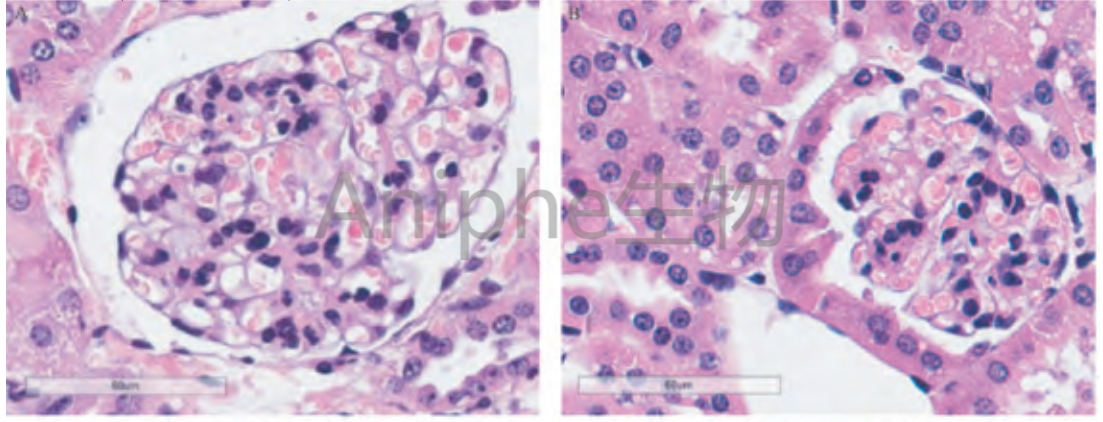
8 周龄 db /db 小鼠与 db /m 小鼠肾组织病理变化;图片来源于【3】
ob/ob小鼠:
ob/ob小鼠是瘦素(Leptin, Lep)基因纯合突变的小鼠,是肥胖高血糖小鼠,由于其肥胖(obese)表型而称为ob小鼠。早期即自发产生高血糖、糖尿和高胰岛素血症,非禁食状态下平均血糖水平可达16.67mmol/L。小鼠大约在4周龄时发生轻度肥胖,表现出高胰岛素血症和糖耐量受损,4周之后体重迅速增加,体重可达野生型小鼠3倍。除了肥胖,突变小鼠还表现出食欲过盛、高血糖症的糖尿病样综合征、葡萄糖不耐受、血浆胰岛素升高、生育力低下、伤口愈合受损以及垂体和肾上腺的激素分泌增加等症状。血糖12周以前略高于对照组,之后恢复正常,属于早期高血糖模型。
虽然两种小鼠的发病机制虽然都和瘦素相关,但是重要表型具有较大差别。

图片来源于艾菱菲生物
ZDF 大鼠:
是被广泛认可的先天遗传性2型糖尿病和肥胖病的动物模型,来源于Zucker肥胖大鼠(Zucker fatty rats, ZF),ZDF大鼠没有ZF大鼠肥胖,但具有更严重的胰岛素抵抗和β细胞凋亡。缺点:肥胖单基因模型是在瘦素信号传递方面存在缺陷的,瘦素会诱发饱腹感。因此,在这些动物中缺乏功能性瘦素会导致暴饮暴食和肥胖。
OLETF大鼠:
轻度肥胖、高胰岛素血症、高三酰甘油血症。14周大鼠已存在胰岛素抵抗,体内和腹内脂肪重量增加,同时存在三酰甘油和胆固醇的增高。24周发病率可达到100%。
参考资料:
[1]https://doi.org/10.1038/s41574-023-00818-3
[2]左心真,王蒙蒙,董晓.2型糖尿病小鼠模型的建立[J].青岛农业大学学报(自然科学版),2022,39(04):259-264.
[3] 王松月,依香叫,李金诚等.自发性2型糖尿病模型db/db小鼠生物学特性研究[J].中国中医基础医学杂志,2019,25(07):909-912.DOI:10.19945/j.cnki.issn.1006-3250.2019.07.019.
[4]邢玮,王政霖,吕甜甜等.2型糖尿病db/db小鼠的生物学特性[J].中国比较医学杂志,2017,27(08):12-15.

本周
本月
本年
LetPub发布最新SCI影响因子查询及期刊投稿分析系统
ELISpot试剂盒限时特惠!一口价低至500元,加赠免费读板服务
草甘膦(glyphosate)酶联免疫分析(ELISA)试剂盒使用说明书
链脲佐菌素 (Streptozotocin,STZ)-糖尿病动物模型造模
LetPub完整SCI影响因子、期刊分区查询系统
淋巴细胞百分比偏低原因解析
应用gentleMACS™灌流技术从脂肪肝小鼠模型高效分离肝细胞与非实质细胞
研究思路 | 多组学专题——如何进行转录组+蛋白组关联分析?
单个细胞也能提取核酸?超全干货教你微量样本发高分(含完整电子版宝典资料))
如何正确使用基因/蛋白质的名称格式(大写与斜体的使用)
- 促销公告
- 更多 ›


