相关产品推荐更多 >
万千商家帮你免费找货
0 人在求购买到急需产品
- 详细信息
- 文献和实验
- 技术资料
- 免疫原:
Recombinant protein
- 亚型:
IgG
- 形态:
Liquid
- 保存条件:
Store as concentrated solution. Centrifuge briefly prior to opening vial. For short-term storage (1-2 weeks), store at 4ºC. For long-term storage, aliquot and store at -20ºC or below. Avoid multiple freeze-thaw cycles.
- 克隆性:
Monoclonal
- 标记物:
Unconjugated
- 适应物种:
Human, Mouse
- 保质期:
12 months from the shipping date of the product.
- 抗原来源:
Human
- 目录编号:
GTX01102
- 级别:
Primary Antibodies
- 库存:
Available
- 供应商:
GeneTex
- 宿主:
Rabbit
- 应用范围:
WB, ICC/IF, IHC-P, FACS
- 浓度:
1 mg/ml (Please refer to the vial label for the specific concentration.)
- 靶点:
PDGF Receptor alpha
- 抗体英文名:
PDGF Receptor alpha antibody [JF104-6]
- 抗体名:
PDGF Receptor alpha 抗体 [JF104-6]
- 规格:
100 μl
Human tissue extract (30 μg) was separated by 5% SDS-PAGE, and the membrane was blotted with PDGF Receptor alpha antibody [JF104-6] (GTX01102) diluted at 1:1000. The HRP-conjugated anti-rabbit IgG antibody (GTX213110-01) was used to detect the primary antibody.
Various whole cell extracts (30 μg) were separated by 5% SDS-PAGE, and the membrane was blotted with PDGF Receptor alpha antibody [JF104-6] (GTX01102) diluted at 1:500. The HRP-conjugated anti-rabbit IgG antibody (GTX213110-01) was used to detect the primary antibody.
IHC-P analysis of mouse brain tissue section using GTX01102 PDGF Receptor alpha antibody [JF104-6].
ICC/IF analysis of PFA-fixed NIH-3T3 cells using GTX01102 PDGF Receptor alpha antibody [JF104-6].
Red : primary antibody
Blue : DAPI
Permeabilization : 0.25% Triton X-100 in PBS
ICC/IF analysis of PFA-fixed A549 cells using GTX01102 PDGF Receptor alpha antibody [JF104-6].
Red : primary antibody
Blue : DAPI
Permeabilization : 0.25% Triton X-100 in PBS
IHC-P analysis of mouse uterus tissue section using GTX01102 PDGF Receptor alpha antibody [JF104-6].
FACS analysis of HeLa cells using GTX01102 PDGF Receptor alpha antibody [JF104-6].
Red : primary antibody
Black : unlabelled control
Dilution : 1:50
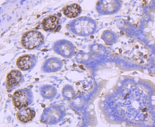
IHC-P analysis of mouse colon tissue section using GTX01102 PDGF Receptor alpha antibody [JF104-6].
风险提示:丁香通仅作为第三方平台,为商家信息发布提供平台空间。用户咨询产品时请注意保护个人信息及财产安全,合理判断,谨慎选购商品,商家和用户对交易行为负责。对于医疗器械类产品,请先查证核实企业经营资质和医疗器械产品注册证情况。
文献和实验Chen JY et al., Br J Cancer 2021 (PMID:33024266)
secondary antibody review -- data from 99 publications
cytometry used as a control to detect cell responses targeted antigen 7 Alexa Fluor 488 7 Cy3 8 goat IgG Alexa Fluor 488 1:2000 detect antibody binding in human embryonic kidney 293T cells Invitrogen 9 donkey
Capture and Qualitative Analysis of the Activated Fc Receptor Complex from Live Cells
the isolation of activated Fc receptor complexes from RAW 264.7 macrophages using live?cell affinity receptor chromatography (LARC). The Fc receptor complex is activated and captured by IgG?coated microbeads on the surface of live macrophages. After the cells
中科院高福院士课题组 2020 年发表了哪些重要的研究成果?
:Science 9、Science 后再发 Nature!筛选出又一新冠病毒治疗性单克隆中和抗体DOI: 10.1038/s41586-020-2381-y继之前发表在 Science 上报道筛选出新冠病毒中和抗体后,2020 年 5 月 26 日,高福院士再次联合严景华等人在 Nature 发文:A human neutralizing antibody targets the receptor-binding site of SARS-CoV-2。该研究报告了从 COVID-19 恢复期的患者中分离出两
技术资料暂无技术资料 索取技术资料





![HLA-DR + HLA-DP antibody [MEM-136]](https://img1.dxycdn.com/2022/0328/926/9705239467520400453-14.jpg!wh200)





