相关产品推荐更多 >
万千商家帮你免费找货
0 人在求购买到急需产品
- 详细信息
- 文献和实验
- 技术资料
- 免疫原:
Recombinant full-length human MVP protein
- 亚型:
IgG
- 形态:
Liquid
- 保存条件:
Store as concentrated solution. Centrifuge briefly prior to opening vial. Store at 4ºC.
- 克隆性:
Monoclonal
- 标记物:
Unconjugated
- 适应物种:
Human
- 保质期:
12 months from the shipping date of the product.
- 抗原来源:
Human
- 目录编号:
GTX02682
- 级别:
Primary Antibodies
- 库存:
Available
- 供应商:
GeneTex
- 宿主:
Rabbit
- 应用范围:
IHC-P
- 浓度:
200 μg/ml (Please refer to the vial label for the specific concentration.)
- 靶点:
MVP/LRP
- 抗体英文名:
MVP/LRP antibody [VP2897R]
- 抗体名:
MVP/LRP 抗体 [VP2897R]
- 规格:
100 μg
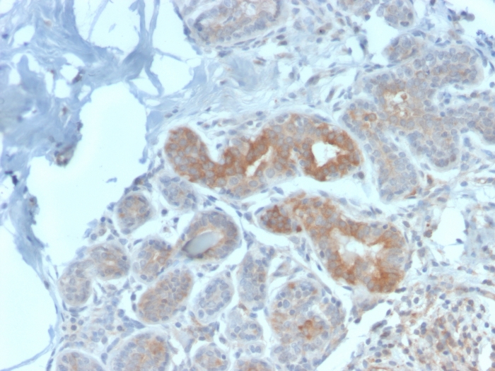
IHC-P analysis of human breast carcinoma section using GTX02682 MVP/LRP antibody [VP2897R].
风险提示:丁香通仅作为第三方平台,为商家信息发布提供平台空间。用户咨询产品时请注意保护个人信息及财产安全,合理判断,谨慎选购商品,商家和用户对交易行为负责。对于医疗器械类产品,请先查证核实企业经营资质和医疗器械产品注册证情况。
文献和实验中科院高福院士课题组 2020 年发表了哪些重要的研究成果?
抗体的主要靶标。2020 年 3 月 11 日,高福院士联合逯光文在 Cell Host & Microbe 发文:Structural Analysis of Rabies Virus Glycoprotein Reveals pH-Dependent Conformational Changes and Interactions with a Neutralizing Antibody。该研究报告了狂犬病毒 RABV-G 的晶体结构,分别在〜pH-8.0 时以游离形式和在〜pH-6.5 时与中和
I and Nhe I and ligated with 3 g of Xma I- and Nhe I-digested inserts to generate the pComb3X-6ZF library vector. Both 3ZF and 6ZF library inserts were digested with SfI I and subcloned into the retroviral vector pMX-IRES-GFP, containing the VP64 activation
+oieSKeKcgxGinlRPl7uja5iYeDdc+K3eZhXhIOHOy+p9cxrGU9WCTkVcT5iRR/BsR+N0IDPSu3x0pXo0IRAQiAhGBiEBE4ABCwPnwbu0wGmW8ULj7NRb20DLRYqFW1Up6ODBube+wknwaZ5w/y92bXLbV5K3CJ+hhzKwdSHCmVrada2Qy0eyxvi0r7Lkl99ukcaOkRe60Sj82E8qgnmxNtzHGRRyZQtf1g41GIMau5W7ITlqbiDRR0CA3tPhIsEdmP5hZ
技术资料暂无技术资料 索取技术资料







![CD137 antibody [r4-1BB/4603]](https://img1.dxycdn.com/2022/0328/049/6189494390199700453-14.jpg!wh200)
![UPK1B antibody [MSVA-734M] HistoMAX](https://custom.dxycdn.com/trademd/upload/pic/2013/11/12/A1383891150.jpg!small.t.1)
![S100 antibody [4C4.9]](https://img1.dxycdn.com/2022/0328/775/0920458370739300453-14.jpg!wh200)

