相关产品推荐更多 >
万千商家帮你免费找货
0 人在求购买到急需产品
- 详细信息
- 文献和实验
- 技术资料
- 免疫原:
Recombinant Human Complement C5a protein
- 亚型:
IgG
- 形态:
Liquid
- 保存条件:
Store as concentrated solution. Centrifuge briefly prior to opening vial. For short-term storage (1-2 weeks), store at 4ºC. For long-term storage, aliquot and store at -20ºC or below. Avoid multiple freeze-thaw cycles.
- 克隆性:
Monoclonal
- 标记物:
Unconjugated
- 适应物种:
Human
- 保质期:
12 months from the shipping date of the product.
- 抗原来源:
Human
- 目录编号:
GTX02119
- 级别:
Primary Antibodies
- 库存:
Available
- 供应商:
GeneTex
- 宿主:
Rabbit
- 应用范围:
IHC-P
- 浓度:
Batch dependent (Please refer to the vial label for the specific concentration.)
- 靶点:
It has cross-reactivity with human A2M protein in ELISA assay.
- 抗体英文名:
C5 antibody [215]
- 抗体名:
C5 抗体 [215]
- 规格:
100 μl
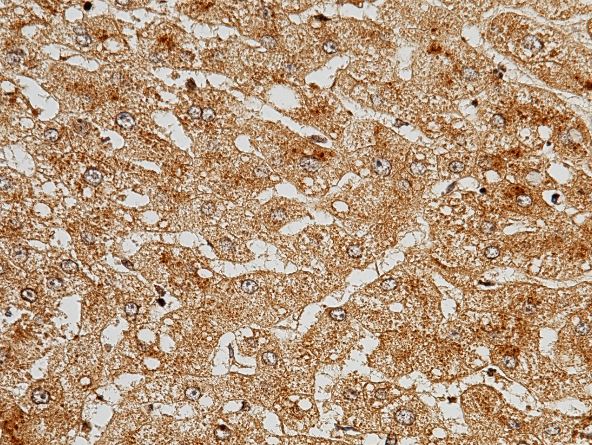
IHC-P analysis of human cirrhosis tissue section using GTX02119 C5 antibody [215].
Dilution : 1:200
风险提示:丁香通仅作为第三方平台,为商家信息发布提供平台空间。用户咨询产品时请注意保护个人信息及财产安全,合理判断,谨慎选购商品,商家和用户对交易行为负责。对于医疗器械类产品,请先查证核实企业经营资质和医疗器械产品注册证情况。
文献和实验补体成分 C5(C5a/C5b) 补体成分:C5 血清浓度(μg/ml):70 分子量(kDa):190 亚单位(链)及分子量(kDa):α∶115;β∶75 激活产物:C5a;C5b 生物学活性:C5a 强的过敏毒素作用、趋化作用、促代谢作用及免疫调节作用 C5b
人补体C5 (C5)ELISA 试剂盒 ( 用于血清、血浆、细胞培养上清液和其它生物体液内 ) 原理 本实验采用双抗体夹心 ABC-ELISA 法。用抗人 C5 单抗包被于酶标板上,标准品和样品中的 C5与单抗结合,加入生物素化的抗人 C5 ,形成免疫复合物连接在板上,辣根过氧化物酶标记的 Streptavidin 与生物素结合,加入底物工作液显蓝色,最后加终止液硫酸,在 450nm 处测
人补体片段C5a (C5a)ELISA 试剂盒 ( 用于血清、血浆、细胞培养上清液和其它生物体液内 ) 原理 本实验采用双抗体夹心 ABC-ELISA 法。用抗人 C5a 单抗包被于酶标板上,标准品和样品中的 C5a与单抗结合,加入生物素化的抗人 C5a ,形成免疫复合物连接在板上,辣根过氧化物酶标记的 Streptavidin 与生物素结合,加入底物工作液显蓝色,最后加终止液硫酸,在 450
技术资料暂无技术资料 索取技术资料





![Nucleolin antibody [NCL/902]](https://img1.dxycdn.com/2022/0328/759/8830830642760700453-14.jpg!wh200)





