相关产品推荐更多 >
万千商家帮你免费找货
0 人在求购买到急需产品
- 详细信息
- 文献和实验
- 技术资料
- 免疫原:
Recombinant human full-length tyrosinase (TYR) protein
- 亚型:
IgG
- 形态:
Liquid
- 保存条件:
Store as concentrated solution. Centrifuge briefly prior to opening vial. Store at 4ºC.
- 克隆性:
Monoclonal
- 标记物:
Unconjugated
- 适应物种:
Human
- 保质期:
12 months from the shipping date of the product.
- 抗原来源:
Human
- 目录编号:
GTX02735
- 级别:
Primary Antibodies
- 库存:
Available
- 供应商:
GeneTex
- 宿主:
Rabbit
- 应用范围:
IHC-P
- 浓度:
200 μg/ml (Please refer to the vial label for the specific concentration.)
- 靶点:
Tyrosinase
- 抗体英文名:
Tyrosinase antibody [TYR/2024R]
- 抗体名:
Tyrosinase 抗体 [TYR/2024R]
- 规格:
100 μg
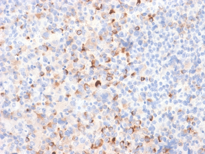
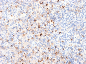
IHC-P analysis of human melanoma tissue section using GTX02735 Tyrosinase antibody [TYR/2024R].
风险提示:丁香通仅作为第三方平台,为商家信息发布提供平台空间。用户咨询产品时请注意保护个人信息及财产安全,合理判断,谨慎选购商品,商家和用户对交易行为负责。对于医疗器械类产品,请先查证核实企业经营资质和医疗器械产品注册证情况。
文献和实验Methods for the Preparation of Electrochemical Composite Biosensors Based on Gold Nanoparticles
electrode matrices are highlighted, giving rise to bioelectrodes with improved analytical performance in terms of stability and sensitivity with respect to other biosensor designs. Three different biosensors have been considered: a tyrosinase biosensor
secondary antibody were purchased from GIBCO-BRL. Phosphospecific rabbit polyclonal antibodies against 180Thr and 182Tyr dual-phosphorylated p38, against total p38 (phosphorylation state independent), against 204Tyr-phosphorylated ERK1/2 and against total
v468. chapter 4 WNT 细胞通路 检测细胞GSK3活性与表达水平
. Chem. 275, 32475– 32481. 11. Liu, X., Rubin, J. S., and Kimmel, A. R. (2005) Rapid, Wnt-induced changes in GSK3beta associations that regulate betacateninstabilization are mediated by Galpha proteins. Curr. Biol. 15, 1989–1997. 12. Cook, D., Fry
技术资料暂无技术资料 索取技术资料





![Integrin beta 3 antibody [ITGB3/1713]](https://img1.dxycdn.com/2022/0328/893/3826264014011700453-14.jpg!wh200)





