万千商家帮你免费找货
0 人在求购买到急需产品
- 详细信息
- 询价记录
- 文献和实验
- 技术资料
- 服务名称:
糖尿病肾病大鼠模型
- 提供商:
深圳市拓普生物科技有限公司
建模方法
大鼠左侧肾脏结扎+注射STZ溶液。
观察指标:
随机血糖≥16.7mmol/L、24h尿蛋白含量>20 mg/L、肾脏病理学检查。
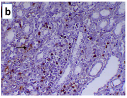
部分结果展示
正常肾组织 糖尿病肾病肾组织
糖尿病肾病模型相关的生化检测试剂
| 试剂名称 | 货号 | 规格 | 价格 | |
血清肌酐(Cr)测定试剂盒 |
TOPSH011-1 | 100T | 100 | |
血清尿素氮(BUN)测定试剂盒 |
TOPSH013-1 | 100T | 100 | |
糖尿病肾病模型相关的病理检测试剂
| 试剂名称 | 货号 | 规格 | 价格 | |
| HE染液 | TOPRS001-1 | 100ml*2 | 150 | |
| 考马斯亮蓝染液 | TOPRS050 | 250ml+500ml | 150 | |
风险提示:丁香通仅作为第三方平台,为商家信息发布提供平台空间。用户咨询产品时请注意保护个人信息及财产安全,合理判断,谨慎选购商品,商家和用户对交易行为负责。对于医疗器械类产品,请先查证核实企业经营资质和医疗器械产品注册证情况。
- 作者
- 内容
- 询问日期
文献和实验骨质疏松是临床上老年人常见的疾病之一,采用背侧入路双侧卵巢摘除手术造模。常规消毒后,近肋脊角附近双侧纵向切口。切开皮下组织后进入腹腔,拉出腹腔内脂肪后翻转向外,子宫角上用可吸收手术缝合线结扎,结扎后可摘除卵巢,逐层关闭切口。卵巢切除后模型大鼠其体内雌激素分泌减少,骨量和骨质量明显下降,到目前是研究绝经后骨质疏松的最佳模型。
原型物种人 来源脂多糖(LPS)介导的急性肺损伤 模式动物品系Wistar大鼠,SPF级,雄性,体重:180g~220g 实验分组随机分组:对照组,模型组,阳性药物组,受试药物组(三个剂量梯度组),15只每组 实验周期24hours 建模方法将大鼠放入固定盒中,用酒精檫拭大鼠尾静脉后,按压住尾静脉1/3处,注射器进针后回抽有血后注入LPS溶液(溶于生理盐水,给药剂量10mg/kg),从而建立内毒素性急性肺损伤大鼠模型。正常对照组的大鼠做同样的操作,但向尾静脉注射等体积的生理盐水。 应用用于急性
Keppler等人向小鼠体内移植了两种人类携带的关键分子——病毒用它们来传染免疫细胞,其表面受体为CD4和CCR5。但是HIV在这些动物体内并不能有效地进行自我复制,从而导致病毒数量低于其在人体中的水平。 德国海登堡大学Oliver Keppler带领的研究小组,在将CD4和CCR5插入大鼠基因组的基础上,通过进一步的遗传改造克服病毒复制的障碍。在利用该大鼠模型进行AIDS药物评价试验中,发现T-20和Sustiva两种药物都可以降低动物模型身上的HIV数量90%
技术资料暂无技术资料 索取技术资料










