相关产品推荐更多 >
万千商家帮你免费找货
0 人在求购买到急需产品
- 详细信息
- 文献和实验
- 技术资料
- 免疫原:
Recombinant fragment of human GLUT1 protein (around aa 203-305) (exact sequence is proprietary)
- 亚型:
IgG2b
- 形态:
Liquid
- 保存条件:
Store as concentrated solution. Centrifuge briefly prior to opening vial. For short-term storage (1-2 weeks), store at 4ºC. For long-term storage, aliquot and store at -20ºC or below. Avoid multiple freeze-thaw cycles.
- 克隆性:
Monoclonal
- 标记物:
Unconjugated
- 适应物种:
Human
- 保质期:
12 months from the shipping date of the product.
- 抗原来源:
Human
- 目录编号:
GTX17986
- 级别:
Primary Antibodies
- 库存:
Available
- 供应商:
GeneTex
- 宿主:
Mouse
- 应用范围:
WB, ICC/IF, IHC-P, FACS, ELISA, Protein Array
- 浓度:
0.2 mg/ml (Please refer to the vial label for the specific concentration.)
- 靶点:
GluT1
- 抗体英文名:
GluT1 antibody [GLUT1/2475]
- 抗体名:
GluT1 抗体 [GLUT1/2475]
- 规格:
100 μg
ICC/IF analysis of K562 cells using GTX17986 GluT1 antibody [GLUT1/2475].
Green : Primary antibody
Red : nucleus
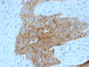
IHC-P analysis of human bladder carcinoma tissue using GTX17986 GluT1 antibody [GLUT1/2475].
WB analysis of A431 cell lysate using GTX17986 GluT1 antibody [GLUT1/2475].
IHC-P analysis of human tongue tissue using GTX17986 GluT1 antibody [GLUT1/2475].
Analysis of Protein Array containing more than 19,000 full-length human proteins using GLUT-1 Mouse Monoclonal Antibody (GLUT1/2475). Z- and S- Score: The Z-score represents the strength of a signal that a monoclonal antibody produces when binding to a particular protein on the HuProtTM array. Z-scores are described in units of standard deviations (SD’s) above the mean value of all signals generated on that array. If targets on HuProtTM are arranged in descending order of the Z-score, the S-score is the difference (also in units of SD’s) between the Z-score. S-score therefore represents the relative target specificity of a Monoclonal Antibody to its intended target. A Monoclonal Antibody is considered to specific to its intended target if the Monoclonal Antibody has an S-score of at least 2.5. For example, if a Monoclonal Antibody binds to protein X with a Z-score of 43 and to protein Y with a Z-score of 14, then the S-score for the binding of that Monoclonal Antibody to protein X is equal to 29.
FACS analysis of K562 cells using GTX17986 GluT1 antibody [GLUT1/2475].
Blue : Primary antibody
Red : Isotype control
风险提示:丁香通仅作为第三方平台,为商家信息发布提供平台空间。用户咨询产品时请注意保护个人信息及财产安全,合理判断,谨慎选购商品,商家和用户对交易行为负责。对于医疗器械类产品,请先查证核实企业经营资质和医疗器械产品注册证情况。
文献和实验Lee YR et al., Kaohsiung J Med Sci 2020 (PMID:32783363)
上海西唐生物科技有限公司 021-55229872, 65333639 www.westang.com 人葡萄糖转运蛋白 ( Glut-1 )ELISA 试剂盒 ( 用于血清、血浆、细胞培养上清液和其它生物体液内 ) 原理 本实验采用双抗体夹心 ABC-ELISA 法。用抗人 Glut-1 单抗包被于酶标板上,标准品和样品中的 Glut-1与单抗结合,加入生物
P-Glucuronidase Enzyme Histochemistry on Semithin Sections of Plastic-Embedded Arabidopsis Explants
expressing the reporter gene within the cellular context of the explant or tissue. A qualitative hrstochemical assay to measure GUS activity is based on the substrate 5-bromo-4-chloro-3-mdolyLl3-o-glucuronide (X-Glut) ( 1 ). The GUS enzyme hydrolyzes X-Glut
Using Biacore to Measure the Binding Kinetics of an Antibody‐Antigen Interaction
Figure 19.14.3 Immobilization of anti‐β2µ‐globulin antibody to the chip surface. Each step and corresponding response is labeled at the top of the sensorgram. Each X on the response represents a report point
技术资料暂无技术资料 索取技术资料









![GOLGA5 antibody [GT2726]](https://img1.dxycdn.com/2022/0329/493/4397906097747020453-14.jpg!wh200)

