相关产品推荐更多 >
万千商家帮你免费找货
0 人在求购买到急需产品
- 详细信息
- 询价记录
- 文献和实验
- 技术资料
- 提供商:
晶莱生物
- 服务名称:
肺纤维化(PF)模型
- 规格:
实验服务
| 肺纤维化 | 博来霉素致肺纤维化 | 大鼠 |
| 平阳霉素致肺纤维化 | 大鼠 |
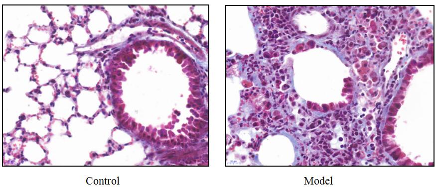
博来霉素致肺纤维化
博来霉素(bleomycin)是一种多肽类抗肿瘤药物,其导致肺间质纤维化的机制主要是通过活性氧的作用。在博来霉素致肺损伤的早期,即肺泡炎阶段,产生大量氧自由基,对肺造成损伤。
复制方法
1、实验大鼠(雌雄不限)经忆.醚麻醉后仰卧固定头部及四肢,轻拉鼠舌压迫舌腹,在额镜直视下,趁大鼠呼吸瞬间,迅速将已装有博莱霉素溶液连有注射器的细塑料插管插入达气管分叉处,随后慢慢推入剂量为5mg/kg体重博莱霉素溶液,注入溶液体积控制在0.2ml/100g体重或以下。
2、给药结束时,辅助大鼠作直立、旋转等动作,以便药物在动物肺内均匀分布,然后大鼠自由饮水迸食。大鼠在给药1周后开始出现一系列肺纤维化的渐进性病理学改变。
早期病变主要表现为肺间质及肺泡腔内有不同程度的炎症细胞浸润,并可见Ⅱ型肺上皮细胞增生及少量巨噬细胞、单核细胞;随着炎性渗出逐渐吸收,部分肺泡机化,肺泡间隔成纤维细胞增生,至给药4周时肺组织间质及胸膜层胶原纤维明显增多。
模型特点
博莱霉素可引发肺组织内的自身免疫反应,导致肺组织内的T淋巴细胞数量增多。同时博莱霉素在氧分子和Fe2-存在时可产生活性氧自由基,活性氧既可导致DNA解链,诱发肺组织细胞产生脂质过氧化物,致使生物膜功能丧失;也可提高磷脂酶A2的活性,增加花生四烯酸代谢产物的合成,扩大炎症反应,刺激成纤维细胞增殖,使工型胶原显著增加,导致Ⅰ型与Ⅱ型胶原比例失调,引起组织纤维化。此模型在给药4周后随时间延长,动物肺组织内的炎性渗出及肺纤维化病变略有减轻。
比较医学
博莱霉素诱发的肺纤维化病变,其病变范围与程度受药物浓度影响较大。此模型在病变程度与范围方面与人类肺纤维化病变有差异,这种差异主要表现在动物肺组织内的纤维化病灶不均一,以及炎症反应程度及炎症细胞类型上。造模后动物的旋转及病理取材部位的正确选择对肺纤维化病变的判断具有重要意义。
平阳霉素致肺纤维化
动物的种属、品系:Wistar大鼠
动物性别:雄性
动物年龄:4~5周龄
动物体重:180~200g
制备环境:SPF级
制备方法:
1)、将大鼠用水合氯醛 0.3ml/100g体重腹腔内注射麻醉,将大鼠仰卧固定于实验台,开口器固定口腔;
2)、模型组大鼠缓慢注入平阳霉素,立即旋转动物,使药液在肺内均匀分布。

判定指标:
1)血气分析检测
2)血浆及肺组织匀浆内皮素含量测定
3)肺组织病理学检查。
晶莱生物服务流程
收费标准/服务周期/提供结果:
欢迎咨询详谈,我们会根据您的方案及需求制定详细的服务协议。
更多实验技术服务请浏览网站其他内容,或来电咨询!
做实验,找晶莱!您的科研生涯,我们一路相伴!
【平台项目开展范围】慢病毒,腺病毒,RNAi类,分子生物实验,病理实验,免疫学实验,细胞实验,动物实验,蛋白组学实验,芯片类实验,并为广大客户朋友们提供课题设计指导、基金申请指导等服务。
【北京公司】北京经济技术开发区科创十三街12号院德为科技园1号楼5层
【长沙公司】长沙市高新区麓谷大道627号新长海中心A1-1203室
【晶莱生物】已开展了数千个实验外包项目。我们专注于医学课题研究,已从课题申请、方案设计、试剂采购、模型构造、标本检测、数据分析,各个环节积累了数千个成功案例经验,为数千个来自临床的科研工作者解决了大量的科研问题。更多相关实验服务信息请咨询晶莱生物
风险提示:丁香通仅作为第三方平台,为商家信息发布提供平台空间。用户咨询产品时请注意保护个人信息及财产安全,合理判断,谨慎选购商品,商家和用户对交易行为负责。对于医疗器械类产品,请先查证核实企业经营资质和医疗器械产品注册证情况。
- 作者
- 内容
- 询问日期
文献和实验肺纤维化模型简介: 博莱霉素是具有多种抗肿瘤作用的多组分复合抗生素,其毒副作用之一是引起肺纤维化。由于病理组织学改变与人类肺纤维化最为接近,故被广泛用于诱导肺纤维化模型。 气管内给药是最为常用的给药途径,方法是是BLM进入动物气管后立即通过直立旋转等手段,使药物均匀分布于肺组织,导致肺部病变发生PF。气管给药可以是一次性的,也可以是重复多次的。其中使药物进入动物气管内有三种方法:1.直接支气管插管,然后滴入BLM。2.麻醉动物动物,手术剖开颈部
半保守复制,单链环状 DNA轮回旋转。这就是滚环模型。采取这种复制方式的例子仅限于噬菌体φ X174, P2·λ(感染后期的)等。高等生物,尤其是两栖类, rRNA基因的放大现象也是滚环模型复制。
过抑制小鼠 SERPINB10 基因表达。发现屋 尘螨 HDM 诱导的气道炎症和 Th2 反应有所 缓解,HDM 诱导的 Th2 细胞因子分泌和 HDM 特异性 IgE 水平显著降低,且诱导了 Th2 的凋亡增加。 血清型:AAV6 注射方式:气管内注射 病毒滴度:6.32x1012 vp/ml 30 μl 靶向部位:肺 动物模型:6-8 周龄 C57BL/6J 雌性小鼠 2019 年 2 月,上海交通大学医学院附属上 海总医院重症医学科在 Cell Death and Disease 上发是表
技术资料暂无技术资料 索取技术资料










