相关产品推荐更多 >
万千商家帮你免费找货
0 人在求购买到急需产品
- 详细信息
- 文献和实验
- 技术资料
- 免疫原:
Recombinant Human Tie1 protein
- 亚型:
IgG2b
- 形态:
Liquid
- 保存条件:
Store as concentrated solution. Centrifuge briefly prior to opening vial. For short-term storage (1-2 weeks), store at 4ºC. For long-term storage, aliquot and store at -20ºC or below. Avoid multiple freeze-thaw cycles.
- 克隆性:
Monoclonal
- 标记物:
Unconjugated
- 适应物种:
Human
- 保质期:
12 months from the shipping date of the product.
- 抗原来源:
Human
- 目录编号:
GTX02146
- 级别:
Primary Antibodies
- 库存:
Available
- 供应商:
GeneTex
- 宿主:
Mouse
- 应用范围:
IHC-P
- 浓度:
Batch dependent (Please refer to the vial label for the specific concentration.)
- 靶点:
No cross-reactivity with human Tie2 protein in ELISA assay.
- 抗体英文名:
TIE1 antibody [8D2D2]
- 抗体名:
TIE1 抗体 [8D2D2]
- 规格:
100 μl
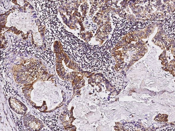
IHC-P analysis of human stomach carcinoma tissue section using GTX02146 TIE1 antibody [8D2D2].
Dilution : 1:60
IHC-P analysis of human liver(cirrhosis) tissue section using GTX02146 TIE1 antibody [8D2D2].
Dilution : 1:60
风险提示:丁香通仅作为第三方平台,为商家信息发布提供平台空间。用户咨询产品时请注意保护个人信息及财产安全,合理判断,谨慎选购商品,商家和用户对交易行为负责。对于医疗器械类产品,请先查证核实企业经营资质和医疗器械产品注册证情况。
文献和实验【资源】蛋白质专家巡回演讲——成都站(更新原版PPT下载地址)
proteins.rar 5. Antibody purification.rar 6.微量液相色谱分离蛋白和多肽.rar 8D8D8D8D8D PDF版本下载地址: PDF压缩版.rar
北京、上海及其周围的战友们注意了! 安玛西亚公司将在上海(9月15日)与北京(9月18日)举办《生物技术下游工艺经验交流会》。 到时大家一定要去啊,可是有免费午餐啊。8D8D8D 说不定我们还会在上海会场见面呢,来宾中最帅的那个就是我啊,呵呵~~~~:D:D:D (y)(y)(y)(y)(y)(y)(y)(y)(y)(y)(y)(y)(y)(y)(y)(y)(y)(y)(y)(y)(y)(y) 以下文字摘自安玛西亚寄给本人的邀请函 生物技术下游工艺经验
Studies of the Ubiquitin Proteasome System
) 6% to 8% SDS‐PAGE minigels (unit 6.1 ) Anti‐ubiquitin antibody ( protocol 31 ; for immunoblot detection) Boiling water bath Additional reagents and equipment for SDS
技术资料暂无技术资料 索取技术资料









![RanGAP1 antibody [N1N3]](https://img1.dxycdn.com/2022/0328/803/7321137572960300453-14.jpg!wh200)

