相关产品推荐更多 >
万千商家帮你免费找货
0 人在求购买到急需产品
- 详细信息
- 询价记录
- 技术资料
- 品系:
--
- 细胞类型:
--
- 肿瘤类型:
--
- 供应商:
上海澳音生物
- 库存:
1×10^6
- 英文名:
LX-2
- 生长状态:
贴壁细胞
- 年限:
无限
- 运输方式:
复苏发货或干冰冷冻发货
- 器官来源:
--
- 是否是肿瘤细胞:
--
- 细胞形态:
--
- 免疫类型:
--
- 物种来源:
--
- 相关疾病:
--
- 组织来源:
肝脏
- 规格:
T25/冻存管
| 细胞详情 |
||
| 细胞名称 |
LX-2肝星形细胞 |
|
| 货 号 |
SAc0223 |
|
| 组织来源 |
肝脏 |
|
| 细胞类型 |
肝细胞 |
|
| 生长方式 |
贴壁生长 |
|
| 描 述 |
LX-2是用SV40大T抗原转染原代肝星状细胞得到的,然后在低血清培养基中选择性培养早期的传代细胞。 |
|
| 培养条件 |
1640,10%FBS;空气95%,二氧化碳5%;37℃培养 |
|
| 换液频率 |
2-3天 |
|
| 传代周期 |
4-7天 |
|
| 传代比例 |
1:3-1:5 |
|
| 冻存液配方 |
基础培养基+8%DMSO+20%FBS |
|
| 安全性 |
BSL-2 |
|
| 供应限制 |
仅供研究之用。 |
|
STR位点信息:
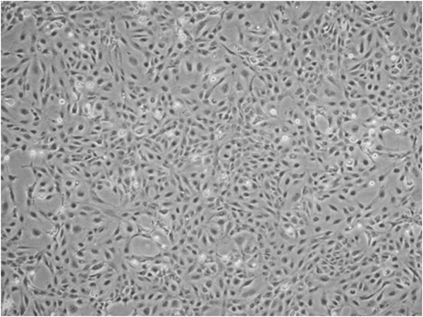
参考图片:
我司参考图片:
收到货后处理方式:
1.细胞冻存管: 收到货物后,请检查箱子里面是否还有干冰。
● 若干冰已剩余不多,不能掩埋冻存管,请及时拍照,并第一时间联系销售。
● 若干冰充裕,可以安排复苏细胞,复苏方法参考【说明书】;不安排复苏,请将细胞冻存管转移到液氮进行保存。短期(一周内)的存放可以放在-80冰箱,建议最好保存在液氮中。
2.培养瓶的活细胞: 收到请检查培养瓶是否完好,是否有漏液,培养基是否浑浊
●若出现以上问题请于当天和我们销售取得联系,我们会第一时间为您处理。
● 若以上问题都没有出现:拆掉培养瓶的外包装,在显微镜下对细胞进行多个视野,不同倍镜拍照。然后用酒精对瓶身进行彻底消毒,放在37度二氧化碳培养箱中进行复温。1-2小时后,拿出在显微镜下观察,并进行多个视野不同倍镜拍照。若细胞达到了可以传代的密度,请按照【说明书】的传代方法进行操作。若细胞密度不能进行传代,请回收培养瓶中的培养基,留适量培养基在瓶中,并将培养瓶放在培养箱继续培养即可(个别细胞除外,详见说明书)
仅供研究之用。
联系我们:
风险提示:丁香通仅作为第三方平台,为商家信息发布提供平台空间。用户咨询产品时请注意保护个人信息及财产安全,合理判断,谨慎选购商品,商家和用户对交易行为负责。对于医疗器械类产品,请先查证核实企业经营资质和医疗器械产品注册证情况。
- 作者
- 内容
- 询问日期
LX-2【LX2;lx2】肝星形细胞
¥1850






![FaDu[FaDU; FADU]咽鳞癌细胞](https://img1.dxycdn.com/2021/0802/648/2471451065717485943-14.jpg!wh200)
![TTA1[TTA1; TTA-I]甲状腺癌细胞(未分化)](https://img1.dxycdn.com/2020/1106/747/2010145712770995443-14.jpg!wh200)


