相关产品推荐更多 >
万千商家帮你免费找货
0 人在求购买到急需产品
- 详细信息
- 文献和实验
- 技术资料
- 免疫原:
Prokaryotic recombinant protein, corresponding to the N-terminal region of the A form of human progesterone receptor.
- 亚型:
IgG1
- 形态:
Liquid
- 保存条件:
Store as concentrated solution. Centrifuge briefly prior to opening vial. Store at 4ºC. DO NOT FREEZE.
- 克隆性:
Monoclonal
- 标记物:
Unconjugated
- 适应物种:
Human
- 保质期:
12 months from the shipping date of the product.
- 抗原来源:
Human
- 目录编号:
GTX01926
- 级别:
Primary Antibodies
- 库存:
Available
- 供应商:
GeneTex
- 宿主:
Mouse
- 应用范围:
IHC-P
- 浓度:
>324 μg/ml (Please refer to the vial label for the specific concentration.)
- 靶点:
This antibody reacts with both A and B forms of human progesterone receptor in Western blotting procedures, but only the A form is detected in immunohistochemical procedures.
- 抗体英文名:
Progesterone Receptor antibody [16]
- 抗体名:
Progesterone Receptor 抗体 [16]
- 规格:
500 μl
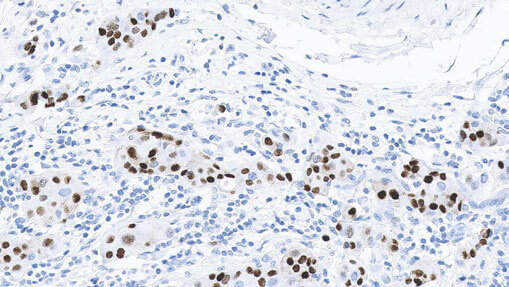
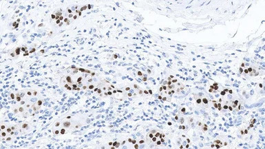
IHC-P analysis of breast carcinoma tissue using GTX01926 Progesterone Receptor antibody [16]. Note the nuclear staining in a proportion of tumor cells.
风险提示:丁香通仅作为第三方平台,为商家信息发布提供平台空间。用户咨询产品时请注意保护个人信息及财产安全,合理判断,谨慎选购商品,商家和用户对交易行为负责。对于医疗器械类产品,请先查证核实企业经营资质和医疗器械产品注册证情况。
文献和实验Human progesterone receptor (PR) is a member of the nuclear hormone receptor superfamily of transcriptional activators, which share a common modular structure consisting of a C-terminal ligand-binding domain (LBD), a highly conserved
Several assays exist to determine receptor status in ovarian cancers, like radio ligand binding assays, biochemical analysis, and even Northern blotting. However, patholo- gists generally prefer to judge the presence of biological markers
[NK] 分子质量(kDa)和结构: 48(GPI连接) 功 能: 低亲和力免疫复合物受体 CD16a Aka Fc receptor III A Important for Ab dependent cytotoxicity of foreign cells If target cell has class I MHC, then NK cell’s killer cell inhibitory
技术资料暂无技术资料 索取技术资料





![CD94 antibody [AT13E3]](https://img1.dxycdn.com/2022/0328/850/1867072585350800453-14.jpg!wh200)
![Cytokeratin 7 antibody [OV-TL12/30]](https://img1.dxycdn.com/2022/0328/677/0060155176230700453-14.jpg!wh200)




