相关产品推荐更多 >
万千商家帮你免费找货
0 人在求购买到急需产品
- 详细信息
- 文献和实验
- 技术资料
- 免疫原:
Prokaryotic recombinant protein corresponding to 222 amino acids of the N terminus of the Delta heavy chain constant region.
- 亚型:
IgG1
- 形态:
Liquid
- 保存条件:
Store as concentrated solution. Centrifuge briefly prior to opening vial. Store at 4ºC.
- 克隆性:
Monoclonal
- 标记物:
Unconjugated
- 适应物种:
Human
- 保质期:
12 months from the shipping date of the product.
- 抗原来源:
Human
- 目录编号:
GTX01853
- 级别:
Secondary Antibodies
- 库存:
Available
- 供应商:
GeneTex
- 宿主:
Mouse
- 应用范围:
WB, IHC-P
- 浓度:
Batch dependent (Please refer to the vial label for the specific concentration.)
- 靶点:
This antibody recognizes Delta chain of human Immunoglobulin D.
- 抗体英文名:
Mouse Anti-Human IgD antibody [DRN1C]
- 抗体名:
Mouse Anti-Human IgD 抗体 [DRN1C]
- 规格:
500 μl
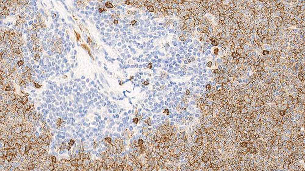
IHC-P analysis of mantle cell lymphoma tissue using GTX01853 Human IgD antibody [DRN1C]. Note the mantle cell tumor cells show moderate staining for Immunoglobulin D, with a stronger reaction seen in plasma cells.
风险提示:丁香通仅作为第三方平台,为商家信息发布提供平台空间。用户咨询产品时请注意保护个人信息及财产安全,合理判断,谨慎选购商品,商家和用户对交易行为负责。对于医疗器械类产品,请先查证核实企业经营资质和医疗器械产品注册证情况。
文献和实验Immunohistochemistry: Mouse Anti-Human MCP-1
. 4. Incubate the tissue section overnight at 4?C with Mouse Anti-Human MCP-1 at 10.0 μg/mL. Wash the slide twice for three minutes each. 5. Incubate the tissue section with the Envision HRP polymer kit (Dako) according to the manufacturer’s
Purification Of Anti Peptide Antibody
the antibody can be concentrated by sweating the dialysis bags, or by spin-concentrating. Bring the azide concentration up to 0.1 and store at 4 deg C for up to three months. For longer storage freeze in aliquots and store at -80 degC or add glycerol
Aspects of CNS Lupus: Mouse Models of Anti-NMDA Receptor Antibody Mediated Reactivity
transfer of pathology by injecting human and mouse brain-reactive antibodies into adult mouse as well as injecting the antibody into gestating mice and transfer of antibody from dam to fetus, (5) blocking NMDAR-mediated pathogenicity in vivo, (6) evacuation
技术资料暂无技术资料 索取技术资料






![Mouse Anti-Armenian Hamster IgG3 antibody [SB139b] (HRP)](https://custom.dxycdn.com/trademd/upload/pic/2013/11/12/A1383891150.jpg!small.t.1)
![Mouse Anti-Human Kappa light chain antibody [GT1352] (CF488)](https://img1.dxycdn.com/2022/0328/548/6791647778980800453-14.jpg!wh200)
