相关产品推荐更多 >
万千商家帮你免费找货
0 人在求购买到急需产品
- 详细信息
- 文献和实验
- 技术资料
- 免疫原:
A recombinant fragment (around aa179-311) of human Villin protein
- 亚型:
IgG
- 形态:
Liquid
- 保存条件:
Store as concentrated solution. Centrifuge briefly prior to opening vial. Store at 4ºC.
- 克隆性:
Monoclonal
- 标记物:
Unconjugated
- 适应物种:
Human
- 保质期:
12 months from the shipping date of the product.
- 抗原来源:
Human
- 目录编号:
GTX02740
- 级别:
Primary Antibodies
- 库存:
Available
- 供应商:
GeneTex
- 宿主:
Rabbit
- 应用范围:
IHC-P
- 浓度:
200 μg/ml (Please refer to the vial label for the specific concentration.)
- 靶点:
This antibody could recongnize Merkel cells of the skin.
- 抗体英文名:
Villin antibody [VIL1/2310R]
- 抗体名:
Villin 抗体 [VIL1/2310R]
- 规格:
100 μg
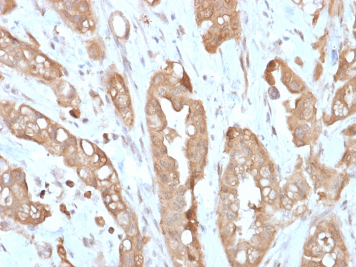
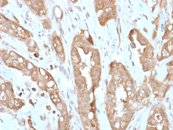
IHC-P analysis of human small intestine tissue section using GTX02740 Villin antibody [VIL1/2310R].
风险提示:丁香通仅作为第三方平台,为商家信息发布提供平台空间。用户咨询产品时请注意保护个人信息及财产安全,合理判断,谨慎选购商品,商家和用户对交易行为负责。对于医疗器械类产品,请先查证核实企业经营资质和医疗器械产品注册证情况。
文献和实验secondary antibody review -- data from 99 publications
cytometry used as a control to detect cell responses targeted antigen 7 Alexa Fluor 488 7 Cy3 8 goat IgG Alexa Fluor 488 1:2000 detect antibody binding in human embryonic kidney 293T cells Invitrogen 9 donkey
Characterization and Validation of Cre‐Driver Mouse Lines
2. (A ) Schematic representation of the CreERT2 transgene used for pronuculei injection (Feil et al., ; Indra et al., ). The pair of primers used for RT‐qPCR amplification of Cre transcripts is located in the β‐globin region between a tissue‐specific promoter X (pX
Phage‐Based Expression Cloning to Identify Interacting Proteins
, W., Sellers, W.R., DeCaprio, J.A., Ajchenbaum, F., Fuchs, C.S., Chittenden, T., Li, Y., Farnham, P.J., Blanar, M.A., Livingston, D.M., and Flemington, E.K. 1992. Expression cloning of a cDNA encoding a retinoblastoma‐binding protein with E2F
技术资料暂无技术资料 索取技术资料








![TIE1 antibody [8D2D2]](https://img1.dxycdn.com/2022/0328/286/9881128858518700453-14.jpg!wh200)


