相关产品推荐更多 >
万千商家帮你免费找货
0 人在求购买到急需产品
- 详细信息
- 文献和实验
- 技术资料
- 免疫原:
Collagen Type III from human and bovine placenta.
- 亚型:
IgG
- 形态:
Liquid
- 保存条件:
Store as concentrated solution. Centrifuge briefly prior to opening vial. For short-term storage (1-2 weeks), store at 4℃. For long-term storage, aliquot and store at -20℃ or below. Avoid multiple freeze-thaw cycles.
- 克隆性:
Polyclonal
- 标记物:
Horseradish peroxidase(HRP)
- 适应物种:
Human, Bovine
- 保质期:
12 months from the shipping date of the product.
- 抗原来源:
Human
- 目录编号:
GTX00777
- 级别:
Primary Antibodies
- 库存:
Available
- 供应商:
GeneTex
- 宿主:
Rabbit
- 应用范围:
WB, IHC-P, IP, ELISA
- 浓度:
1 mg/ml(Please refer to the vial label for the specific concentration.)
- 靶点:
Collagen III
- 抗体英文名:
Collagen III antibody (HRP)
- 抗体名:
Collagen III 抗体 (HRP)
- 规格:
50 μg
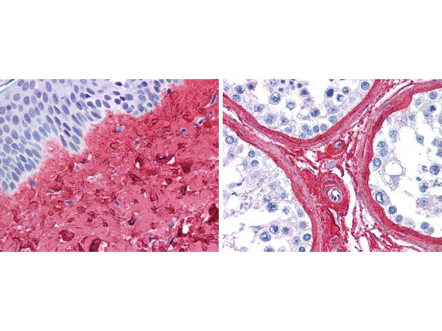
IHC-P analysis of human skin (left, dermis) and testis (right) using GTX00777 Collagen III antibody (HRP). The antibody showed strong extracellular staining within connective tissues across many organs with minimal background staining.
Antigen retrieval : 0.01 M sodium citrate buffer, pH 6.0 at 99-100ºC with 20 minutes
Dilution : 1:400
风险提示:丁香通仅作为第三方平台,为商家信息发布提供平台空间。用户咨询产品时请注意保护个人信息及财产安全,合理判断,谨慎选购商品,商家和用户对交易行为负责。对于医疗器械类产品,请先查证核实企业经营资质和医疗器械产品注册证情况。
文献和实验Conjugation of Antibody to HRP
of Maleimide:HRP Weigh out 1.067 mg HRP for each mg of thiolated antibody. Add 1.1 mg Sulfo-SMCC per mg of HRP Add PBS to a final concentration of 8 mg/ml HRP Mix for 2 hours on a rotator. Desalt the HRP on PBS equilibrated column. Collect
Collagen Antibody Induced Arthritis
of CIA. This chapter describes, in detail, an animal model for arthritis using CII specific monoclonal antibodies, the so-called collagen antibody induced arthritis (CAIA), which shares many characteristics of CIA. CAIA model provides an opportunity
大鼠III型胶原(Collagen III)ELISA试剂盒 说明书
上海西唐生物科技有限公司 021-55229872, 65333639 www.westang.com 大鼠 III 型胶原 (Collagen III)ELISA 试剂盒 ( 用于血清、血浆、细胞培养上清液和其它生物体液内 ) 原理 本实验采用双抗体夹心 ABC-ELISA 法。用抗大鼠 Collagen III 单抗包被于酶标板上,标准品和样品中的 Collagen III 与单抗结合,加入
技术资料暂无技术资料 索取技术资料





![CD20 antibody [2H7] (FITC)](https://img1.dxycdn.com/2022/0328/373/3614044303964500453-14.jpg!wh200)





