IHC是应用免疫学基本原理抗原抗体反应,即抗原与抗体特异性结合的原理,通过化学反应使标记抗体的显色剂(荧光素、酶、金属离子、同位素)显色来确定组织细胞内抗原(多肽和蛋白质),对其进行定位、定性及相对定量的研究。普健生物提供石蜡切片和冰冻切片服务。
万千商家帮你免费找货
0 人在求购买到急需产品
- 详细信息
- 用户评价
- 文献和实验
- 技术资料
- 提供商:
普健生物(武汉)科技有限公司
- 服务名称:
IHC
- 规格:
次
服务简介
服务优势
1.进口切片仪器,切片质量可靠。
2.优化的实验步骤,确保排除假阳性,假阴性。
3.实验标本长期保存。
服务内容
| 服务项目 |
客户提供 | 服务内容 | 服务周期 | 交付内容 |
| IHC服务 |
组织或切片 待测抗原信息 待测抗原表达位置 |
组织固定和包埋 切片并固定 脱蜡 抗原修复 免疫组织化学染色,复染 脱水,封片 显微镜观察 |
2-3周 |
免疫组化切片 实验报告 |
案例展示

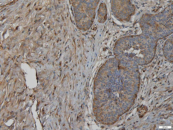
小鼠肿瘤组织的OCN的IHC检测
风险提示:丁香通仅作为第三方平台,为商家信息发布提供平台空间。用户咨询产品时请注意保护个人信息及财产安全,合理判断,谨慎选购商品,商家和用户对交易行为负责。对于医疗器械类产品,请先查证核实企业经营资质和医疗器械产品注册证情况。
用户评价
暂无用户评价
文献和实验该产品被引用文献
- Bifidobacterium-mediated high-intensity focused ultrasound for solid tumor therapy: comparison of two nanoparticle delivery methods
- Evaluation of differentially expressed microRNAs in vitrified oocytes by next generation sequencing
- Activated PI3K/AKT Signaling Pathway Associates with Oxidative Stress and Impaired Developmental Potential of Vitrified-Thawed Oocytes
- Inhibiting SLC26A4 reverses cardiac hypertrophy in H9C2 cells and in rats
- Protein profile of Dabry’s Sturgeon (Acipenser dabryanus) spermatozoa and relationship to sperm quality
- Nobiletin selectively inhibits oral cancer cell growth by promoting apoptosis and DNA damage in vitro
- Cyclin D1 silencing impairs DNA double strand break repair, sensitizes BRCA1 wildtype ovarian cancer cells to olaparib
- SOX2 inhibits cell proliferation and metastasis,promotes apoptotic by downregulating CCND1 and PARP in gastric cancer
- Variability in the protein profiles in spermatozoa of two sturgeon species
- Constitutive activation of STAT3 and cyclin D1 overexpression contribute to proliferation,migration and invasion in gastric cancer cells
- "Individual phosphorylation sites at the C-terminus of the apelin receptor
- play different roles in signal transduction"
- 11 β ‑hydroxysteroid dehydrogenase‑1 is associated with the activation of hepatic stellate cells in the development of hepatic fibrosis
- Pyk2/MCU Pathway as a New Target for Reversing Atherosclerosis
- An optimized and robust SARS-CoV-2 pseudovirus system for viral entry research
- Multi-omics analysis reveals the interaction between the complement system and the coagulation cascade in the development of endometriosis
- A Sensitive and High-Throughput Flow Cytometry-Based Assay for Measuring Antibody Neutralization of Human Adenovirus Type 3
- GOLM1 suppresses autophagy-mediated anti-tumor immunity in hepatocellular carcinoma
- Elevated lymphotoxin-α (TNFβ) is associated with intervertebral disc degeneration
- ENAM gene associated with T classification and inhibits proliferation in renal clear cell carcinoma
- A Sensitive and High-Throughput Flow Cytometry-Based Assay for Measuring Antibody Neutralization of Human Adenovirus Type 3
- Identification of ALDH3A2 as a novel prognostic biomarker in gastric adenocarcinoma using integrated bioinformatics analysis
- Cutting Edge: EPHB2 Is a Coreceptor for Fungal Recognition and Phosphorylation of Syk in the Dectin-1 Signaling Pathway
- Shrimp Plasma MANF Works as an Invertebrate Anti-Inflammatory Factor via a Conserved Receptor Tyrosine Phosphatase
- Multiple SARS-CoV-2 Variants Exhibit Variable Target Cell Infectivity and Ability to Evade Antibody Neutralization
- Cancer cell-expressed BTNL2 facilitates tumour immune escape via engagement with IL-17A-producing γδ T cells
- Kansl1 haploinsufficiency impairs autophagosome-lysosome fusion and links autophagic dysfunction with Koolen-de Vries syndrome in mice
- Antibody engineering improves neutralization activity against K417 spike mutant SARS-CoV-2 variants
- Effects of β-Asarone on Ischemic Stroke in Middle Cerebral Artery Occlusion Rats by an Nrf2-Antioxidant Response Elements (ARE) Pathway-Dependent Mechanism
技术资料需要更多技术资料 索取更多技术资料
研选
IHC
询价











