相关产品推荐更多 >
万千商家帮你免费找货
0 人在求购买到急需产品
- 详细信息
- 文献和实验
- 技术资料
- 免疫原:
Recombinant Mouse CD80 protein
- 亚型:
IgG
- 形态:
Liquid
- 保存条件:
Store as concentrated solution. Centrifuge briefly prior to opening vial. For short-term storage (1-2 weeks), store at 4ºC. For long-term storage, aliquot and store at -20ºC or below. Avoid multiple freeze-thaw cycles.
- 克隆性:
Monoclonal
- 标记物:
Unconjugated
- 适应物种:
Mouse
- 保质期:
12 months from the shipping date of the product.
- 抗原来源:
Mouse
- 目录编号:
GTX53131
- 级别:
Primary Antibodies
- 库存:
Available
- 供应商:
GeneTex
- 宿主:
Armenian Hamster
- 应用范围:
IHC-P, FACS
- 浓度:
500 μg/ml (Please refer to the vial label for the specific concentration.)
- 靶点:
CD80
- 抗体英文名:
CD80 antibody [MAB0713]
- 抗体名:
CD80 抗体 [MAB0713]
- 规格:
100 μg
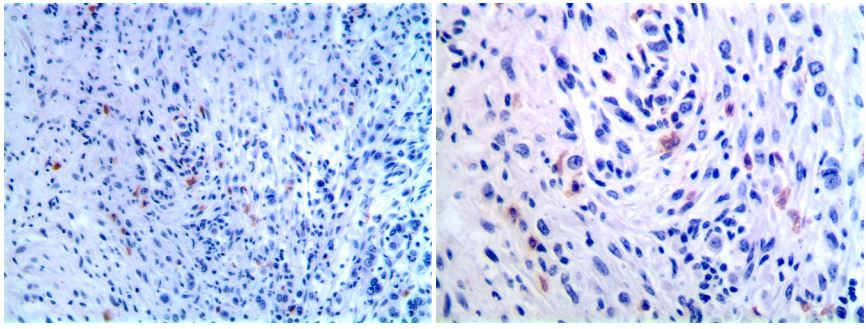
IHC-P analysis of formalin fixed mouse tumor tissue section using GTX53131 CD80 antibody [MAB0713].
Left panel: x 20; Right panel: x 40
IHC-P analysis of formalin fixed mouse spleen tissue section using GTX53131 CD80 antibody [MAB0713].
Left panel : Red Pulp
Right panel : White Pulp
风险提示:丁香通仅作为第三方平台,为商家信息发布提供平台空间。用户咨询产品时请注意保护个人信息及财产安全,合理判断,谨慎选购商品,商家和用户对交易行为负责。对于医疗器械类产品,请先查证核实企业经营资质和医疗器械产品注册证情况。
文献和实验Diagnostic Application of Monoclonal Antibody (MAb)-Based Sandwich ELISAs
diagnosis of both human and animal bacterial and mycoplasmal disease, but similar assays for the diagnostic detection of antigen rather than antibody are not as commonly used. Although many antigen-capture or sandwich ELISAs have been developed
1. Materials(1) Antibody 7E3, 2L sup grown in flasks, frozen and thawed overnight.(2) BioRad Affi-Gel Protein A MAPS II Buffers cat. #1530-6160 ($161.00)(3) 50 mM Tris pH7.8.(4) 40 g ammonium sulfate for every 100 ml Sup.(5) 4L 100 mM Tris/pH
Purification of mAb (IgG) by Chang-Duk Jun, 03/14/2000 Purpose Materials Antibody 7E3 , 2L sup grown in flasks, frozen and thawed overnight. BioRad Affi-Gel Protein A MAPS II Buffers
技术资料暂无技术资料 索取技术资料





![CD13 antibody [WM15]](https://img1.dxycdn.com/2022/0328/050/9147077359310400453-14.jpg!wh200)



![ALDH2 antibody [AT2C10]](https://img1.dxycdn.com/2022/0328/979/9129205749550800453-14.jpg!wh200)

