万千商家帮你免费找货
0 人在求购买到急需产品
- 详细信息
- 用户评价
- 文献和实验
- 技术资料
- 服务名称:
杆状病毒-昆虫表达系统
- 提供商:
普健生物
- 规格:
重组蛋白定制服务
服务简介
昆虫杆状病毒表达系统 (BEVS) 是一种利用杆状病毒作为外源基因的载体,通过感染昆虫细胞或者昆虫幼虫来表达外源蛋白的系统,是重要的真核表达系统之一。
1.昆虫杆状病毒表达系统的优势:
a.杆状病毒安全性好
b.携带外源基因的容量大
c.外源目的蛋白质表达水平高
d.表达的真核基因产品可以进行正确的折叠与修饰,因而具有良好的生物活性。
2.与哺乳细胞相比昆虫表达系统的优势:
a.培养条件相对简单,不需要CO2
b.不容易被细菌污染
c.能进行蛋白翻译后糖基化修饰
d.大规模生产条件简单,更易获得大量蛋白
| Vector | Features |
| pFastBac1 | Strong AcMNPV polyhedrin (PH) promoter for high level protein expression Large multiple cloning site for simplified cloning |
| pFastBacHT | Strong polyhedrin (PH) promoter for high-level protein expression N-terminal 6His tag for purification of recombinant fusion proteins using metal-chelating resin and a TEV protease cleavage site for removal of the 6His tag following protein purification Vector supplied in 3 reading frames for simplified cloning |
| pFastBacDual | Two strong baculovirus promoters (PH and p10) to allow simultaneous expression of two proteins Two large multiple cloning sites for simplified cloning |
| 细胞 | 来源 | 用途 |
| Sf9 | Sf9细胞系克隆分IPLBSF21-AE(Sf21),来源于秋蝇蠕虫(草地夜蛾)蛹的卵巢组织 | 适于转染、纯化、生产高滴度病毒、铺板以及表达重组蛋白 |
| Sf21 | Sf21细胞衍生于IPLBSF-21细胞系,也来源于秋蝇蠕虫(草地夜蛾)蛹的卵巢组织 | 也适于转染、纯化、生产高滴度病毒、铺板以及表达重组蛋白。在一些结构上Sf21细胞可能比Sf9细胞表达蛋白量高 |
| Hi5 | Hi5细胞系源于博伊斯汤普森研究所对植物的研究和源于白菜尺蠖卵巢细胞,粉纹夜蛾细胞 | Hi5细胞表达重组病毒性能优越, 经常用于转染和空斑纯化,也适用于表达分泌型重组蛋白 |
| S2 | S2是一种果蝇晚期胚胎细胞。其中多为雌性四倍体细胞,也有双倍体细胞 | 比较适合重组蛋白的表达 |
服务优势
1.普健生物利用经典Bac-to-Bac技术,打造了一个快速简便高效的杆状病毒表达平台;该技术能够快速地产生重组病毒,而且不需要繁琐的空斑分析,大大提高了效率
2.蛋白生产的周期短,通量大。可以实现细胞从小规模培养到大规模发酵的过程,使得蛋白产物甚至可以达到100mg/L的级别
3.提供免费的病毒粒子扩增和储存服务,储存期长达2年
服务内容
| 服务内容 | 客户提供 | 服务步骤 | 服务周期 | 交付内容 |
| 昆虫杆状病毒表达系统 | 基因序列 载体 |
基因合成及密码子优化(可选) 载体构建 病毒包装及扩增 表达纯化测试 大规模发酵及纯化 |
6-8周 | 蛋白样品 技术服务报告 |
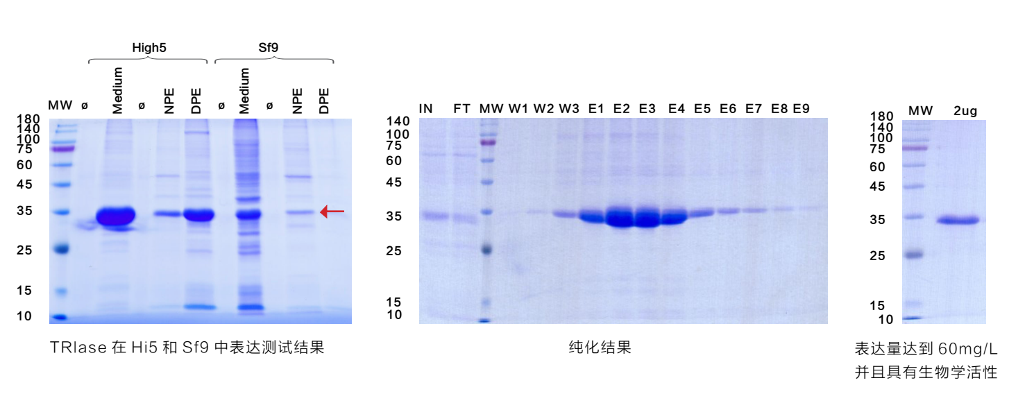
案例展示
昆虫系统表达绵毛嗜热丝菌 (Thermomyces lanuginosus)TRIase 酶蛋白

普健生物(武汉)科技有限公司于2012年在武汉成立,作为武汉国家生物产业基地指定的光谷抗体发现与筛选公共服务平台,具备优越的技术实力和国际化发展的战略格局,专注于重组蛋白、抗体、诊断原料、抗体药物发现等自主技术平台的建设和下游生物医药产品的战略合作。

