相关产品推荐更多 >
万千商家帮你免费找货
0 人在求购买到急需产品
- 详细信息
- 文献和实验
- 技术资料
- 免疫原:
Recombinant Human Neuroserpin / SerpinI1 protein
- 亚型:
IgG1
- 形态:
Liquid
- 保存条件:
Store as concentrated solution. Centrifuge briefly prior to opening vial. For short-term storage (1-2 weeks), store at 4ºC. For long-term storage, aliquot and store at -20ºC or below. Avoid multiple freeze-thaw cycles.
- 克隆性:
Monoclonal
- 标记物:
Unconjugated
- 适应物种:
Human
- 保质期:
12 months from the shipping date of the product.
- 抗原来源:
Human
- 目录编号:
GTX02085
- 级别:
Primary Antibodies
- 库存:
Available
- 供应商:
GeneTex
- 宿主:
Mouse
- 应用范围:
IHC-P
- 浓度:
Batch dependent (Please refer to the vial label for the specific concentration.)
- 靶点:
Neuroserpin
- 抗体英文名:
Neuroserpin antibody [08]
- 抗体名:
Neuroserpin 抗体 [08]
- 规格:
100 μl
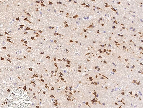
IHC-P analysis of human brain tissue section using GTX02085 Neuroserpin antibody [08].
Dilution : 1:1000
风险提示:丁香通仅作为第三方平台,为商家信息发布提供平台空间。用户咨询产品时请注意保护个人信息及财产安全,合理判断,谨慎选购商品,商家和用户对交易行为负责。对于医疗器械类产品,请先查证核实企业经营资质和医疗器械产品注册证情况。
文献和实验chain monoclonal antibody conjugated to horse-radish peroxidase (LO-MK1, LO/IMEX) 8. reveal with o-phenylenediamine dihydrochloride (OPD) in revelation solution. B. SOLUTIONS 1. PBS-PF (paraformaldehyde), 2% 2. PBS-tween 20, 0.05% 3. glycine (x
. METHODS: Two reviewers searched four databases, critiqued quality. A hierarchical Bayesian meta-analysis correcting for imperfect reference standards was used. Based on components of the antigen–antibody response, 17 studies
E L I S A w i t h p l a t e l e t s
for 1 hour with a 1 :1000 dilution of rat IgG2 a anti-mouse kappa chain monoclonal antibody conjugated to horse-radish peroxidase (LO-MK1 , LO/IMEX) reveal with o-phenylenediamine dihydrochloride (OPD) in revelation solution. SOLUTIONS
技术资料暂无技术资料 索取技术资料





![EpCAM antibody [G8.8]](https://img1.dxycdn.com/2022/0328/684/7733377294326500453-14.jpg!wh200)



![DNA ligase III antibody [C2C3], C-term](https://img1.dxycdn.com/2022/0328/262/3623358328494200453-14.jpg!wh200)

