相关产品推荐更多 >
万千商家帮你免费找货
0 人在求购买到急需产品
- 详细信息
- 文献和实验
- 技术资料
- 免疫原:
Recombinant Mouse CEACAM1 / CD66a protein
- 亚型:
IgG
- 形态:
Liquid
- 保存条件:
Store as concentrated solution. Centrifuge briefly prior to opening vial. For short-term storage (1-2 weeks), store at 4ºC. For long-term storage, aliquot and store at -20ºC or below. Avoid multiple freeze-thaw cycles.
- 克隆性:
Monoclonal
- 标记物:
Unconjugated
- 适应物种:
Mouse
- 保质期:
12 months from the shipping date of the product.
- 抗原来源:
Mouse
- 目录编号:
GTX02043
- 级别:
Primary Antibodies
- 库存:
Available
- 供应商:
GeneTex
- 宿主:
Rabbit
- 应用范围:
IHC-P, IHC-Fr
- 浓度:
Batch dependent (Please refer to the vial label for the specific concentration.)
- 靶点:
We do not recommend use of this product for Human.
- 抗体英文名:
CEACAM1 antibody [030]
- 抗体名:
CEACAM1 抗体 [030]
- 规格:
100 μl
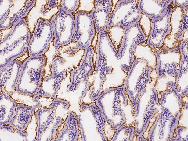
IHC-Fr analysis of mouse small intestine tissue section using GTX02043 CEACAM1 antibody [030].
Dilution : 1:200
IHC-P analysis of mouse intestine tissue section using GTX02043 CEACAM1 antibody [030].
Dilution : 1:200
IHC-P analysis of mouse liver tissue section using GTX02043 CEACAM1 antibody [030].
Dilution : 1:200
风险提示:丁香通仅作为第三方平台,为商家信息发布提供平台空间。用户咨询产品时请注意保护个人信息及财产安全,合理判断,谨慎选购商品,商家和用户对交易行为负责。对于医疗器械类产品,请先查证核实企业经营资质和医疗器械产品注册证情况。
文献和实验「神药」再显威!杨黄浩等让二甲双胍扮演 PD-L1 「单抗」角色,提高治疗效果
ICBs 的抗肿瘤效果。 该研究成果以 Reducing PD-L1 expression with a self-assembled nanodrug: an alternative to PD-L1 antibody for enhanced chemo-immunotherapy. 为题,发表在了 2021 年 1 月 1 日的 Theranostics 上 [1]。 图片来源:Theranostics 研究内容:此前有研究报道,二甲双胍可以抑制肿瘤进展,改善癌症患者的预后和生存率。此外,也有研
CD66a/CD66b/CD66c/CD66d/CD66e/CD66f/CD67分子
)和结构: gp54-72 功 能:可能与成功妊娠有关,保护胎儿免受母体免疫系统的损害 CD67 常用单克隆抗体或代号: 改为CD66b CD66a Aka CEACAM1, biliary glycoprotein, BGP, C-CAM Primordial protein of carcinoembryonic antigen (CEA) family
【共享】Methods in molecular biology 下载
Protein Interactions: Principles and Protocols http://rapidshare.com/files/12453400/030_DNA-Protein_Interactions__1e_1994_MMB_0896032566_.rar Password: econiches Vol 31 Protocols for Gene Analysis http://rapidshare.com/files/10758187/031-Protocols
技术资料暂无技术资料 索取技术资料







![PYK2 antibody [5E2D5]](https://img1.dxycdn.com/2022/0328/846/7168483547047500453-14.jpg!wh200)

![TCR V alpha 2 antibody [F1]](https://img1.dxycdn.com/2022/0328/864/7650378123775500453-14.jpg!wh200)

