万千商家帮你免费找货
0 人在求购买到急需产品
- 详细信息
- 询价记录
- 文献和实验
- 技术资料
- 提供商:
深圳拓普生物科技有限公司
- 服务名称:
蛛网膜下腔出血动物模型
| 实验动物信息 | |
| 动物模型名称: | 蛛网膜下腔出血动物模型(SAH) |
| 动物的种属、品系: | SD大鼠 |
| 动物性别: | ♂ |
| 动物年龄: | 10~12周龄 |
| 动物体重: | 250g~300g |
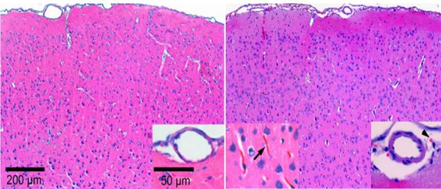
观察指标
神经功能评分、Evans blue法检测血脑屏障通透性、大脑切片染色等。
部分结果展示
Sham SAH
风险提示:丁香通仅作为第三方平台,为商家信息发布提供平台空间。用户咨询产品时请注意保护个人信息及财产安全,合理判断,谨慎选购商品,商家和用户对交易行为负责。对于医疗器械类产品,请先查证核实企业经营资质和医疗器械产品注册证情况。
- 作者
- 内容
- 询问日期
文献和实验知识,提高公众对乳腺癌的关注。 图 1. 2020 年全球范围乳腺癌年龄标准化发病率预估 动物模型是疾病研究及治疗方法探索中必不可少的工具,一个理想的乳腺癌动物模型应与人乳腺癌的肿瘤分子特性及生物行为学等方面存在共性,以便于发病机制的研究及治疗新药的开发。但从癌症的分型来看,单一的动物模型对乳腺癌表型模拟程度有限,因此在实际研究中还需结合具体需求选择合适的动物模型,才能更好地达到研究目的。接下来小编将带大家一起了解一下不同的乳腺癌模型特点及如何选择合适的模型。 乳腺癌动物模型主流的乳腺癌小鼠
蛛网膜下腔出血(SAH)是指颅内血管破裂后血液流入蛛网膜下腔。蛛网膜下腔出血一般分为颅脑损伤性和非损伤性(自发性)两大类,自发性蛛网膜下腔出血又分为两种: 1.由于脑底部或脑表面的病变血管破裂血液流入蛛网膜下腔称作原发性蛛网膜下腔出血; 2.因脑实质内出血,血液穿破脑组织进入蛛网膜下腔者,称继发性蛛网膜下腔出血。此处述及自发性蛛网膜下腔出血,本病可由多种原因引起。常见的病因是颅内动脉瘤破裂,其他少见的病因有:脑血管畸形、酶菌性动脉瘤、血液病、胶原病、脑梗塞后、血管炎、脑及脑膜
癌症已经成为影响人类健康的重要疾病,发病率呈现逐年上升趋势,癌症研究领域中公认的缺陷之一是缺乏能够研究癌变和癌症治疗的模型系统。在过去的几十年中,抗肿瘤治疗药物的研发呈现爆炸式的增长,但是绝大多数新疗法都不能顺利通过III期临床试验,其主要原因就是缺乏合适的体内模型。我们常用的人类肿瘤细胞系或患者源性肿瘤移植到免疫缺陷小鼠体内的肿瘤动物模型,使用人类肿瘤细胞系建立的动物模型称作肿瘤细胞系异种移植模型(Cancer cell line-based xenograft , CDX),而使
技术资料暂无技术资料 索取技术资料









