相关产品推荐更多 >
万千商家帮你免费找货
0 人在求购买到急需产品
- 详细信息
- 文献和实验
- 技术资料
- 免疫原:
Recombinant human TACSTD1 protein
- 亚型:
IgG1
- 形态:
Liquid
- 保存条件:
Store as concentrated solution. Centrifuge briefly prior to opening vial. For short-term storage (1-2 weeks), store at 4ºC. For long-term storage, aliquot and store at -20ºC or below. Avoid multiple freeze-thaw cycles.
- 克隆性:
Monoclonal
- 标记物:
Unconjugated
- 适应物种:
Human
- 保质期:
12 months from the shipping date of the product.
- 抗原来源:
Human
- 目录编号:
GTX34705
- 级别:
Primary Antibodies
- 库存:
Available
- 供应商:
GeneTex
- 宿主:
Mouse
- 应用范围:
WB, ICC/IF, IHC-P, FACS
- 浓度:
0.2 mg/ml (Please refer to the vial label for the specific concentration.)
- 靶点:
We do not recommend use of this product for Mouse,Rat.
- 抗体英文名:
EpCAM antibody [EGP40/837]
- 抗体名:
EpCAM 抗体 [EGP40/837]
- 规格:
100 μg
ICC/IF analysis of SK-OV-3 cells using GTX34705 EpCAM antibody [EGP40/837].
Green : Primary antibody
Blue : nucleus
FACS analysis of MCF-7 cells using GTX34705 EpCAM antibody [EGP40/837].
Black : Blank
Green : Isotype Control
Red : Primary antibody
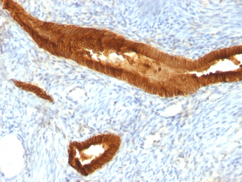
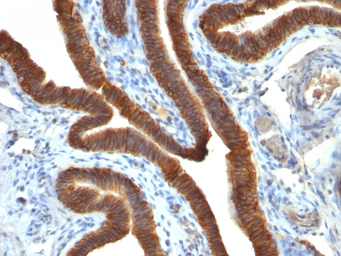
IHC-P analysis of human colon carcinoma tissue using GTX34705 EpCAM antibody [EGP40/837].
IHC-P analysis of human endometrial cancer tissue using GTX34705 EpCAM antibody [EGP40/837].
ICC/IF analysis of MCF-7 cells using GTX34705 EpCAM antibody [EGP40/837].
Green : Primary antibody
Red : nucleus
WB analysis of HCT116 cell lysate using GTX34705 EpCAM antibody [EGP40/837].
IHC-P analysis of human ovarian carcinoma tissue using GTX34705 EpCAM antibody [EGP40/837].
风险提示:丁香通仅作为第三方平台,为商家信息发布提供平台空间。用户咨询产品时请注意保护个人信息及财产安全,合理判断,谨慎选购商品,商家和用户对交易行为负责。对于医疗器械类产品,请先查证核实企业经营资质和医疗器械产品注册证情况。
文献和实验STM:广州医科大学刘铭/谢茂彬合作发现肝细胞癌的新潜在治疗靶点 Claudin 6
组于 Science Translational Medicine 杂志(STM)在线发表题为 Targeting tumor lineage plasticity in hepatocellular carcinoma using an anti-CLDN6 antibody-drug conjugate 的研究论文。这项研究揭示了细胞紧密连接(tight junction)蛋白 Claudin 6 通过调控肝癌细胞的谱系可塑性(lineage plasticity),促进肝癌进展与耐药的机制,并初步报道
Phage‐Based Expression Cloning to Identify Interacting Proteins
the interacting protein. This technique leads directly to the isolation of a cDNA encoding the interacting protein, bypassing the need for labor?intensive protein purification, microsequencing, or antibody production.
[资源] 所有的看家基因(housekeeping genes)列表+引物设计服务
Homo sapiens matrix metalloproteinase-like 1 (MMPL1), mRNA 695 NM_001950 Homo sapiens E2F transcription factor 4, p107/p130-binding (E2F4), mRNA 956 NM_003815 Homo sapiens a disintegrin and metalloproteinase domain 15 (metargidin) (ADAM15), mRNA
技术资料暂无技术资料 索取技术资料





![Nkx3.1 antibody [4H4]](https://img1.dxycdn.com/2022/0328/668/3565037139067500453-14.jpg!wh200)


![RBM26 antibody [C1C2], Internal](https://img1.dxycdn.com/2022/0328/741/6536081258633300453-14.jpg!wh200)

