相关产品推荐更多 >
万千商家帮你免费找货
0 人在求购买到急需产品
- 详细信息
- 文献和实验
- 技术资料
- 规格:
0.1ml
碧云天生产的InstantView™ SDS-PAGE蛋白染色及上样缓冲液(5X, 无气味),即InstantView™ SDS-PAGE Protein Staining and Loading Buffer (5X, Odorless),是一种添加了安全无毒的特殊荧光染料的SDS-PAGE蛋白上样缓冲液(5X, 无气味),能使蛋白在上样前与上样缓冲液的煮沸过程中被染色成紫色并带上橙黄色荧光,这样在电泳过程中或电泳后就可以直接肉眼观察到蛋白的紫色条带或者通过紫外或蓝光设备观察到蛋白的橙黄色荧光条带。同时,本产品使用了更加安全健康的无气味的还原剂。
本产品的原理和使用效果类似于VWR/Amresco的Protein EZ-Vision®,都使用了安全无毒的荧光染料,无需额外的染色和脱色步骤,在蛋白和上样缓冲液变性的过程中就能完成染色步骤,在电泳完成后就可以直接观察和记录蛋白的电泳图谱,兼容紫外和蓝光检测系统,并且兼容后续的Western检测等。
安全无毒,染色便捷:使用安全无毒的染料,并且没有任何额外的实验步骤,按照普通的SDS-PAGE蛋白上样缓冲液(5X, 无气味)的操作步骤操作即可。蛋白样品加上1/4体积的本产品,混匀后,95℃水浴加热5分钟,就可以完成对蛋白样品的染色,把蛋白染色成紫色同时使蛋白带上橙黄色荧光。染色、电泳等可以在普通灯光下操作,无需采取额外的避光措施。
不影响电泳迁移率:染料分子小并且不带电荷,不影响蛋白条带的电泳迁移速率和最终形成的电泳图谱。
可以即时观察样品电泳效果:使用本产品在电泳结束后可即时观察蛋白样品的电泳效果。蛋白条带的量大于500ng时可直接肉眼观察到紫色蛋白条带,蛋白量较少时,可使用紫外灯或蓝光灯(需要配合使用蓝光滤光片)在暗室中观察蛋白条带的荧光。
无需凝胶染色:使用本产品后无需进行任何凝胶染色,就可以直接拍照记录蛋白样品的电泳图了。蛋白量大时可以直接拍照,蛋白量比较少时,可以使用紫外或蓝光成像设备进行拍照和记录。
兼容Western检测:使用本产品上样并电泳完成后,可以直接转膜并进行Western检测,无需任何额外的处理。PVDF膜和硝酸纤维素膜(NC膜)都能适用。转膜后可以同样观察蛋白的紫色条带或橙黄色荧光条带。通过对多种常用抗体的测试发现,使用本产品对于Western的检测灵敏度没有任何显著影响。国外同类产品也可以完美兼容Western检测。当然不能排除本产品可能会影响个别抗体对于目的蛋白的检测。
背景极低,游离染料不影响观察和检测:游离的染料分子与示踪染料溴酚蓝有几乎相同的迁移速率,它们会共同电泳迁移至凝胶末端,确保凝胶的背景洁净透明。
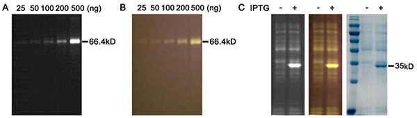
灵敏度高,低至25ng:使用本产品后,对于0.5μg或以上的单一蛋白条带,其经过荧光染料修饰后产生的粉红色略偏紫色的条带即使在日光灯下肉眼清晰可见(图1),0.2μg的蛋白条带也隐约可见;使用紫外或蓝光成像设备,可以检测到低至25ng左右的蛋白条带(图2)。
兼容紫外和蓝光成像系统:无论使用紫外成像设备,还是使用对人体无害的蓝光成像设备,都可检测低至25ng的蛋白条带。
兼容Tris-glycine和Hepes凝胶体系:对于最常见的Tris-glycine凝胶体系和较常见的Hepes凝胶体系都能很好地兼容。
染色稳定性好:SDS-PAGE电泳结束后,蛋白条带的荧光至少可以在4℃稳定保存5小时。如果电泳结束后立即转膜,膜上蛋白条带的荧光至少可以在4℃稳定保存24小时。
本产品更加安全健康。本产品使用了无气味、水溶性更稳定、还原能力相近的还原剂替代了有气味的二硫苏糖醇(DTT)或巯基乙醇(2-Mercaptoethanol),从而可以确保本产品在正常使用或加热时都不会有异味,使蛋白上样操作更加安全健康。
主要用途:Western检测时直接观察记录并确认每个泳道的上样量是否均衡,特别对于组织样品的Western检测尤为重要;SDS-PAGE时最快速便捷地观察到目的蛋白的诱导表达、分离纯化等效果。
碧云天生产的InstantView™ SDS-PAGE蛋白染色及上样缓冲液(5X, 无气味)检测蛋白的灵敏度与染色效果可参考图1和图2。
图1. 使用InstantView™ SDS-PAGE蛋白染色及上样缓冲液(5X, 无气味)对不同上样量的BSA样品染色电泳后的凝胶照片效果示意图。0.2、0.5、1、2、5、10μg的BSA蛋白样品与适量InstantView™ SDS-PAGE蛋白染色及上样缓冲液(5X, 无气味)混合后,95℃水浴加热5分钟,上样进行SDS-PAGE后凝胶拍照的示意图片,其中0.5μg蛋白条带肉眼清晰可见,0.2μg蛋白条带肉眼也隐约可见。
