相关产品推荐更多 >
万千商家帮你免费找货
0 人在求购买到急需产品
- 详细信息
- 文献和实验
- 技术资料
- 免疫原:
Recombinant Human RAGE / AGER protein
- 亚型:
IgG1
- 形态:
Liquid
- 保存条件:
Store as concentrated solution. Centrifuge briefly prior to opening vial. For short-term storage (1-2 weeks), store at 4ºC. For long-term storage, aliquot and store at -20ºC or below. Avoid multiple freeze-thaw cycles.
- 克隆性:
Monoclonal
- 标记物:
Unconjugated
- 适应物种:
Human
- 保质期:
12 months from the shipping date of the product.
- 抗原来源:
Human
- 目录编号:
GTX02031
- 级别:
Primary Antibodies
- 库存:
Available
- 供应商:
GeneTex
- 宿主:
Mouse
- 应用范围:
IHC-P
- 浓度:
Batch dependent (Please refer to the vial label for the specific concentration.)
- 靶点:
RAGE
- 抗体英文名:
RAGE antibody [02]
- 抗体名:
RAGE 抗体 [02]
- 规格:
100 μl
IHC-P analysis of human lung tissue section using GTX02031 RAGE antibody [02].
Dilution : 1:1000
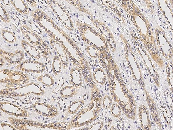
IHC-P analysis of human kidney tissue section using GTX02031 RAGE antibody [02].
Dilution : 1:200
风险提示:丁香通仅作为第三方平台,为商家信息发布提供平台空间。用户咨询产品时请注意保护个人信息及财产安全,合理判断,谨慎选购商品,商家和用户对交易行为负责。对于医疗器械类产品,请先查证核实企业经营资质和医疗器械产品注册证情况。
文献和实验RACE and RAGE Cloning in Parasitic Microbial Eukaryotes
and RAGE, we used to successfully clone partial and full-length ORFs from amitochondriate parasitic microbial eukaryotes. The RACE approach uses cDNA as template for PCR cloning whereas RAGE uses genomic DNA. These two approaches were used to complement
, which was detectable after 3 min of clivorine treatment. The results from the same membrane reprobed with total-p38 antibody demonstrated that the total amount of p38 MAP Kinase in L-02 cells was not changed. We also tested the effect of another pyrrolizidine alkaloid
人晚期糖基化终末产物受体(RAGE)ELISA试剂盒 说明书
上海西唐生物科技有限公司 021-55229872, 65333639 www.westang.com 人 晚期糖基化终末产物受体 ( RAGE )ELISA 试剂盒 ( 用于血清、血浆、细胞培养上清液和尿液、唾液生物体液内 ) 原理 本实验采用双抗体夹心 ABC-ELISA 法。用抗人 RAGE 单抗包被于酶标板上,标准品和样品中的 RAGE与单抗结合,加入生物
技术资料暂无技术资料 索取技术资料










