相关产品推荐更多 >
万千商家帮你免费找货
0 人在求购买到急需产品
- 详细信息
- 文献和实验
- 技术资料
- 免疫原:
TOM70 antibody was raised against a 17 amino acid synthetic peptide near the amino terminus of human TOM70.The immunogen is located within amino acids 50 - 100 of TOM70.
- 亚型:
IgG
- 形态:
Liquid
- 保存条件:
Store as concentrated solution. Centrifuge briefly prior to opening vial. For short-term storage (1-2 weeks), store at 4ºC. For long-term storage, aliquot and store at -20ºC or below. Avoid multiple freeze-thaw cycles.
- 克隆性:
Polyclonal
- 标记物:
Unconjugated
- 适应物种:
Human, Mouse, Rat
- 保质期:
12 months from the shipping date of the product.
- 抗原来源:
Human
- 目录编号:
GTX85358
- 级别:
Primary Antibodies
- 库存:
Available
- 供应商:
GeneTex
- 宿主:
Rabbit
- 应用范围:
WB, IHC-P, ELISA
- 浓度:
1 mg/ml (Please refer to the vial label for the specific concentration.)
- 靶点:
At least two isoforms of TOM70 are known to exist; this antibody will only detect the larger isoform.
- 抗体英文名:
TOM70 antibody
- 抗体名:
TOM70 抗体
- 规格:
100 μg
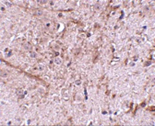
IHC-P analysis of mouse brain tissue using GTX85358 TOM70 antibody.
Working concentration : 5 μg/ml
WB analysis of mouse brain tissue lysate using GTX85358 TOM70 antibody.
Working concentration : (A) 0.5 and (B) 1 μg/ml
IHC-P analysis of mouse brain tissue using GTX85358 TOM70 antibody.
Working concentration : 2.5 μg/ml
风险提示:丁香通仅作为第三方平台,为商家信息发布提供平台空间。用户咨询产品时请注意保护个人信息及财产安全,合理判断,谨慎选购商品,商家和用户对交易行为负责。对于医疗器械类产品,请先查证核实企业经营资质和医疗器械产品注册证情况。
文献和实验70% Ethanol Fixation for Recovery of DNA, RNA, and Protein This method was successful in our lab using prostate tissue and for our specific objectives. Investigators must be aware that they will need to tailor the following
CD70 分子 CD70 常用单克隆抗体或代号: Ki- 24;(CD27L) 主要表达细胞: Tsub,Ba,RS [NL] 分子质量(kDa)和结构: gp55,75,95,110,170 功 能: CD27的配体,淋巴细胞活化 CD70 Aka CD27 ligand Role in T cell activation; induces T cell
上海西唐生物科技有限公司 021-55229872, 65333639 www.westang.com 人热休克蛋白70 ( HSP70 )ELISA 试剂盒 原理 本实验采用双抗体夹心 ABC-ELISA 法。用抗人 HSP70 单抗包被于酶标板上,标准品和样品中的 HSP70与单抗结合,加入生物素化的抗人 HSP70 ,形成免疫复合物连接在板上,辣根
技术资料暂无技术资料 索取技术资料








![IL24 antibody [C2C3], C-term](https://img1.dxycdn.com/2022/0328/935/4592410384437200453-14.jpg!wh200)

