相关产品推荐更多 >
万千商家帮你免费找货
0 人在求购买到急需产品
- 详细信息
- 文献和实验
- 技术资料
- 免疫原:
Recombinant Human CD46 protein
- 亚型:
IgG1
- 形态:
Liquid
- 保存条件:
Store as concentrated solution. Centrifuge briefly prior to opening vial. For short-term storage (1-2 weeks), store at 4ºC. For long-term storage, aliquot and store at -20ºC or below. Avoid multiple freeze-thaw cycles.
- 克隆性:
Monoclonal
- 标记物:
Unconjugated
- 适应物种:
Human
- 保质期:
12 months from the shipping date of the product.
- 抗原来源:
Human
- 目录编号:
GTX02115
- 级别:
Primary Antibodies
- 库存:
Available
- 供应商:
GeneTex
- 宿主:
Mouse
- 应用范围:
IHC-P
- 浓度:
Batch dependent (Please refer to the vial label for the specific concentration.)
- 靶点:
CD46
- 抗体英文名:
CD46 antibody [1E3D1]
- 抗体名:
CD46 抗体 [1E3D1]
- 规格:
100 μl
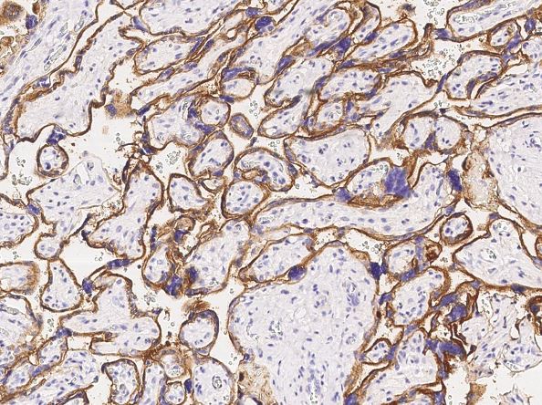
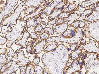
IHC-P analysis of human placenta tissue section using GTX02115 CD46 antibody [1E3D1].
Dilution : 1:60
风险提示:丁香通仅作为第三方平台,为商家信息发布提供平台空间。用户咨询产品时请注意保护个人信息及财产安全,合理判断,谨慎选购商品,商家和用户对交易行为负责。对于医疗器械类产品,请先查证核实企业经营资质和医疗器械产品注册证情况。
文献和实验secondary antibody review -- data from 99 publications
cytometry used as a control to detect cell responses targeted antigen 7 Alexa Fluor 488 7 Cy3 8 goat IgG Alexa Fluor 488 1:2000 detect antibody binding in human embryonic kidney 293T cells Invitrogen 9 donkey
【共享】Methods in molecular biology 下载
Protocols http://3.mihd.net/dl/7908abc9edc3ff616d1e24b7aeb83c2e/46c92e7d/3-lkytdq-14359732/gene_transfer_and_expression_protocols.www.forumakademi.org.rar j1234561整理 rapidshare password: www.bioboss.com Vol 8 Practical Molecular Virology http
Antibody AP8435a DUSP4 N-term Antibody AP8456b PPM1D C-term Antibody AP8414a PTPgamma Center Antibody AP8436b DUSP5 C-term Antibody AP8456a PPM1D N-term Antibody AP8426a PTPH1 Center Antibody AP8436a DUSP5 N-term Antibody AP8457b PPM1E
技术资料暂无技术资料 索取技术资料





![Bcl-2 antibody [8E12]](https://img1.dxycdn.com/2022/0328/435/4069779982827500453-14.jpg!wh200)



![O-GlcNAc transferase antibody [GT678]](https://img1.dxycdn.com/2022/0329/583/3306026063185020453-14.jpg!wh200)

