相关产品推荐更多 >
万千商家帮你免费找货
0 人在求购买到急需产品
- 详细信息
- 技术资料
- 免疫原:
Recombinant fragment of human GLUT1 protein (around aa 203-305)
- 亚型:
IgG
- 形态:
Liquid
- 保存条件:
Store as concentrated solution. Centrifuge briefly prior to opening vial. Store at 4ºC.
- 克隆性:
Monoclonal
- 标记物:
Unconjugated
- 适应物种:
Human
- 保质期:
12 months from the shipping date of the product.
- 抗原来源:
Human
- 目录编号:
GTX02708
- 级别:
Primary Antibodies
- 库存:
Available
- 供应商:
GeneTex
- 宿主:
Rabbit
- 应用范围:
IHC-P, FACS, ELISA
- 浓度:
200 μg/ml (Please refer to the vial label for the specific concentration.)
- 靶点:
GluT1
- 抗体英文名:
GluT1 antibody [GLUT1/3132R]
- 抗体名:
GluT1 抗体 [GLUT1/3132R]
- 规格:
100 μg
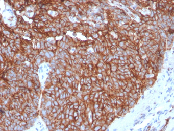
IHC-P analysis of human tongue tissue section using GTX02708 GluT1 antibody [GLUT1/3132R].
FACS analysis of K562 cells using GTX02708 GluT1 antibody [GLUT1/3132R].
Blue : Primary antibody
Red : Isotype control
风险提示:丁香通仅作为第三方平台,为商家信息发布提供平台空间。用户咨询产品时请注意保护个人信息及财产安全,合理判断,谨慎选购商品,商家和用户对交易行为负责。对于医疗器械类产品,请先查证核实企业经营资质和医疗器械产品注册证情况。
技术资料暂无技术资料 索取技术资料


![GluT1 antibody [GLUT1/3132R]](https://img1.dxycdn.com/2022/0328/023/1783070929749700453-14.jpg)



![Paxillin (phospho Tyr118) antibody [GT162]](https://img1.dxycdn.com/2022/0329/536/1999434796737020453-14.jpg!wh200)