图2. InstantView™ SDS-PAGE蛋白染色及上样缓冲液(5X, 无气味)对不同上样量的BSA样品和菌液样品染色电泳后用紫外或蓝光成像设备的检测效果示意图。A, B. 25、50、100、200和500ng的BSA样品与适量InstantView™ SDS-PAGE蛋白染色及上样缓冲液(5X, 无气味)混合后,95℃水浴加热5分钟,上样进行SDS-PAGE后凝胶使用紫外(A)和蓝光成像设备(B)拍照的示意图片,其中25ng蛋白条带都清晰可见;C. 取10μg用IPTG诱导表达前和诱导表达35kD目的蛋白后的细菌裂解液与适量InstantView™ SDS-PAGE蛋白染色及上样缓冲液(5X, 无气味)混合后,95℃水浴加热5分钟,上样进行SDS-PAGE后,凝胶直接使用紫外(左)、蓝光成像设备(中)拍照的示意图片和考马斯亮蓝染色(右)后的示意图片,其中诱导表达的35kD蛋白条带清晰可见。图中可见考马斯亮蓝染色的灵敏度显著低于本产品。
P0281FT可以用于0.4ml蛋白样品的染色和上样,P0281S可以用于4ml蛋白样品的染色和上样。
包装清单:
| 产品编号 | 产品名称 | 包装 |
| P0281FT-1 | InstantView™ Protein Staining Dye | For 0.1ml |
| P0281FT-2 | InstantView™ Protein Loading Buffer (5X, Odorless) | 0.1ml |
| — | 说明书 | 1份 |
| 产品编号 | 产品名称 | 包装 |
| P0281S-1 | InstantView™ Protein Staining Dye | For 1ml |
| P0281S-2 | InstantView™ Protein Loading Buffer (5X, Odorless) | 1ml |
| — | 说明书 | 1份 |
保存条件:
-20℃避光保存,一年有效。4℃避光保存,3个月内有效;室温保存,2周内有效。
风险提示:丁香通仅作为第三方平台,为商家信息发布提供平台空间。用户咨询产品时请注意保护个人信息及财产安全,合理判断,谨慎选购商品,商家和用户对交易行为负责。对于医疗器械类产品,请先查证核实企业经营资质和医疗器械产品注册证情况。
文献和实验P0014A SDS-PAGE电泳液 1L 26.00元 P0015 SDS-PAGE蛋白上样缓冲液(5X) 2ml 26.00元 P0017 考马斯亮蓝快速染色液 250ml 136.00元 P0068 彩色预染蛋白质分子量标准 200微升 368.00元 三、转膜 膜,有硝酸纤维素膜和PVDF膜两种,推荐PVDF膜,做的多就买成卷的,大约2500左右一卷,30cm*3000cm,做得少就买一张一张的15cm*15cm大约80元一张。膜的孔径分22um和40多um的,孔径校,蛋白
利用 Millicell 培养小室培养皮肤及肺类器官的实验方案
的 MilliCell® 培养插入式小室及专有的 3dGRO™ 皮肤分化培养基,在空气:液体界面培养中,引导角质形成细胞多种分化的人表皮皮肤模型的分步培养方案。 图1.类器官人体皮肤培养方案概述。 皮肤细胞培养方案 重要提示: 产生高质量3D皮肤培养的关键是人原代角质形成细胞(PHKs)和成纤维细胞(PHFs)的质量。只使用第1代或第2代的原代细胞,不要让细胞过度汇合。 复融一支人原代角质形成细胞(C-12001, C-12005, 102-05N)和人真皮成纤维细胞(C-12300, 106-05N
Raf 蛋白 Ras 结合结构域的简并进化库合成以及利用片段互补法快速筛选二氢叶酸还原酶的快速折叠且稳定的克隆
min,用 1 mmol/L 的 IPTG 诱导 4 h。然后每个克隆取出 60 μl,加入等体积 2X SDS- PAGE 上样缓冲液,电泳分析。可用考马斯亮蓝染色,或用抗 Histag 的抗体蛋白质印迹法检测蛋白质表达情况。 19. 在大规模提纯之前,建议测试几个克隆不同体积的产量。我们建议在变性条件下提纯蛋白质,是因为同时进行多个平行提纯时,它更易于操作。但是,如果蛋白质可溶性很好,也可以在非变性条件下提纯。本例中,表 达 raf RBD 突变体的 25 ml 的 BL21 pREP
技术资料暂无技术资料 索取技术资料











