相关产品推荐更多 >
万千商家帮你免费找货
0 人在求购买到急需产品
- 详细信息
- 文献和实验
- 技术资料
- 免疫原:
KLH conjugated synthetic peptide derived from human Endothelin 1.
- 亚型:
IgG
- 形态:
Liquid
- 保存条件:
Store as concentrated solution. Centrifuge briefly prior to opening vial. For short-term storage (1-2 weeks), store at 4ºC. For long-term storage, aliquot and store at -20ºC or below. Avoid multiple freeze-thaw cycles.
- 克隆性:
Polyclonal
- 标记物:
Unconjugated
- 适应物种:
Human, Mouse, Rat
- 保质期:
12 months from the shipping date of the product.
- 抗原来源:
Human
- 目录编号:
GTX37427
- 级别:
Primary Antibodies
- 库存:
Available
- 供应商:
GeneTex
- 宿主:
Rabbit
- 应用范围:
WB, ICC/IF
- 浓度:
0.5 mg/ml (Please refer to the vial label for the specific concentration.)
- 靶点:
Endothelin 1
- 抗体英文名:
Endothelin 1 antibody
- 抗体名:
Endothelin 1 抗体
- 规格:
100 μg
ICC/IF analysis of HeLa cells using GTX37427 Endothelin 1 antibody.
Dilution : 2.5μg/ml
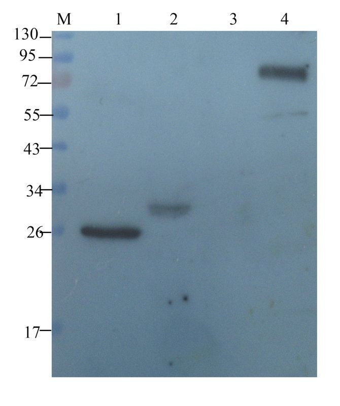
WB analysis of HeLa cells (Lane 1), mouse lung (Lane 2), rat heart (Lane 3), rat large intestines (Lane 4) lysates using GTX37427 Endothelin 1 antibody.
Dilution : 1μg/ml
ICC/IF analysis of HeLa cells using GTX37427 Endothelin 1 antibody.
Dilution : 2.5μg/ml
风险提示:丁香通仅作为第三方平台,为商家信息发布提供平台空间。用户咨询产品时请注意保护个人信息及财产安全,合理判断,谨慎选购商品,商家和用户对交易行为负责。对于医疗器械类产品,请先查证核实企业经营资质和医疗器械产品注册证情况。
文献和实验大鼠内皮素-1(Endothelin-1)ELISA试剂盒 说明书
上海西唐生物科技有限公司 021-55229872, 65333639 www.westang.com 大鼠内皮素 -1(Endothelin-1)ELISA 试剂盒 ( 用于血清、血浆、细胞培养上清液和其它生物体液内 ) 原理 本实验采用双抗体夹心 ABC-ELISA 法。用抗大鼠 Endothelin-1 单抗包被于酶标板上,标准品和样品中的 Endothelin-1 与单抗结合,加入生物
人内皮素-1(Endothelin-1)ELISA试剂盒 说明书
人内皮素-1 ( Endothelin-1 )ELISA 试剂盒 ( 用于血清、血浆、细胞培养上清液和其它生物体液内 ) 原理 本实验采用双抗体夹心 ABC-ELISA 法。用抗人 Endothelin-1 单抗包被于酶标板上,标准品和样品中的 Endothelin-1与单抗结合,加入生物素化的抗人 Endothelin-1 ,形成免疫复合物连接在板上,辣根
小鼠内皮素-1(Endothelin-1)ELISA试剂盒 说明书
上海西唐生物科技有限公司 021-55229872, 65333639 www.westang.com 小鼠内皮素-1 ( Endothelin-1 )ELISA 试剂盒 ( 用于血清、血浆、细胞培养上清液和其它生物体液内 ) 原理 本实验采用双抗体夹心 ABC-ELISA 法。用抗小鼠 Endothelin-1 单抗包被于酶标板上,标准品和样品中的
技术资料暂无技术资料 索取技术资料