公司大楼坐落于东湖新技术开发区神墩四路, 这里绿叶繁茂,道路宽敞,周围有一众生物科技型高新企业。普健生物作为一员加入此处,为周遭增添了一抹亮丽的色彩。

公司立足于生命科学领域,自主建立三大完善的技术服务平台:生命科学研究平台、诊断原料开发平台、抗体药物研发平台。生命科学平台:拥有五大成熟高效的蛋白表达系统(枯草芽孢杆菌、大肠杆菌、酵母、昆虫细胞、哺乳动物细胞),鼠/兔单克隆抗体平台,可提供蛋白表达、分子构建-蛋白表达纯化-结构解析、抗体重组表达、鼠/兔单克隆抗体制备以及相关检测服务。诊断原料开发平台:拥有开放式化学发光自动平台,可缩短研发周期、降低开发成本与技术风险,为广大客户提供各种诊断核心原料开发。抗体药物发现平台以杂交瘤筛选与噬菌体展示技术为主,目前已完成构建并对外提供抗体筛选技术服务的文库有:新冠特异性抗体噬菌体文库、羊驼天然纳米抗体噬菌体文库、兔源天然抗体噬菌体文库、小鼠天然抗体噬菌体文库。同时也开发了大量的重组蛋白、抗体、工具酶、药物对照抗体、工业酶、诊断原料等相关产品。

目前已拥有的自主技术包括:哺乳动物细胞重组蛋白表达系统、稳定细胞株构建、噬菌体文库的构建以及淘选、DNA免疫技术、化学发光免疫诊断抗体筛选技术等等。截止目前已成功交付数万例与重组蛋白、抗体相关的技术委托研发,客户以及合作伙伴涵盖了国内外优秀的学术研究机构以及制药公司;并且与FIND(创新诊断基金会)、BAYER(拜耳作物科学)、广州呼吸健康研究院建立合作关系;与青岛大学附属医院医学研究转化中心,苏州系统医学研究所,广州再生医学与健康广东省实验室建立战略合作关系。
风险提示:丁香通仅作为第三方平台,为商家信息发布提供平台空间。用户咨询产品时请注意保护个人信息及财产安全,合理判断,谨慎选购商品,商家和用户对交易行为负责。对于医疗器械类产品,请先查证核实企业经营资质和医疗器械产品注册证情况。
用户评价
暂无用户评价
文献和实验- Antibodies to a Full-Length VAR2CSA Immunogen Are Broadly Strain-Transcendent but Do Not Cross-Inhibit Different Placental-Type Parasite Isolates
- "ОЦЕНКА IgG-ЗАВИСИМОГО ГУМОРАЛЬНОГО И КЛЕТОЧНОГО ИММУНИТЕТА У ЛИЦ, ПЕРЕНЕСШИХ COVID-19, И У ЗДОРОВЫХ ДОБРОВОЛЬЦЕВ"
- ОПРЕДЕЛЕНИЕ УРОВНЯ НЕЙРОСПЕЦИФИЧЕСКИХ АУТОАНТИТЕЛ У БОЛЬНЫХ COVID-19: ПРЕДВАРИТЕЛЬНОЕ СООБЩЕНИЕ
- Multi-omics analysis reveals the interaction between the complement system and the coagulation cascade in the development of endometriosis
- Real-time imaging of cell-surface proteins with antibody-based fluorogenic probes
- Salt-inducible kinases inhibitor HG-9-91-01 targets RIPK3 kinase activity to alleviate necroptosis-mediated inflammatory injury
- All-solid-state SARS-CoV-2 protein biosensor employing colloidal quantum dots-modified electrode
- Construction of the Enterococcal Strain Expressing Immunogenic Fragment of SARS-Cov-2 Virus
- Comparison of immune responses induced by two or three doses of an alum-adjuvanted inactivated SARS-CoV-2 vaccine in mice
【专题讨论】杆状病毒——昆虫细胞蛋白表达系统,影响蛋白表达的因素?
不知道有多少人成功用杆状病毒——昆虫细胞表达系统成功进行过蛋白表达?我最近表达一段病毒的非结构蛋白nsp-6,构建的重组Bacmid质粒经PCR鉴定正确,可是进行表达时,却未见蛋白表达,同时进行的试剂盒对照(含CAT基因的重组细胞中则有较好的表达。 我听说约有70%的蛋白在原核表达系统中是不表达的,但不知道这样的情况会不会发生在我用的昆虫细胞表达系统,除了实验操作失误方面的原因,还有什么因素是不使蛋白表达的,请大家讨论一下。 下面是我的实验过程,请高手指教,同时希望也给新手一个指导
法和TK基因相比较略显繁琐,需经连续传代,但其不用改造辅助病毒,只需在转移载体中引入Neo基因即可。其它如 PCR、DNA斑点杂交及有限稀释法等,也可用于筛选重组病毒。以上方法各具特点。虽然有些新方法需一定的条件,但一旦建立起来后就可方便、迅速地得到重组病毒,为杆状病毒表达系统的普及应用创造了良好的条件 4、影响外源蛋白表达的因素 利用杆状病毒昆虫表达系统表达外源基因的理论基础,就是杆状病毒的基因表达与调控,但有关病毒晚期基因高表达和其调控机制目前还不十分清楚。利用多角体基因的启动子表达外源
Gateway技术提供以下可能: 通过去除冗长的亚克隆步骤节省您的时间 同时将您的基因转移到多个表达系统 在任何您选择的系统――体外,细菌,酵母,昆虫,或哺乳动物――分析表达 一、一种更好的克隆方法 Gateway技术能够克隆一个或多个基因进入到任何蛋白表达系统(图1)。这项强大的体外技术大大地简化了基因克隆和亚克隆的步骤,而同时典型的克隆效率高达95%或更高。当基因在目的表达载体之间快速简便的穿梭时,还可以保证正确的方向和阅读框。Gateway也有助于进行带不同数目
技术资料需要更多技术资料 索取更多技术资料










