相关产品推荐更多 >
万千商家帮你免费找货
0 人在求购买到急需产品
- 详细信息
- 文献和实验
- 技术资料
- 级别:
科研级
- 库存:
999
- 供应商:
武汉天德
- 抗体英文名:
protein kinase AMP-activated catalytic subunit alpha 1
- 抗体名:
PRKAA1; AMPK; AMPKa1
- 规格:
25 μl/100 μl/200 μl
PRKAA1 mouse monoclonal antibody
| Product Name | PRKAA1 mouse monoclonal antibody |
| Cat.# | TD-AB0095 |
| Package | 25 μl/100 μl/200 μl |
| Storage | PBS with 0.1% sodium azide and 50% glycerol, pH 7.2 |
| Product Imformation | |
| Description | Anti- PRKAA1 mouse monoclonal antibody |
| Applications | WB |
| Immunogen | Fusion protein of human PRKAA1 |
| Reactivity | Human, Mouse, Rat, Monkey |
| Host species | Mouse |
| Ig class | IgG1 |
| Purity | Protein A/G Affinity Purification |
| Target information | |
| Symbol | PRKAA1 |
| Full name | protein kinase AMP-activated catalytic subunit alpha 1 |
| Synonyms | AMPK; AMPKa1 |
| Target Background | |
| The protein encoded by this gene belongs to the ser/thr protein kinase family. It is the catalytic subunit of the 5'-primeAMP-activated protein kinase (AMPK). AMPK is a cellular energy sensor conserved in all eukaryotic cells. The kinase activity of AMPK is activated by the stimuli that increase the cellular AMP/ATP ratio. AMPK regulates the activities of a number of key metabolic enzymes through phosphorylation. It protects cells from stresses that cause ATP depletion by switching off ATP-consuming biosynthetic pathways. Alternatively spliced transcript variants encoding distinct isoforms have been observed. | |
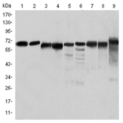
| Western blotting | |
| Predicted band size | 64 kDa |
| Positive control | Jurkat, Hela, HepG2, MCF-7, COS-7, NIH/3T3, K562, HEK293 and PC-12 cell lysates |
| Recommended dilution | 500-2000 |
| Gel | 8%SDS-PAGE |
| Lysate | 20 μg |
| Lane 1-9 | Jurkat, Hela, HepG2, MCF-7, COS-7,NIH/3T3, K562, HEK293 and PC-12 cell lysates |
| Primary antibody | D194951(PRKAA1 Antibody) at dilution 1/1000 |
| Secondary antibody | HRP-conjugated Goat anti mouse IgG at 1/10000 dilution |
| Exposure time | 2 minutes |
| Product Image | |
![]() | |
风险提示:丁香通仅作为第三方平台,为商家信息发布提供平台空间。用户咨询产品时请注意保护个人信息及财产安全,合理判断,谨慎选购商品,商家和用户对交易行为负责。对于医疗器械类产品,请先查证核实企业经营资质和医疗器械产品注册证情况。
文献和实验Monoclonal Antibody Production
and screening of the hybridomas: 1. Bleeding Mice (1) Place the mouse in a mouse restrainer. (2) Sterilize the tail with 70% ethanol. (3) With a razor blade,nip off the last 2 mm of the tip of the tail. (4) Using a milking motion,pull blood down and let
指仅对一种抗原决定基的纯粹的抗体。这类抗体不可能通过将抗原 胞的 Hybridoma,在试管内制成了纯粹的单克隆抗体。用某种抗原使动物产生免疫感应,对应于抗原之不同部分可制成各种不同的抗体复合体。然而,因为一个产生抗体的细胞,只能产生一种抗体,所以骨髓肿瘤细胞与产生抗体细胞间的细胞杂种,可形成边产生抗体边增殖的 hybridoma,将每个杂种细胞进行克隆(无性繁殖系)培养,则一个克隆的细胞群只由单种类产生同一抗体的细胞所组成,这样得到的就是单克隆抗体。此抗体在测定
Monoclonal Antibody Production Protocol
complete with MCM instead of PCM (= IMDM - m ), and keep it in the incubator for fused cells. Isolation of spleen cells Sacrifice mouse by cervical dislocation. Immerse mouse in 70% Ethanol. Remove spleen ( on the left side ) and transfer into a small
技术资料暂无技术资料 索取技术资料











