相关产品推荐更多 >
万千商家帮你免费找货
0 人在求购买到急需产品
- 详细信息
- 技术资料
- 免疫原:
107 amino acids from central region of human PLK-1 protein.
- 亚型:
IgG1
- 形态:
Liquid
- 保存条件:
Store as concentrated solution. Centrifuge briefly prior to opening vial. Store at 4ºC. DO NOT FREEZE.
- 克隆性:
Monoclonal
- 标记物:
Unconjugated
- 适应物种:
Human
- 保质期:
12 months from the shipping date of the product.
- 抗原来源:
Human
- 目录编号:
GTX01927
- 级别:
Primary Antibodies
- 库存:
Available
- 供应商:
GeneTex
- 宿主:
Mouse
- 应用范围:
IHC-P
- 浓度:
>320 μg/ml (Please refer to the vial label for the specific concentration.)
- 靶点:
PLK1
- 抗体英文名:
PLK1 antibody [MJS1]
- 抗体名:
PLK1 抗体 [MJS1]
- 规格:
500 μl
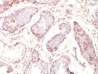
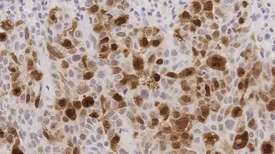
IHC-P analysis of squamous cell carcinoma of oropharangeal tissue using GTX01927 PLK1 antibody [MJS1]. Note the intense nuclear and cytoplasmic staining of a proportion of proliferating malignant cells.
风险提示:丁香通仅作为第三方平台,为商家信息发布提供平台空间。用户咨询产品时请注意保护个人信息及财产安全,合理判断,谨慎选购商品,商家和用户对交易行为负责。对于医疗器械类产品,请先查证核实企业经营资质和医疗器械产品注册证情况。
技术资料暂无技术资料 索取技术资料





![CD46 antibody [001]](https://img1.dxycdn.com/2022/0328/879/0855230897028700453-14.jpg!wh200)

![CD62E + CD62P antibody [1.2B6] (FITC)](https://img1.dxycdn.com/2022/0329/296/5269708844556020453-14.jpg!wh200)



