相关产品推荐更多 >
万千商家帮你免费找货
0 人在求购买到急需产品
- 详细信息
- 文献和实验
- 技术资料
- 免疫原:
Purified recombinant fragment of NCOR1 (aa1-192) expressed in E. Coli.
- 亚型:
IgG1
- 形态:
Liquid
- 保存条件:
Store as concentrated solution. Centrifuge briefly prior to opening vial. For short-term storage (1-2 weeks), store at 4ºC. For long-term storage, aliquot and store at -20ºC or below. Avoid multiple freeze-thaw cycles.
- 克隆性:
Monoclonal
- 标记物:
Unconjugated
- 适应物种:
Human
- 保质期:
12 months from the shipping date of the product.
- 抗原来源:
Human
- 目录编号:
GTX83168
- 级别:
Primary Antibodies
- 库存:
Available
- 供应商:
GeneTex
- 宿主:
Mouse
- 应用范围:
WB, IHC-P, ELISA
- 靶点:
NCOR1
- 抗体英文名:
NCOR1 antibody [7A7A9]
- 抗体名:
NCOR1 抗体 [7A7A9]
- 规格:
100 μl
WB analysis of truncated Trx-NCOR1 recombinant protein (1) using GTX83168 NCOR1 antibody [7A7A9].
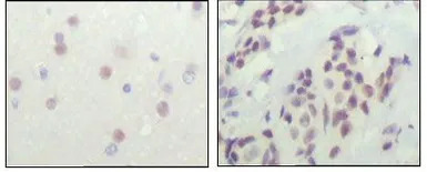
IHC-P analysis of human cerebra (left) and breast carcinoma tissue (right) using GTX83168 NCOR1 antibody [7A7A9].
风险提示:丁香通仅作为第三方平台,为商家信息发布提供平台空间。用户咨询产品时请注意保护个人信息及财产安全,合理判断,谨慎选购商品,商家和用户对交易行为负责。对于医疗器械类产品,请先查证核实企业经营资质和医疗器械产品注册证情况。
文献和实验上海西唐生物科技有限公司 021-55229872, 65333639 www.westang.com 人S100A9 蛋白 ( S100A9 )ELISA 试剂盒 ( 用于血清、血浆、细胞培养上清液和其它生物体液内 ) 原理 本实验采用双抗体夹心 ABC-ELISA 法。用抗人 S100A9 单抗包被于酶标板上,标准品和样品中的 S100A9与单抗结合,加入生物素化的抗人
小鼠S100A9蛋白(S100A9)ELISA试剂盒 说明书
上海西唐生物科技有限公司 021-55229872, 65333639 www.westang.com 小鼠S100A9 蛋白 ( S100A9 )ELISA 试剂盒 ( 用于血清、血浆、细胞培养上清液和其它生物体液内 ) 原理 本实验采用双抗体夹心 ABC-ELISA 法。用抗小鼠 S100A9 单抗包被于酶标板上,标准品和样品中的 S100A9与单抗结合,加入
Immunoprecipitation of PDE2 Phosphorylated and Inactivated by an Associated Protein Kinase
with a protein kinase regulating its activity in an adenosine triphosphate-dependent manner. When native or recombinant PDE2 is immunoprecipitated from PC12 cells using an antibody to the amino terminus in a buffer containing Lubrol 12A9, protease inhibitors
技术资料暂无技术资料 索取技术资料








![Tau (phospho Ser198) antibody [EPR2400]](https://img1.dxycdn.com/2022/0329/049/0162775780455020453-14.jpg!wh200)


