相关产品推荐更多 >
万千商家帮你免费找货
0 人在求购买到急需产品
- 详细信息
- 文献和实验
- 技术资料
- 免疫原:
Recombinant protein encompassing a sequence within the center region of human FHL2. The exact sequence is proprietary.
- 亚型:
IgG
- 形态:
Liquid
- 保存条件:
Store as concentrated solution. Centrifuge briefly prior to opening vial. For short-term storage (1-2 weeks), store at 4ºC. For long-term storage, aliquot and store at -20ºC or below. Avoid multiple freeze-thaw cycles.
- 克隆性:
Polyclonal
- 标记物:
Unconjugated
- 适应物种:
Mouse, Zebrafish
- 保质期:
12 months from the shipping date of the product.
- 抗原来源:
Human
- 目录编号:
GTX114071
- 级别:
Primary Antibodies
- 库存:
Available
- 供应商:
GeneTex
- 宿主:
Rabbit
- 应用范围:
WB, IHC-P, IHC-Wm
- 浓度:
0.79 mg/ml (Please refer to the vial label for the specific concentration.)
- 靶点:
FHL2
- 抗体英文名:
FHL2 antibody
- 抗体名:
FHL2 抗体
- 规格:
100 μl/25 μl
| 规格: | 100 μl | 产品价格: | ¥4000.0 |
|---|---|---|---|
| 规格: | 25 μl | 产品价格: | ¥1700.0 |
Mouse tissue extract (50 μg) was separated by 12% SDS-PAGE, and the membrane was blotted with FHL2 antibody (GTX114071) diluted at 1:1000. The HRP-conjugated anti-rabbit IgG antibody (GTX213110-01) was used to detect the primary antibody.
Immunohistochemical analysis (whole mount) of zebrafish embryo, using FHL2 antibody (GTX114071) at 1:200 dilution.
FHL2 antibody detects FHL2 protein on zebrafish by whole mount immunohistochemical analysis.
Sample: 2 days-post-fertilization zebrafish embryo.
FHL2 antibody (GTX114071) dilution: 1:100.
Immunohistochemical analysis of paraffin-embedded zebrafish tissue, using FHL2 antibody (GTX114071) at 1:300 dilution.
Sample (30 μg of whole cell lysate)
A: zebrafish heart
12% SDS PAGE
GTX114071 diluted at 1:1000
FHL2 antibody detects FHL2 protein at cytosol and nucleus on mouse heart by immunohistochemical analysis.
Sample: Paraffin-embedded mouse heart.
FHL2 antibody (GTX114071) dilution: 1:500.
Antigen Retrieval: Trilogy™ (EDTA based, pH 8.0) buffer, 15min
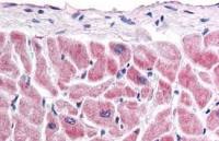
FHL2 antibody detects FHL2 protein at cytosol and nucleus on mouse muscle by immunohistochemical analysis.
Sample: Paraffin-embedded mouse muscle.
FHL2 antibody (GTX114071) dilution: 1:500.
Antigen Retrieval: Trilogy™ (EDTA based, pH 8.0) buffer, 15min
风险提示:丁香通仅作为第三方平台,为商家信息发布提供平台空间。用户咨询产品时请注意保护个人信息及财产安全,合理判断,谨慎选购商品,商家和用户对交易行为负责。对于医疗器械类产品,请先查证核实企业经营资质和医疗器械产品注册证情况。
文献和实验Ahamad A et al., Front Neurosci 2020 (PMID:32256309)
技术资料暂无技术资料 索取技术资料







![CD19 antibody [Bu12]](https://img1.dxycdn.com/2022/0328/891/0866029874324400453-14.jpg!wh200)

![Giantin antibody [TA10] (ATTO-488)](https://img1.dxycdn.com/2022/0328/863/9652626915893600453-14.jpg!wh200)
